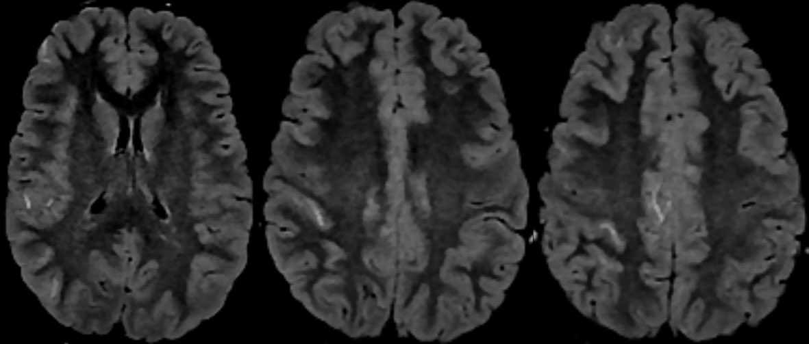
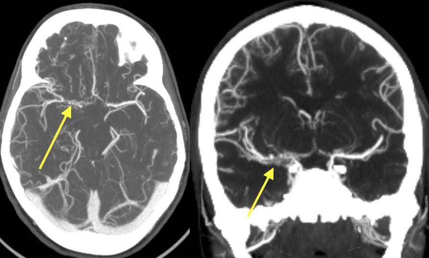
Imaging of Moyamoya disease/syndrome Imaging: Thread-like intracranial ICA/MCA with attenuated branches and “puff of smoke” appearance on DSA Co
Imaging of Moyamoya disease/syndrome Imaging: Thread-like intracranial ICA/MCA with attenuated branches and “puff of smoke” appearance on DSA Co