This could be anything right?
But would you like to take a guess?
#breastpath
@MBBS_Pathology @jennpincus @m_isamarte @kriyer68 @PathologySayah @TheISBP
But would you like to take a guess?
#breastpath
@MBBS_Pathology @jennpincus @m_isamarte @kriyer68 @PathologySayah @TheISBP
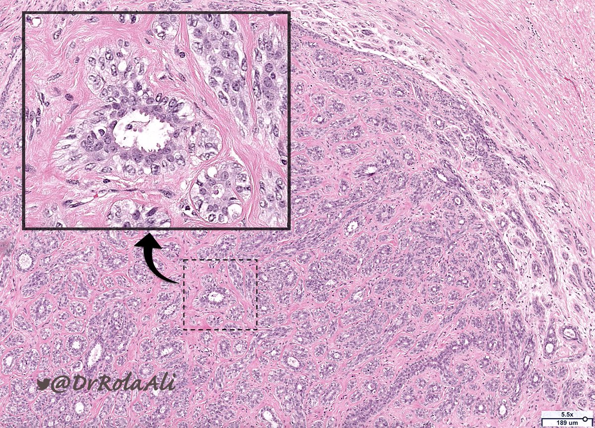
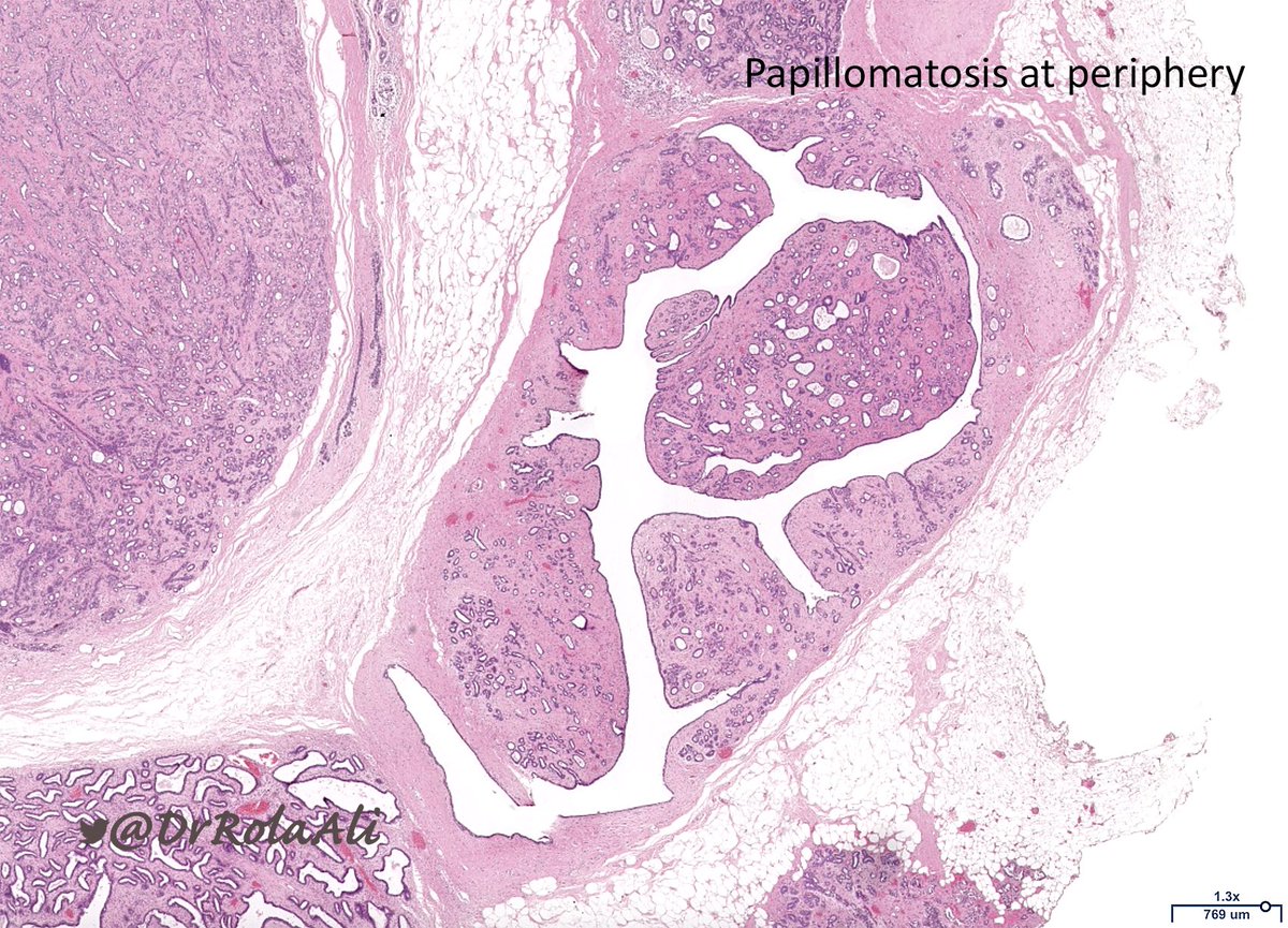
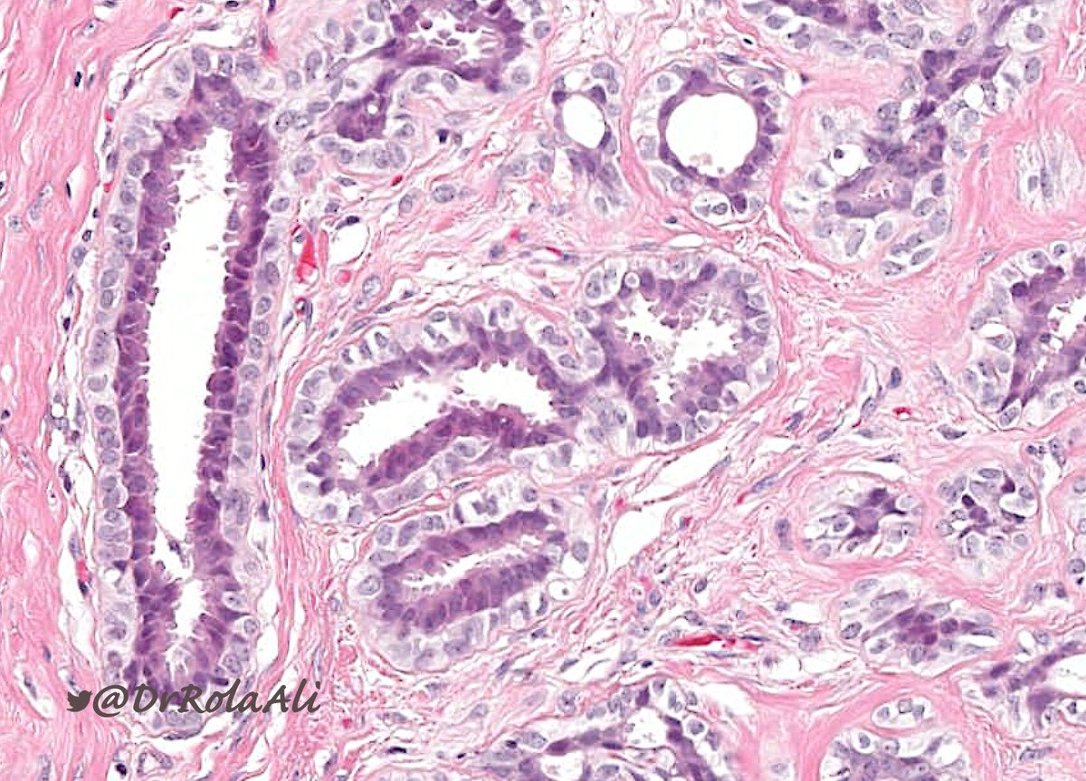
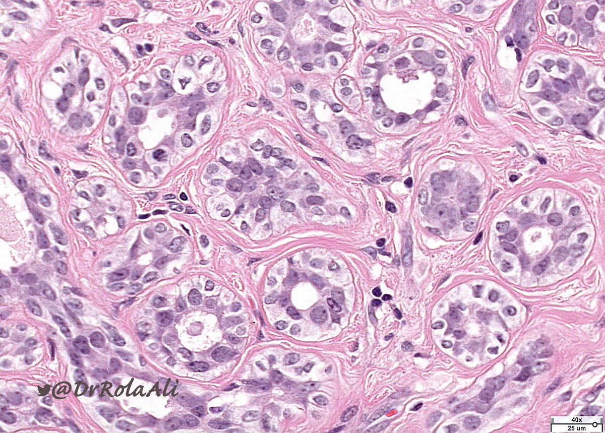
🔬 Adenomyoepithelioma
▪️Typically multinodular
▪️Biphasic
▪️Myoepithelial cells may be: polygonal and clear, spindle, myoid, plasmacytoid
▪️+/- accompanied by papillomatosis
▪️Benign
👇🏼more
#breastpath
@vi_monappa @menorka @kriyer68 @MAHoureih
▪️Typically multinodular
▪️Biphasic
▪️Myoepithelial cells may be: polygonal and clear, spindle, myoid, plasmacytoid
▪️+/- accompanied by papillomatosis
▪️Benign
👇🏼more
#breastpath
@vi_monappa @menorka @kriyer68 @MAHoureih
🔬 Adenomyoepithelioma
Also here is a link of another interesting example by @jennpincus that was totally cystic!
Also here is a link of another interesting example by @jennpincus that was totally cystic!
Loading suggestions...