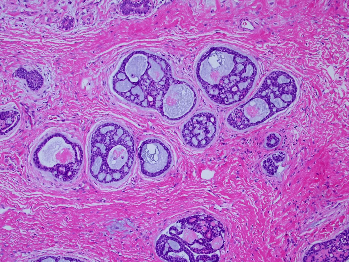
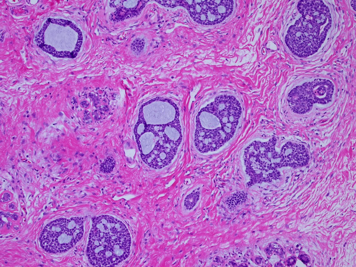
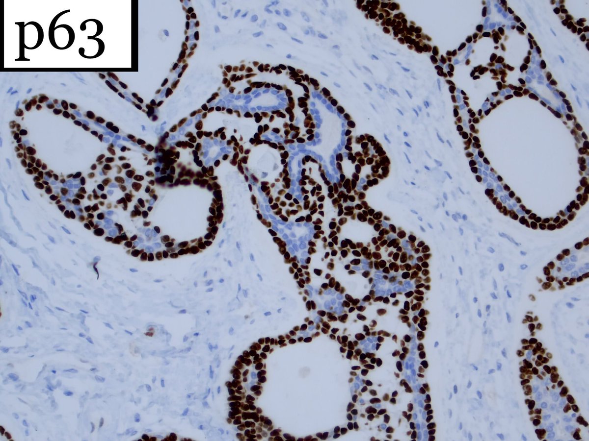
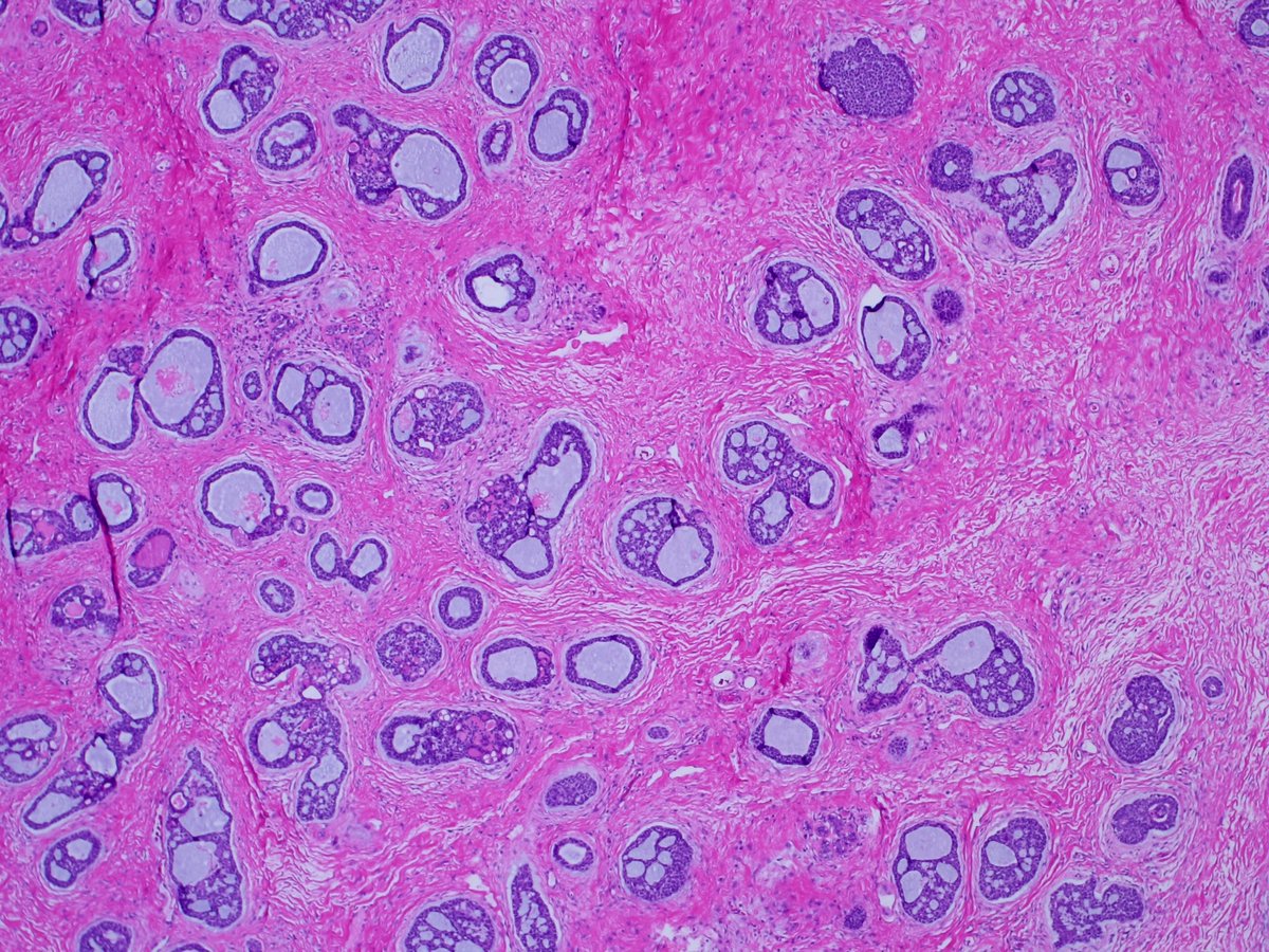
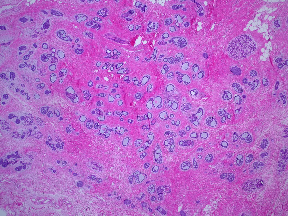
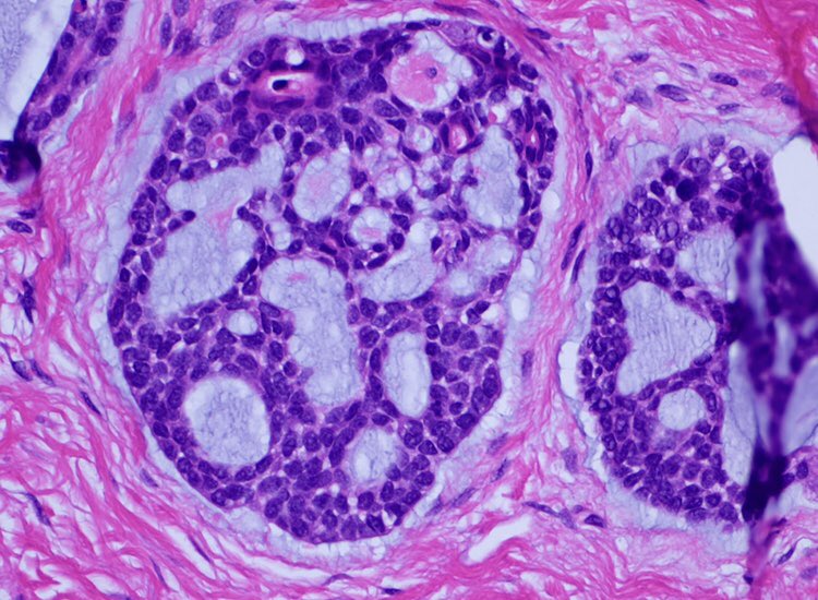
1. #Breastpath, with an #ENTpath flavor A case I had which pairs well with this sweet diagram by@TheKarenPinto (linked below) 40 year old woma
1. #Breastpath, with an #ENTpath flavor A case I had which pairs well with this sweet diagram by@TheKarenPinto (linked below) 40 year old woma