الثريد الثالث والأخير عن #اللوكيميا😻
حنتكلم فيه عن👇🏻:
MPD ( Myeloproliferative disorders)
والي تتضمن :
* Chronic myeloid leukemia
* polycythemia vera
* essential thrombocytosis
وأيضاً فيه انواع غير شائعه تندرج تحتها لكن راح نتطرق لهذه الانواع فقط.
حنتكلم فيه عن👇🏻:
MPD ( Myeloproliferative disorders)
والي تتضمن :
* Chronic myeloid leukemia
* polycythemia vera
* essential thrombocytosis
وأيضاً فيه انواع غير شائعه تندرج تحتها لكن راح نتطرق لهذه الانواع فقط.
تعريفها بأختصار:
هي ان خلايا الدم تحديداً الmyeliod
تتكاثر بشكل زايد وغير طبيعي جوا الB.M
يعني باللانواع كلها حقت ال MPD راح تحصل زياده بال Plt و WBC و RBC كلهم .. لكن❗️واحد منهم راح يكون زايد بشكل اكبر من الباقي زايد عن الباقي .. وحنعرف كيف
هي ان خلايا الدم تحديداً الmyeliod
تتكاثر بشكل زايد وغير طبيعي جوا الB.M
يعني باللانواع كلها حقت ال MPD راح تحصل زياده بال Plt و WBC و RBC كلهم .. لكن❗️واحد منهم راح يكون زايد بشكل اكبر من الباقي زايد عن الباقي .. وحنعرف كيف
هذول الأنواع يشتركوا بأنهم 👇🏻:
* كلهم ممكن يتحولو لAML ب70%من الحالات
* كلهم ممكن يكون عندي gout لان الrapid cell turn over يزيد لي الuric acid
* كلهم ممكن يتحولو لAML ب70%من الحالات
* كلهم ممكن يكون عندي gout لان الrapid cell turn over يزيد لي الuric acid
أكيد حيجي ببالك دام ان الخلايا ناضجه وين المشكله؟ليش قلنا لوكيميا؟
الجواب هو هي بالحقيقه مو100%ناضجه يعني تكون ناضجه جُزئيا☑️عكس الacute الي ما تكون ناضجه ابدا
+وجودها وعدمه واحد ما تقوم بوظيفتها لان من الاساس هي مو ناضجه كفايه+فوق كذا عددها زايد لان دايم السرطان يعني زياده خلايا
الجواب هو هي بالحقيقه مو100%ناضجه يعني تكون ناضجه جُزئيا☑️عكس الacute الي ما تكون ناضجه ابدا
+وجودها وعدمه واحد ما تقوم بوظيفتها لان من الاساس هي مو ناضجه كفايه+فوق كذا عددها زايد لان دايم السرطان يعني زياده خلايا
سببها ؟ طفره
t(9:22)فيلاديلفيا كروموسوم
ولو تتذكرو بثريد الي فات كان موجود بALL
عشان كذا هو sensitiveلكن موspecific
sensitiveلان100%من الاشخاص الي عندهم CMLعندهم الفيلاديلفيا كروموسوم
يعني تسوي ليrule ot
لكن مو specific لان زي ماقلناALL بعض الاشخاص كمان احصل فيهم هذه الطفره
t(9:22)فيلاديلفيا كروموسوم
ولو تتذكرو بثريد الي فات كان موجود بALL
عشان كذا هو sensitiveلكن موspecific
sensitiveلان100%من الاشخاص الي عندهم CMLعندهم الفيلاديلفيا كروموسوم
يعني تسوي ليrule ot
لكن مو specific لان زي ماقلناALL بعض الاشخاص كمان احصل فيهم هذه الطفره
:phases of CML
1- chronic phase: راح تكون هذه المرحله بدون اعراض او اعراض خفيفة
تكون blast اقل من 10%
حيكون عندي زياده بسيطهE وB
يكون يستجيب اكثر للعلاج
ونسبه كبيره يتم تشخيصهم بهذه المرحله
وتضل 3-5 سنوات عشان نتنقل للمرحله الي بعدها
platlat طبيعيه او زايده *
1- chronic phase: راح تكون هذه المرحله بدون اعراض او اعراض خفيفة
تكون blast اقل من 10%
حيكون عندي زياده بسيطهE وB
يكون يستجيب اكثر للعلاج
ونسبه كبيره يتم تشخيصهم بهذه المرحله
وتضل 3-5 سنوات عشان نتنقل للمرحله الي بعدها
platlat طبيعيه او زايده *
2-accelerate phase : لو ما تعالج من المرحله الي قبل راح يجي للمرحله هذه
هنا راح تظهر الاعراض وهي : splenomegaly اشهرها +راح نبدأ نشوف blast اكثر
من10%ل19% بس مو اكثر من
,basophilia اكثر من المرحله الي قبل
platlat زايده او ناقصه
وتستمر من 3-5 شهور عشان تنتقل للمرحله الي بعدها
هنا راح تظهر الاعراض وهي : splenomegaly اشهرها +راح نبدأ نشوف blast اكثر
من10%ل19% بس مو اكثر من
,basophilia اكثر من المرحله الي قبل
platlat زايده او ناقصه
وتستمر من 3-5 شهور عشان تنتقل للمرحله الي بعدها
نجي لـ lap👇🏻/
1-CBC :
*normocytic or macrocytic anemia
*platlat:تكون زايده اوناقصه او طبيعيه على حسب هي بأي مرحله مثل مو واضح بالجدول فوق
*WBCممكن تكون طبيعيه او زايده كمان على حسب المرحله مثل الجدول فوق
*basopheliaتكون اكثركل ماتطورت المراحل مثل ماذكرنا
1-CBC :
*normocytic or macrocytic anemia
*platlat:تكون زايده اوناقصه او طبيعيه على حسب هي بأي مرحله مثل مو واضح بالجدول فوق
*WBCممكن تكون طبيعيه او زايده كمان على حسب المرحله مثل الجدول فوق
*basopheliaتكون اكثركل ماتطورت المراحل مثل ماذكرنا
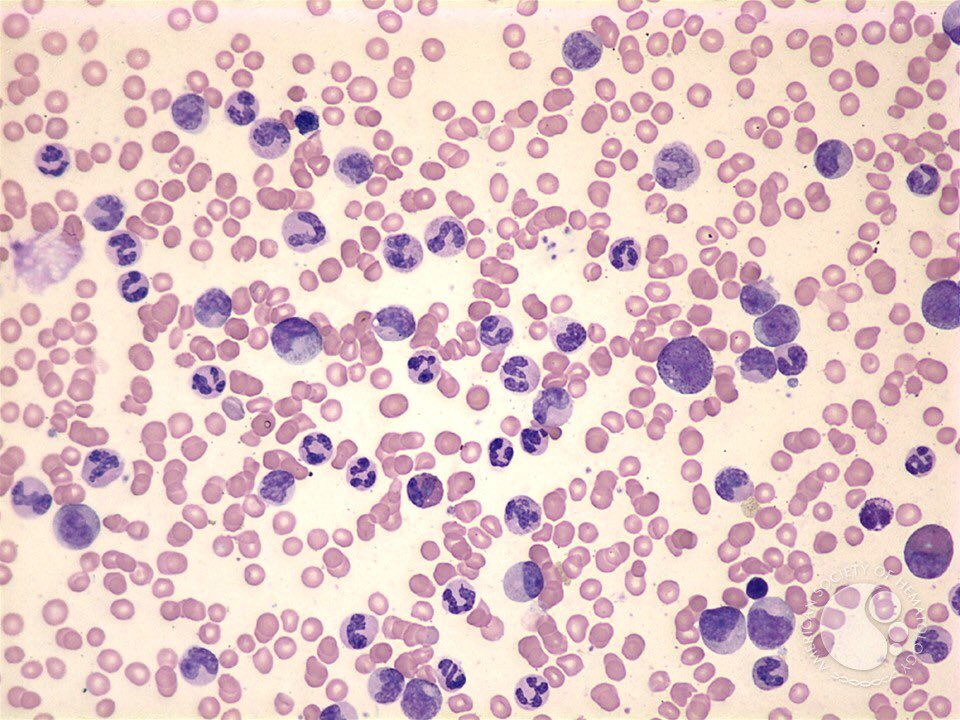
*blood film ➡️اكيد حنشوف
الblast تختلف على حسب المراحل الي ذكرناهم فوق
2-bone marrow:🦴
hypercellularty
3- LAP/NAP score:
فايدته يقولنا هل هذه الخلايا تقوم بوظيفتها بشكل كويس ولالا طيب كيف؟ايش البرنسبل؟
جوا الWBC الناضجه ونركز على ناضجه.. فيه انزيم اسمه alkaline phosphatase☑️
الblast تختلف على حسب المراحل الي ذكرناهم فوق
2-bone marrow:🦴
hypercellularty
3- LAP/NAP score:
فايدته يقولنا هل هذه الخلايا تقوم بوظيفتها بشكل كويس ولالا طيب كيف؟ايش البرنسبل؟
جوا الWBC الناضجه ونركز على ناضجه.. فيه انزيم اسمه alkaline phosphatase☑️
ف لو كانت الWBC تسوي وظيفتها تمام لانها ناضجه 100% ⬅️راح يعطيني high level
لان الخلايا الناضجه حتاخد الLAP للسيتوبلازم حقها
والعكس صحيح لو كانت الWBC ماتسوي وظيفتها تمام لانها مو ناضجه 100%⬅️ low level
لان الخلايا ماحتقدر تاخذ الLAP للسيتوبلازم حقها لانها غير ناضجه كفايه
لان الخلايا الناضجه حتاخد الLAP للسيتوبلازم حقها
والعكس صحيح لو كانت الWBC ماتسوي وظيفتها تمام لانها مو ناضجه 100%⬅️ low level
لان الخلايا ماحتقدر تاخذ الLAP للسيتوبلازم حقها لانها غير ناضجه كفايه
ف اكيد خمنتو ايش نتيجته مع الCML .. اكيد حيعطيني low level
4-cytogenetic detect: عشان نشوف الفيلاديلفيا
5-Biochemical tests : ⬆️serum uric acid, serum lactate dehydrogenase (LDH)
less commonly, hypercalcaemia.
4-cytogenetic detect: عشان نشوف الفيلاديلفيا
5-Biochemical tests : ⬆️serum uric acid, serum lactate dehydrogenase (LDH)
less commonly, hypercalcaemia.
باختصار ان الB.Mينتج RBCناضجه وطبيعيه بشكل كبير جداً(عكس الانيميا) ☑️
بالاضافه الى ان pltوWBC كمان زايده لكن الزياده الاكبر للRBC
وقبل لا نبدا لازم نعرف شغله ان فيه اشياء كثير ممكن تسبب ليP.V منها اشياءثانويه بسبب امراض ثانيه سببت لي زياده وهنا ماقول انهالوكيما
بالاضافه الى ان pltوWBC كمان زايده لكن الزياده الاكبر للRBC
وقبل لا نبدا لازم نعرف شغله ان فيه اشياء كثير ممكن تسبب ليP.V منها اشياءثانويه بسبب امراض ثانيه سببت لي زياده وهنا ماقول انهالوكيما
ومنها اوليه بسبب طفره وحنعرف اسم الجين وهنا اقول انها لوكيميا
ف نقطه مهمه وهي ان عشان اقدر اشخص ان الشخص معاه لوكيميا لازم تكون(( اوليه)) 🩸
حنعرف كيف نفرق بين الاولي والثانوي وكيف نشخص الاولي
ف نقطه مهمه وهي ان عشان اقدر اشخص ان الشخص معاه لوكيميا لازم تكون(( اوليه)) 🩸
حنعرف كيف نفرق بين الاولي والثانوي وكيف نشخص الاولي
تنقسم لقسمين :
عندي absolute polycythemia
relative او pseudopolycythemia
1- pseudopolycythemia
دايماً كلمه سودو تعني كذب ☑️🌝 تتذكرو الغير صحيح الي ذكرناه فوق ؟ هو بالضبط
بهذا النوع يكون عندي
*decreased plasma volume بينما الRBCmass* طبيعيه مافيها زياده
عندي absolute polycythemia
relative او pseudopolycythemia
1- pseudopolycythemia
دايماً كلمه سودو تعني كذب ☑️🌝 تتذكرو الغير صحيح الي ذكرناه فوق ؟ هو بالضبط
بهذا النوع يكون عندي
*decreased plasma volume بينما الRBCmass* طبيعيه مافيها زياده
2- absolute polycythemia
وهنا عكس ال relative
Increased Red cell mass*
normal plasma volume*
وينقسمو لقسمين :
**Primary (Polycythemia vera)
دايما primary يعني المشكله بالشي نفسه مو شي ثاني اثر عليه وخلا فيه مشكله☑️
هنا سببها طفره ب JAK-2 سوت لي زياده بعدد الRBC
وهنا عكس ال relative
Increased Red cell mass*
normal plasma volume*
وينقسمو لقسمين :
**Primary (Polycythemia vera)
دايما primary يعني المشكله بالشي نفسه مو شي ثاني اثر عليه وخلا فيه مشكله☑️
هنا سببها طفره ب JAK-2 سوت لي زياده بعدد الRBC
يميزها
Erythropoietin lowو
JAK-2 mutation positive
طيب نفسر شوي ليش low? زي ماحنا عارفين ال Erythropoietin هو المسوول عن تكون الRBC
ف كnegative feedbackيقل ال لان الRBC عاليه بسبب الطفره مو بسبب ال Erythropoietin
Erythropoietin lowو
JAK-2 mutation positive
طيب نفسر شوي ليش low? زي ماحنا عارفين ال Erythropoietin هو المسوول عن تكون الRBC
ف كnegative feedbackيقل ال لان الRBC عاليه بسبب الطفره مو بسبب ال Erythropoietin
*Secondary Polycythemia
دايماً Secondary يعني المشكله مو بالشيء نفسه عندي شي ثانوي اثر عليه وخلا فيه مشكله☑️
هنا سببها ارتفاع الErythropoietin سوت لي زياده بالRBC
ماعندي طفره بالJAK2فما اقدر اقول انها لوكيميا
فيميزها :
JAK-2 mutation negative
Erythropoietin high
دايماً Secondary يعني المشكله مو بالشيء نفسه عندي شي ثانوي اثر عليه وخلا فيه مشكله☑️
هنا سببها ارتفاع الErythropoietin سوت لي زياده بالRBC
ماعندي طفره بالJAK2فما اقدر اقول انها لوكيميا
فيميزها :
JAK-2 mutation negative
Erythropoietin high
وهذا الارتفاع ممكن يكون بسبب حاجتين
1-appropriatيكون عندي شي سوا لي hypoxia
يعني نقص بالاوكسجين,اذا صار عندي نقص بالاوكسجين يعني مافي اوكسجين كافي يوصل للجسم ،ف كـ استجابه الجسم يحسب ان مافي RBC كافيه ف يرتفع ال Erythropoietin الي راح يطلع لي RBC اكثر الي وضيفتها تنقل الاكسجين
1-appropriatيكون عندي شي سوا لي hypoxia
يعني نقص بالاوكسجين,اذا صار عندي نقص بالاوكسجين يعني مافي اوكسجين كافي يوصل للجسم ،ف كـ استجابه الجسم يحسب ان مافي RBC كافيه ف يرتفع ال Erythropoietin الي راح يطلع لي RBC اكثر الي وضيفتها تنقل الاكسجين
2-inappropriat
يكون عندي tumer يخلي ال Erythropoietin ينتج بكميه كبيره بالتالي ◀️يزيد انتاج الRBC
مثل renal cell carcinoma وغيرها
يكون عندي tumer يخلي ال Erythropoietin ينتج بكميه كبيره بالتالي ◀️يزيد انتاج الRBC
مثل renal cell carcinoma وغيرها
زي ماذكرت عشان اقول ان الشخص معاه لوكيميا لازم اثبت انها برامري مو سكندري
طيب كيف حأثبت انها اوليه؟
lab:
1-CBC :
*RBC اكيد حتكون عاليه⬆️
*Hgb/Hct اكيد عاليه بما ان الRBC عالي
*plt نحصل زياده⬆️
*WBC عاليه⬆️
طيب كيف حأثبت انها اوليه؟
lab:
1-CBC :
*RBC اكيد حتكون عاليه⬆️
*Hgb/Hct اكيد عاليه بما ان الRBC عالي
*plt نحصل زياده⬆️
*WBC عاليه⬆️
2-bone marrow🦴:
بنحصل زياده hypercellularمع نقص بالiron لان الخلايا زايده فوق الطبيعي ف استهلكت كل المواد
4- radiology🔋
عشان نسوي rule outلل
Erythropoietin secreting neoplasm
ونشوف لو فيه ورم هو السبب بزياده الRBC
يعني نستبعد ال
Secondary Polycythemia
تحديدا الinaproprate
بنحصل زياده hypercellularمع نقص بالiron لان الخلايا زايده فوق الطبيعي ف استهلكت كل المواد
4- radiology🔋
عشان نسوي rule outلل
Erythropoietin secreting neoplasm
ونشوف لو فيه ورم هو السبب بزياده الRBC
يعني نستبعد ال
Secondary Polycythemia
تحديدا الinaproprate
5- (ABG (arterial blood gas
لازم يكون طبيعي اكثر من 95%
يعني نستبعد ال
secondary polycythemia
تحديداً الapproprate
الي تكون بسبب الhypoxia
6- Erythropoietin level
لازم يكونlow عشان negative feed back بالبرايمري زي ذكرنا☑️
لازم يكون طبيعي اكثر من 95%
يعني نستبعد ال
secondary polycythemia
تحديداً الapproprate
الي تكون بسبب الhypoxia
6- Erythropoietin level
لازم يكونlow عشان negative feed back بالبرايمري زي ذكرنا☑️
7-Biochemical tests:
⬆️Uric acid يسبب لي gout
⬆️ LDH.
8-Blood viscosity:
⬆️Increased اكيد لان خلايا الدم عددها كثير فراح تسبب لزوجه وثقل
9-Genetic alteration:
Jak-2 mutation is positive
وهو اكثر اختبار يفيدني
لان زي ما قلنا هو السبب اساسا☑️
⬆️Uric acid يسبب لي gout
⬆️ LDH.
8-Blood viscosity:
⬆️Increased اكيد لان خلايا الدم عددها كثير فراح تسبب لزوجه وثقل
9-Genetic alteration:
Jak-2 mutation is positive
وهو اكثر اختبار يفيدني
لان زي ما قلنا هو السبب اساسا☑️
كيف نشخصها ؟ نتذكر دايم اننا نستبعد الsecondary الاسباب الثانويه الي تسبب لي زياده بال platlate
مثل iron defecincy - infection وغيرها
ولازم يكون السبب أولي وهو طفره بجين JAK-2 عشان اقدر اقول انه لوكيميا E.T
وهنا النايج الي حتطلع معي 👇🏻:
مثل iron defecincy - infection وغيرها
ولازم يكون السبب أولي وهو طفره بجين JAK-2 عشان اقدر اقول انه لوكيميا E.T
وهنا النايج الي حتطلع معي 👇🏻:
1-CBC:
RBC عاليه⬆️
*plt نحصل زياده⬆️
*WBC عاليه⬆️
*blood smear : حنشوف platat كثير وكمان حنشوف فيه بعضهم حجمها كبير لانها تكون لسى غير ناضجه ، لان تتذكر الB.M ينتج خلايا بكميات كبيره فيزيد الضغط عليه ف يبدا يطلع خلايا غير ناضجه على الدم
RBC عاليه⬆️
*plt نحصل زياده⬆️
*WBC عاليه⬆️
*blood smear : حنشوف platat كثير وكمان حنشوف فيه بعضهم حجمها كبير لانها تكون لسى غير ناضجه ، لان تتذكر الB.M ينتج خلايا بكميات كبيره فيزيد الضغط عليه ف يبدا يطلع خلايا غير ناضجه على الدم
2- bleeding time :
prolong
3- PT,PTT :
normal
لان الcoagulation factor طبيعيه ومافيها شي
مشكلتي بالplt بس
4-thrombopoietin level
low ⬇️
ليش low ?
بسبب الnegative feed back
نفس فكره ال erythropoietin.
الختام💪🏻
prolong
3- PT,PTT :
normal
لان الcoagulation factor طبيعيه ومافيها شي
مشكلتي بالplt بس
4-thrombopoietin level
low ⬇️
ليش low ?
بسبب الnegative feed back
نفس فكره ال erythropoietin.
الختام💪🏻
Loading suggestions...