Dr. Bhavin Jadav
Dr. Bhavin Jadav

@DrBhavinJadav

6 Tweets 68 reads Jul 18, 2020
Quick tip:
Lamina spreader for distal radius fractures. Radial inclination, Radius impingement into the DRUJ can be addressed like this. Takes a couple of minutes. #OrthoTwitter
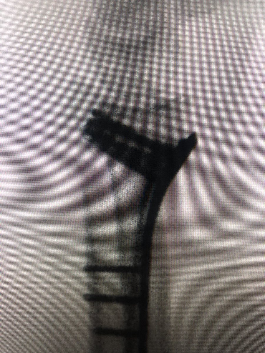
Before: the radial inclination is inadequately reduced. This shows itโ€™s impact on radial column, the DRUJ can be obstructed by the radius spike and the plate is โ€˜fish-tailingโ€™ proximal.
Single oblong hole non locking screw placed in the limb of the plate, allows rotation.
The lamina spreader goes in with the oblong hole cortical screw loosened a couple turns, this corrects alignment, tighten the screw and place more proximal locking screws to โ€˜fixโ€™ the plate position now. Inclination, DRUJ and plate position are corrected.
Check 20 degrees elevated lateral view to see safety of the joint and DRUJ view to make sure no screws violate DRUJ or are too long dorsally.
To pull this off:
- Plate should be aligned well in the coronal plane and sagittal plane distally in the peri articular radius
- The actual joint reduction should already be achieved
- Know where your NV structures (esp median nerve) are, so you donโ€™t squash them with spreader.
- Remember to loosen the shaft screw to allow correction
- Leave the lamina spreader minimum time, just enough to place the most proximal locking screw in corrected position.

Loading suggestions...