بيان الزهراني 🇸🇦
بيان الزهراني 🇸🇦

@alzhrb

19 Tweets 28 reads Mar 24, 2020
Most #coronavirus cases are diagnosed through a laboratory test that samples saliva or mucus, but there's another way to tell whether a person may be infected.
The disease caused by the coronavirus COVID-19, is a respiratory illness so patients often develop a dry cough and difficulty breathing.
Patients with severe cases typically develop fluid in their lungs, similar to those seen in standard pneumonia cases. That fluid can be detected on a CT scan, where it shows up in the form of white patches that doctors call "ground glass."
Normal lungs should appear black on a CT scan
It's common to have small masses of tissue, or lung nodules, that show up as tiny white dots.
But coronavirus scans tend to have white patches that radiologists refer to as "ground glass opacity."
"You can see it with all types of infections bacterial, viral, or sometimes even non-infectious causes," Lakhani said. "Even vaping could sometimes appear this way."
But the patches are significant, he added, when they extend to the edges of the patient's lungs.
That's something we don't often see," Lakhani said. "We saw that with SARS and we saw that with MERS
Both SARS and MERS are also coronaviruses. An outbreak of the former in China resulted in 8,000 cases and 774 deaths from November 2002 to July 2003.
An analysis of nearly 140 coronavirus scans suggests that patches of ground glass on both lungs are a hallmark of the virus ?
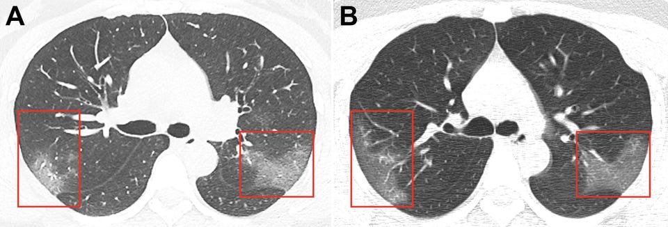
Researchers analyzed scans from patients at the Zhongnan Hospital of Wuhan University, the majority of whom were older men with preexisting health problems. The images above are scans from a 52-year-old patient.
The first group of scans (group A) were taken on January 7, five days after the patient started displaying symptoms. They show patches of ground glass at the bottom of both lungs.
The man was put on life support from January 7 to 12. After that, his condition seemed to improve.
The second set of scans (group B), taken January 21, show that many of the white patches either shrunk or disappeared
Many coronavirus patients tend to worsen quickly. Their ground-glass patches become more pronounced after a few days.
Scans from a 27-year-old woman who worked in Wuhan showed a "ground-glass halo" — white patches that surround a small nodule.
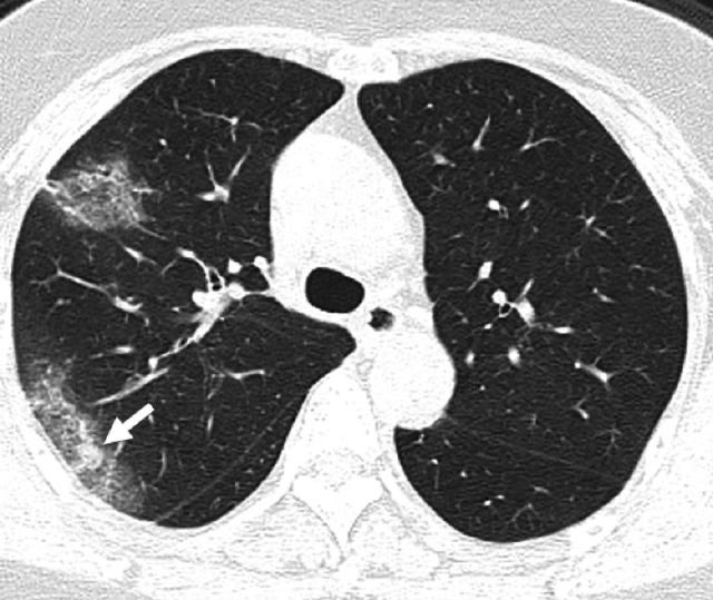
A Shanghai study also identified a mesh-like pattern called "reticulation," which is visible in this scan of a 75-year-old man.
According to the Shanghai researchers, 22% of the 50 patients they looked at displayed reticulation on their scans. Around 77% had ground-glass patches, while nearly 60% had consolidation — lung tissue that filled with liquid instead of air
But the coronavirus doesn't always show up in scans right away. 
"We can't rely on CT alone to fully exclude presence of the virus," Michael Chung, the lead author of the Lanzhou study, said on February 3.
Lakhani said CT scans are "one of four or five things" needed to make a diagnosis, along with symptoms, clinical history, the progression of the disease, and the laboratory test.
@Rattibha رتب

Loading suggestions...