Dr. Mohammed Alharbi د.محمد الحربي
Dr. Mohammed Alharbi د.محمد الحربي

@Drmsaleh3M

7 Tweets 33 reads Apr 13, 2020
التأهيل بعد الكسور
-من أكثر المشاكل الصحية شيوعاً هي الكسور وعلاجها سواء جراحياً او تحفظي
-ونظرا للالتباس الحاصل للمرضى وذويهم فضلت كتابة ثريد ذو محتوى بسيط ومفهوم للمجتمع عن الكسور وتأهيلها
طبعا هذا الثريد لا يغنيك عن استشارة طبيبك المعالج عن خطة التأهيل
@6abeb_
طريقة التاهيل يُقصد فيها امكانية المريض من الحركة والمشي، تشمل طريقة الجلوس او استخدام الطرف السفلي للمشي ومقدار ثني المفصل ...الخ، حيث تعتمد بشكل كبير على مجموعة من العوامل منها:
#تثقيف_صحي
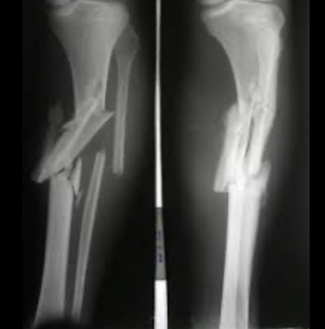
-طبيعة وخصائص الكسر
هذا يعني كشل الكسر ومكانه، هل الكسر قريب من المفصل او داخلة
هل الكسر في منطقة ميكانيكية لها خصائص مختلفة
-نوع الكسر
اقصد الكسور الناتجة من الحوادث وليست الكسور المرضية
لكن هناك انواع من الكسور كاالمعقدة والبسيطة
قد نلجأ احيانا لبعض المسميات او الوصف
كالكسور المفتوحة حيث المقصود فيها وجود جرح يسبب اتصال المحيط الخارجي في الكسر
#StayHome
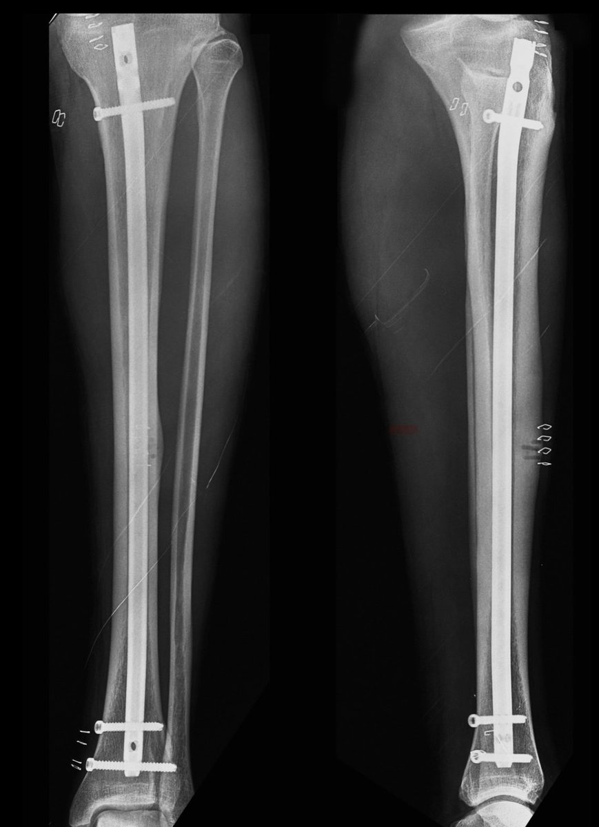
-ايضاً من العوامل طريقة علاج الكسر
هل كان جراحياً او تحفظي
حيث المبدأ الاساسي في الجراحة اعادة الطرف المكسور الى اقصى وضعية مناسبة لتساعد المريض على العودة الى الحركة واستعادة حياته الطبيعيه باسرع وقت
ومن اهم العوامل المحددة للتاهيل هي نوعية العملية الجراحية وطريقة تثبيت الكسر
فيكون القرار خلال العملية الجراحية، فالجراح على دراية كامله عن وضعية الكسر وإمكانية استعادة المشي بشكل مباشر
فنوع التثبيت المستخدم يلعب دور جوهري عن نوع التأهيل
فمستوى التأهيل قد يكون تدريجي
فمثلا مدى حركة المفصل ونسبة الضغط على الطرف تزداد بشكل تدريجي بمرور الوقت تحت إشراف طبي
خلاصة الثريد..... هذه النقاط يفترض على كل مريض معرفتها بعد حدوث الكسر لا قدر الله ومناقشة الخطة التأهلية مع طبيبك

Loading suggestions...