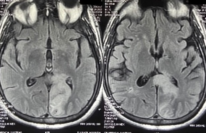
This gentleman woke up to realise he cannot read the newspaper He is able to write, but unable to read. What’s more fascinating?! He is unable to rea
This gentleman woke up to realise he cannot read the newspaper He is able to write, but unable to read. What’s more fascinating?! He is unable to rea