Here’s a refreshing 🧒 case @Drjonsantoro
Age is 10. Acute monocular “blurry vision” OD with dyschromotopsia x 1 day. int fevers and new HA x 1 month.
I’m not nice so I won’t tell you the eye exam but here is the MRI. Describe what you see… #childneurology
Age is 10. Acute monocular “blurry vision” OD with dyschromotopsia x 1 day. int fevers and new HA x 1 month.
I’m not nice so I won’t tell you the eye exam but here is the MRI. Describe what you see… #childneurology
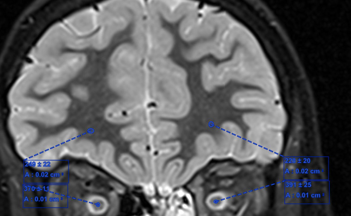
If you are having a rough time deciding whether or not the optic nerves are enhancing, you're not alone. @Dr.GlenTung always reminds us to use the coronal T2 with fat suppression to evaluate for optic nerve edema...@daniel_gewolb agree?
Serum titers of ❓ antibody were ➕➕
❤️🔥 MOG 🔥
MOG disease is gaining hype, and for good reason. Some data suggest that optic neuritis is bilateral in up to 50 percent of cases (Chen JJ). How do you manage child MOG disease? @LucaBartoliniMD @TylerAllisonMD #MedTwitter
MOG disease is gaining hype, and for good reason. Some data suggest that optic neuritis is bilateral in up to 50 percent of cases (Chen JJ). How do you manage child MOG disease? @LucaBartoliniMD @TylerAllisonMD #MedTwitter
Loading suggestions...