هديل 🕊
هديل 🕊

@Hadeel7m

25 Tweets 568 reads Mar 10, 2020
Gingival Enlargement
#dental_by_hadeel
🔴Gingival enlargement refers to excessive growth of the gums, and may also be known as gingival hyperplasia or hypertrophy
🔴What are possible causes??
1. Poor dental hygiene
2. Smoking, mouth breathing and overcrowded teeth
3. Systemic diseases
4. Hormonal states: pregnancy, puberty
5. Nutritional deficiency: scurvy (vitamin C deficiency)
6. Medications
7. Genetic conditions, often present at birth (all rare conditions)
8. Blood conditions such as acute leukaemia
🔴CLASSIFICATION
1. According to etiologic factors and pathologic changes
2. According To Location And Distribution
🔴Degree Of Gingival Enlargement
🔴TYPES OF GINGIVAL INFLAMMATORY ENLARGEMENT
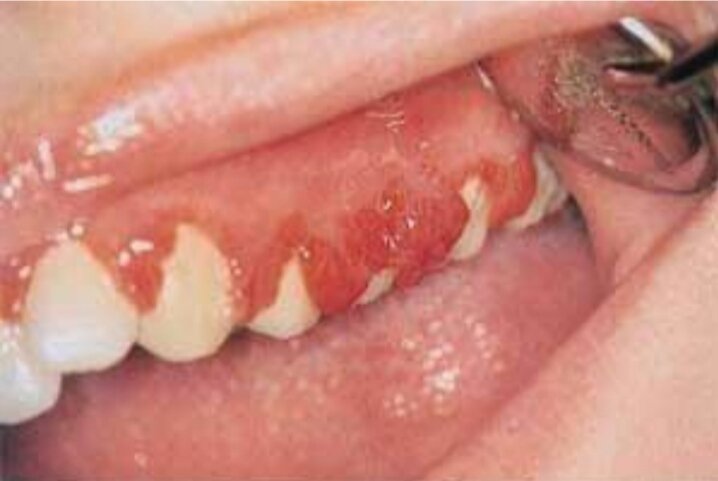
🔴Drug-induced gingival enlargement
▪Anticonvulsants
▪Immunosuppressants
▪Calcium channel blockers
🔺Clinical features
1. Painless, beadlike enlargement of the interdental papilla and extends to facial and lingual gingival margins
2. Maxillary & mandibular anterior regions
3. When uncomplicated by inflammation is mulberry shaped, firm,pale pink, and resilient , with a minutely lobulated surface and no tendency to bleed
4. Project from beneath the gingival margin
🔴Diagnosis
The diagnosis of drug-induced gingival
overgrowth is mainly based on :
• Clinical appearance
• Medical history
• Histopathological features
🔴what are the symptoms ?
• Discomfort
• Interfere with speech or chewing
• Halitosis (bad odour to the breath)
• Look unsightly
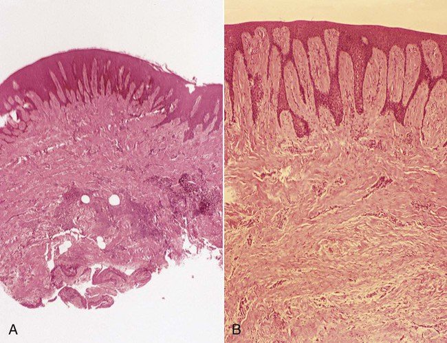
🔴Histopathology
• Pronounced hyperplasia of connective tissue &
epithelium
• Acanthosis of epithelium
• Elongated rete pegs
• Increased fibroblast, collagen,new blood vessels
• Abundant amorphous ground substance.
🔴IDIOPATHIC GINGIVAL ENLARGEMENT
-Affects the attached gingiva as well as the gingival margin and interdental papilla
-Involvement is limited to the either jaw
-Enlarged gingiva is pink, firm and almost leathery in consistency
-Characterstic minutely pebbled surface
🔴ENLARGEMENTS ASSOCIATED
WITH SYSTEMIC DISEASES
1. Magnification of an existing inflammation initiated by dental plaque(conditioned enlargement)
2. Manifestation of the systemic disease independently of the inflammatory status of the gingiva.
🔺CONDITIONED ENLARGEMENT
1. HORMONAL
2. Vit.C DEFICIENCY
3. ALLERGIC
⭐ HORMONAL
CLINICAL FEATURES
1. Generalized
2. Prominent interproximally
3. Bright red or magenta
4. Soft and friable & has smooth & shiny surface
5. Bleeds spontaneously
⭐ Vit.C DEFICIENCY
CLINICAL FEATURES
1. Marginal
2. Bluish red
3. Soft & friable & smooth & shiny surface
4. Spontaneous bleeding
5. Surface necrosis with pseudomembrane formation
⭐ ALLERGIC
CLINICAL FEATURES
1. Frequent in women & young adults
2. Located on oral aspect
of attached gingiva & therefore differs from plaque induced gingivitis.
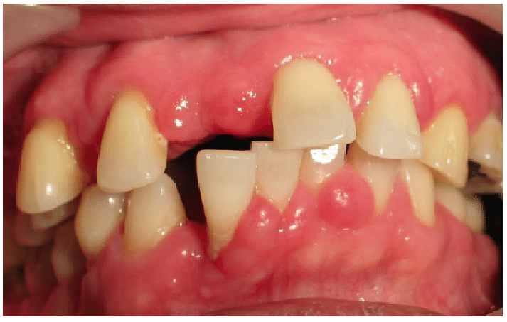
🔴NON SPECIFIC CONDITIONED ENLARGEMENT (PYOGENIC GRANULOMA)
● Female are affected more than male
● Common age of occurrence is 11-40 yrs
● Its size ranges from 0.9- 2 cm.
● Asymptomatic, may be papular or nodular Polypoid mass.
● It may become mature and becomes less vascular and more collagenous gradually converting into a fibrous epulis.
● Lesions are elevated pedunculated or sessile masses with smooth lobulated or even warty.
● Surface is commonly ulcerated and shows tendency to hemorrhage upon slightest pressure or trauma
● Variegated red and white pattern
🔴SYSTEMIC DISEASES CAUSING GINGIVAL ENLARGEMENT
1. LEUKEMIA
2. GRANULOMATOUS DISEASE
(WEGENER’S GRANULOMATOSIS)
🔴NEOPLASTIC ENLARGEMENT
(GINGIVAL TUMORS)
⭐BENIGN
- Fibroma
- Papilloma
- Peripheral giant cell granuloma
- Central giant cell granuloma
- Leukoplakia
- Gingival cyst
⭐MALIGNANT
- Carcinoma
- Malignant melanoma
🔴FALSE ENLARGEMENT
1. UNDERLYING OSSEOUS LESION (like: tori, exostoses,paget’s disease,
fibrous dysplasia, cherubism, central
giant cell granuloma, ameloblastoma,
osteoma and osteosarcoma)
2. UNDERLYING DENTAL TISSUES (During various stages of eruption)

Loading suggestions...