André Martin Mansoor
André Martin Mansoor

@AndreMansoor

12 Tweets 24 reads May 04, 2023
1/12
A man undergoes biopsy and surgical repair of a pathologic hip fracture and returns to the floor with new dyspnea and hypoxemia.
Hypoxemia can be intimidating. Unless you have an approach. Let’s use this framework to go through the case.
2/12
The first thing we want to know is the A-a gradient. The difference between partial pressure of oxygen in the alveolar space (A) and arterial space (a).
3/12
Here is our patient’s ABG on room air. PAO2 is calculated using the alveolar gas equation. PaO2 is measured by ABG.
PAO2 = (0.21*713) – (17/0.8) = 129 mm Hg.
PaO2 = 53 mm Hg
A-a gradient = 129 – 53 = 76. It’s elevated.
4/12
This narrows our differential considerably. We know we’re not dealing with hypoventilation from anesthesia. And now we can focus on the causes of elevated A-a gradient.
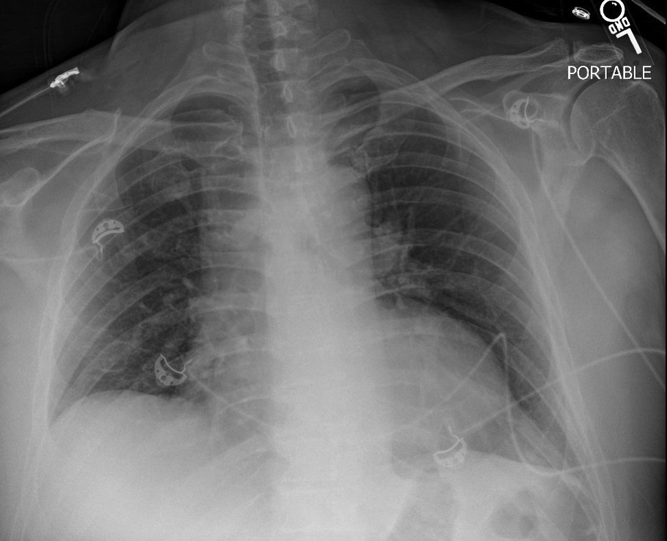
5/12
Our patient has clear lungs on exam and on chest x-ray.
6/12
This narrows our differential even further. Hypoxemia with elevated A-a gradient and clear lungs would be incompatible with most causes of physiologic shunt and impaired diffusion.
7/12
We have a patient who is hypercoagulable from an underlying malignancy and surgery and the hypoxemia is sudden in onset. These historical features should generate a hypothesis that leads us to his neck exam. What finding is present? (Turn sound on.)
8/12
Elevated JVP with Kussmaul’s sign points to pulmonary embolism. We order an EKG, but while we wait we should begin to anticipate what electrocardiographic findings might be present in the setting of a PE.
The eyes can’t see what the mind doesn’t know.
9/12
Sinus tachycardia, new RBBB, R>S in V1, T wave inversions V1-3, and everyone’s favorite finding S1Q3T3, indicative of right heart strain. Here is the preop EKG taken just 8 hours prior:
10/12
Hypothesis-driven history led to hypothesis-driven physical exam which led to hypothesis-driven EKG, which has now led to hypothesis-driven CTA:
11/12
And we have our diagnosis. (Either clot or fat emboli from orthopedic surgery.)
Hypoxemia is not as intimidating as it seems. As long as we have an approach.
12/12
For me, it would be impossible to practice medicine without the history and physical examination. And I use frameworks to organize my approach to a problem and drive a hypothesis-driven workup.
For more frameworks: amazon.com

Loading suggestions...