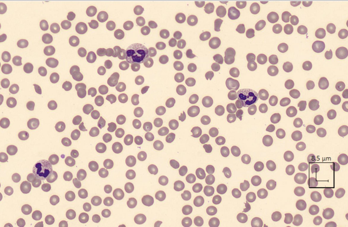
I got call from the ED for a patient with thrombocytopenia, hemolysis and TIA. The weren’t worried about TTP because “there’s no aki.” But in fact, mo
I got call from the ED for a patient with thrombocytopenia, hemolysis and TIA. The weren’t worried about TTP because “there’s no aki.” But in fact, mo