11 Tweets Feb 04, 2023
1/ We're going to try something new. Tomorrow, we release a new episode of #Hoofbeats ๐ŸŽ. Today โ€“ right here, right now โ€“ we're giving you a preview of the case. We would love to hear your thoughts as you go through it.
2/ Once again, we've teamed up with @hdx for this episode. Be sure to submit your final prioritized differential and plan to the website where you can see the community's response as well: humandx.org
3/ A 23 y/o man presents with 3 days of confusion and flu-like symptoms: fever๐ŸŒก๏ธ, myalgia, sore throat, productive cough.
His friends say he was "off" - they can't put their finger on it - but this morning they found him collapsed on the bathroom floor and disoriented.
4/ He also had nausea๐Ÿคข and one episode of vomiting๐Ÿคฎ.
6 months ago, he was diagnosed with Crohn disease by lower endoscopy. He is on azathioprine and infliximab. He had no IBD symptoms when this illness began.
He is from Sheffield, England๐Ÿด๓ ง๓ ข๓ ฅ๓ ฎ๓ ง๓ ฟ and is on vacation in NYC.
5/ He arrived three weeks ago. He's staying at a hotel with friends and has not left the city since he arrived. He reports "moderate" drinking๐Ÿป๐Ÿป๐Ÿป in the bar scene but hasn't had a drink since he began to fall ill. He is not sexually active.
6/ We're going to take a break right here. How are you thinking about this case? What are you going to look for on physical exam?
We'll be back this evening with more.
7/ Let us continue.
VS T 104.6F | BP 130/70 | HR 128 | RR 24 | SaO2 98% RA
Gen: awake & interactive, appears very tired and ill
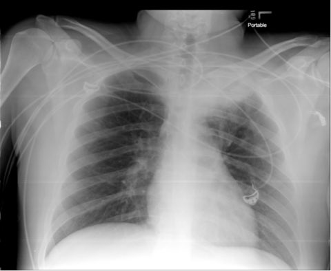
Resp: tachypneic w decreased breath sounds in L upper lung field
CV: tachy, otherwise nml
HEENT, neck, skin & and all nml
8/ Neuro:
๐Ÿ”˜Attn: cannot perform serial 7s or repeat # backwards
๐Ÿ”˜Speech: scanning
๐Ÿ”˜Gait: unsteady, wide-based
๐Ÿ”˜Cerebellar: dysdiadochokinesis and dysmetria present bilaterally
๐Ÿ”˜CN, strength and sensation: normal
9/ WBC 2.6 (76%N, 20%L, 5%M)
Hgb 11, MCV81
Plt 87K
AST 357
ALT 111
AlkP 24
TBili 0.4
CXR below
NCHCT normal
10/ Itโ€™s LP time!
CSF Analysis
Appearance: clear & colorless
Opening P: 19mmHg
Glu: 78
Prot: 19
Cell count: 13 (0% segs, 7% lymphs, 88% monos)
Gram stain: no organisms seen
Culture: no growth
HSV PCR: neg
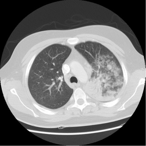
11/ Chest CT below
And then...a diagnostic test was performed.
What are you thinking now? Give us your impression, your prioritized differential, or whatever else youโ€™re inspired to share!

Loading suggestions...