Dr Oluwayemisi Ikumelo #ThatPhatOndoWoman
Dr Oluwayemisi Ikumelo #ThatPhatOndoWoman

@YemisiIkumelo

30 Tweets 49 reads May 20, 2020
"Dentistry is only about teeth"
That's what an average Nigerian thinks.
Is that true?
Definitely not!!!!
Wanna know more?
Read on!
Dentistry is a speciality on its own and it also has many sub-specialities under it.
It goes beyond just the teeth... and gums.
It is a branch of medicine that deals with the teeth, gums, muscles of the head, neck and jaw, the tongue, salivary glands, the "nerves system" of the head & neck and other areas.
Follow me.
Read on.
In fact, according to the ADA,
Dentistry is defined “as the evaluation, diagnosis, prevention and/or treatment (nonsurgical, surgical or related treatment) of diseases, disorders and/or....
... conditions of the oral cavity (the mouth) maxillofacial (face and jaw) area and/or the adjacent and associated structures and their impact on the human body”.
During a detailed and comprehensive examination, dentists examine the teeth and gums, but they also look for swellings, discolorations, ulcerations and any abnormality whatsoever around the head and neck region.
As a matter of fact, through the mouth (head and neck too), a dentist can detect one or more of the early signs of some terrible infections and diseases affecting other parts of the body such as HIV, Tuberculosis, syphilis, cancer e.t.c.
Sooo, what are these sub-specialities in Dentistry?
1. Oral&maxillofacial surgery
2. Restorative dentistry(Dental Aesthetics, Endodontics)
3. Prosthetic dentistry
4. Oral medicine
5. Periodontology...
...6. Community dentistry
7. Family dentistry
8. Pediatric dentistry (Children)
9. Orthodontics
10. Oral radiology
When you have lockjaw, a condition when your TM joint (joint in your ear region) can painfully “ lock,” and you're unable to move your jaw until the joint is repositioned, a dentist is the one that helps you fix it.
When you have an accident and your bones in your face & jaw shatters or breaks in so many places, A dentist (Oral and maxillofacial Surgeon) treats you.
Before After (but treatment not yet finished)
When you're not producing enough saliva or you have dry mouth because you're not producing enough saliva, a dentist (Oral medicine) helps you.
When you have a burning mouth sensation as a result of some form of exposure to what you shouldn't be exposed to, a dentist (Oral medicine) helps you.
When you have a tumour, a swelling or an infection in the region of your head and neck, a dentist, (Oral and maxillofacial Surgeon)
You have a facial malformation such as cleft lip and palate that needs repair, a dentist (Oral and Maxillofacial Surgeon) will help you..
When you have sharp shooting pain from your nerves, in your head and neck region, a dentist (Oral medicine) helps you.
See tweet
When you need help with smoking cessation and nicotine addiction, a dentist (Community dentist) helps you.
To understand things about an epidemic of oral origin, a community dentist swings into action.
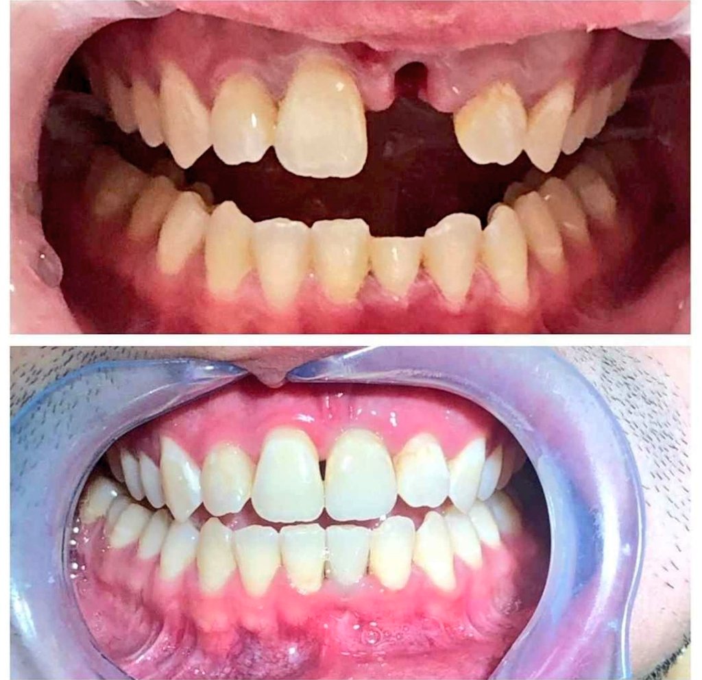
When your teeth are not properly aligned, a dentist (An orthodontist) helps you.
When you have problems with your gums, a dentist (Periodontologist) helps you.
You have a terrible toothache of pulpal origin that's disturbing you, a dentist (Endodontist) will help.
You have a broken tooth that is still in place but looks terrible, or your teeth has some funny appearance,
A Restorative dentist (Conservative dentistry) can help you.
These and many more are what you see and get from dentistry.
Signs of disease of the systems you'll see in the mouth?
e.g. HIV :
A straight band of reddish gums.
Growths and white lesions.
Oral signs of Syphilis.
There are a lot of systemic (body) diseases that show signs in the mouth.
A dentist/Dentistry does not only treat the teeth but treats the whole man, the man that has the teeth in his mouth as the mouth is the gateway to the body.
May our mouth not kill us.😄😄😄😄😄😄
Amen.
One more thing.
Please like, retweet and share.
If you have questions, I'll answer them... within my capacity.
Talking about dental X-rays, A dentist (Oral radiologist) is there for you.
You have a missing tooth or missing teeth or you had a major surgery and lost a large chunk of your jaw, a prosthodontist can help you resume function by giving you a prosthesis.
11. Oral pathology.
🤗🤗🤗🤗❤❤
Image source: online
IG, Google, My storage device.

Loading suggestions...