د.تميم العلي
د.تميم العلي

@hearmealways

8 Tweets 19 reads Jul 07, 2020
إليكم سلسلة تغريدات (#ثريد ) عن المراحل الاساسية لاختيار المريض لعملية #زراعة_القوقعة.
#منشن اي مهتم #ريتويت
في البداية ماهي زراعة القوقعة ؟
هي عملية جراحية يُغرس فيها جهاز شريط إلكتروني داخل الأذن الداخلية للمساعدة على السمع ، وينقسم الجهاز إلى قسمين: الأول داخلي يسمى القوقعة المزروعة والثاني خارجي يسمى المبرمج أو معالج الكلام كما هو موضح في الصورة
١-تشخيص ضعف سمع حسي عصبي شديد من قبل طبيب الانف والاذن واخصائي السمع.
٢-استخدام المعينات السمعية بدون الفائدة المرجوة خلال فترة ٣-٦ اشهر
٣- عدم تطور اللغة لدى الاطفال مع استخدام السماعات العادية
#النطق
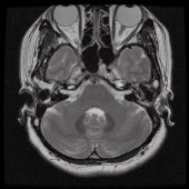
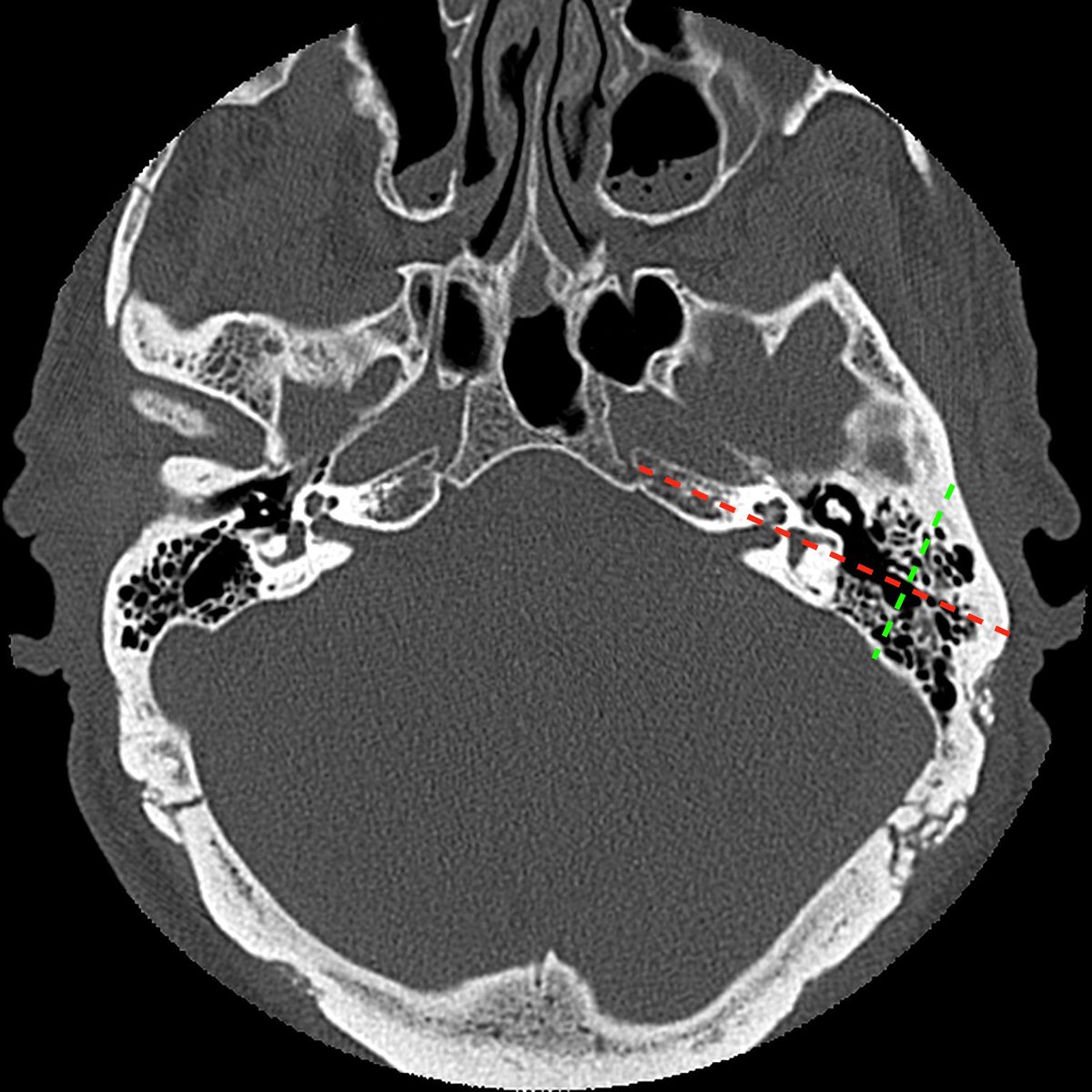
٤-عمل #أشعة مقطعية (CT) ورنين مغناطيسي (MRI) على المخ والاذن والتي تعطي معلومات عن حالة المخ وتشريح #القوقعة والعصب السمعي.
٥- المرحلة النهائية قبل قرار العملية يتم مناقشة الحالة مع فريق #زراعة_القوقعة والمكون من عدة تخصصات لبحث الحالة من جميع الجوانب ومنها #الصحية و #النفسية وخلوها من اي مخاطر والاهم اشراك المريض او اهله في حال الاطفال في اتخاذ القرار المناسب.
⚠️ملاحظة مهمة وأخيرة قبل العملية يجب تعاون مريض القوقعة واهله مع الطاقم الطبي والاخذ بتوصياته لما بعد ذلك من تدريب سمعي لفظي متدرج وعلى مراحل لا كما يظن انه سيسمع ويتكلم فورا 👍
#رتبها لوتكرمت لتعم الفائدة 👍 @Rattibha

Loading suggestions...