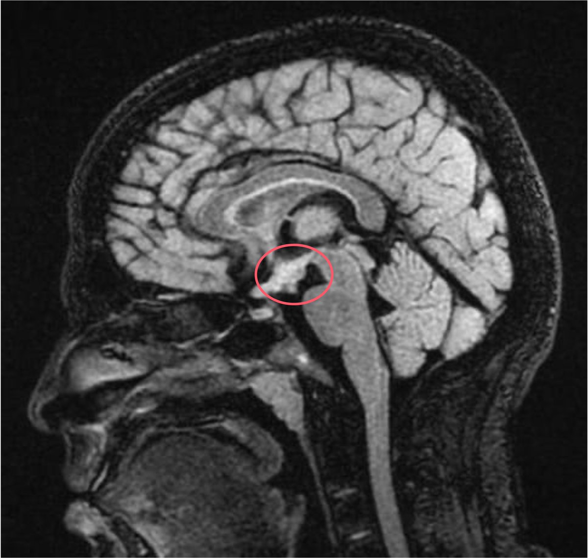
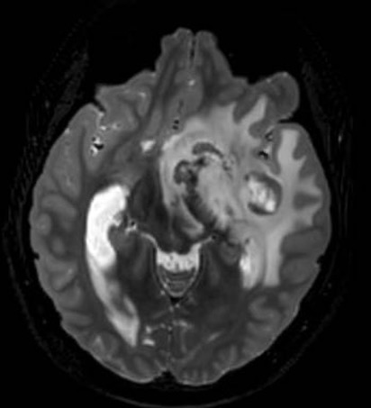
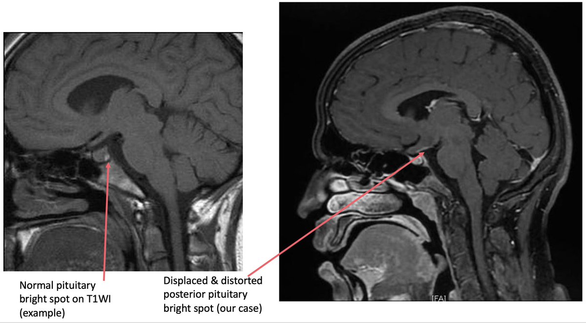
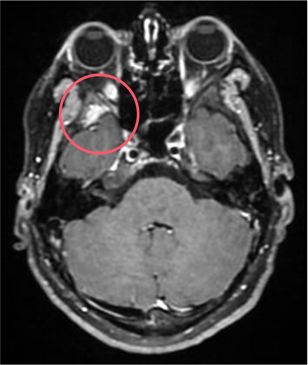
21 y/M 2018 - headache, LOW, low grade fever.Imaging had seller mass lesion for which referred to higher centre (didn't follow up). 2020 - Additiona
21 y/M 2018 - headache, LOW, low grade fever.Imaging had seller mass lesion for which referred to higher centre (didn't follow up). 2020 - Additiona