صحة الأطفال 👶
صحة الأطفال 👶

@pediaclinic1

16 Tweets 119 reads Aug 14, 2020
بإذن الله سوف نتكلم عن التهاب الرئة غداً
#تثقيف #اطفالنا #مجتمع_واعي
ماهو التهاب الرئة؟
هو التهاب النسيج الرئوي بجرثومة بكتيرية او فيروسية او فطرية ، ولله الحمد اكثر الحالات الإلتهاب الرئوي بالأطفال هو فيروسي.
اليسار (طبيعية)
اليمين (التهاب الرئة)
هل هو مرض معدي؟
ليس معدي خاصة البكتيري اما الفيروسي يكون معدي اذا فيه زكام ورشح عن طريف الإفرازات اللعاب والأنف
ماهي الاعراض؟
- الكحه
- سرعة التنفس
- خرشفة في التنفس او صفير
- الخمول
- الحرارة
- ألم الصدر
- الترجيع
وليس ضروري تأتي الاعراض مجتمعه
هل اقدر أميز بين البكتيري والفيروسي بالأشعة والأعراض؟
صعب نميز ولكن فيه بعض الدلائل مثلاً زكام ثم التهاب رئة بالغالب هذه فيروسي ، لذا اي التهاب رئة لابد من تقييم الطبيب ومعاينة الطفل
كم يستمر التهاب ويروح؟
بالغالب أسبوع الى أسبوعين ، ساعات التهاب يروح وتبقى الكحه مستمره الى ٣ أسابيع
وش يسوي الطبيب اذا رحت؟
يأخذ التاريخ المرضي والفحص السريري ثم يقرر اشعة للصدر وبعض تحاليل الدم ، وإذا قرر انها فيروسية ما يحتاج مضاد وإذا قرر انها بكتيرية لابد من المضاد … علماً ان التهاب ممكن يبدأ فيروسي وبعد يومين يصير بكتيري
لذا الطبيب يقرر هل الطفل يحتاج مضاد او لا؟ وإذا احتاج مضاد هل ينومه او يعطي المضاد بالفم ؟
متى الطفل يحتاج التنويم وإعطائه مضاد عن طريق الوريد؟
- اذا كان عمره اقل من ٣ شهور (لانه ما يقدر يأخذ مضاد عن طريق الفم)
- اذا عند الطفل نقص بالأكسجين
- اذا الطفل ما يقدر يأخذ المضاد عن طريق الفم سواء بسبب الترجيع او بسبب الخمول الشديد
- اذا الطفل عنده نقص بالمناعة او ياخد أدوية مكاوي او تنقص المناعة
- اذا عنده أمراض مزمنه بالقلب والرئة (ليس شرطاً ولكن بالغالب يحتاج تنويم)
- اذا الأهل ساكنين بعيد او عندهم صعوبة بالمواصلات
ماذا تراقب الأم او الأب بعد إقرار الطبيب معالجه الطفل بالمضاد عن طريق الفم في البيت؟
المضاد يشتغل بعد يوم الى يومين لذا ممكن نشوف الحرارة (وهذا متوقع) ، نراقب سرعة النفس ، نراقب الجفاف ، نراقب هل يستطيع يأخذ المضاد ، نراقب ضيقه بالنفس ، الخمول الشديد …
وإذا تحسن لابد الاستمرار بأخذ المضاد للمدة المحددة (يعني ما توقفون المضاد بعد ٤ ايام وهو مكتبوب لكم مثلاً ٧ ايام) اذا الطفل ما تحسن بعد يومين لابد الرجوع للطبيب للمعاينة مره أخرى ، اما الفيروسي ما يعطى مضاد وننتظر يومين اذا ما تحسن الطفل نرجع للطبيب ونأخذ المضاد
ما ننصح بأدوية الكحه (ممكن نعطيهم عسل مره باليوم الى مرتين بشرط ان الطفل يكون عمره اكثر من سنه)
حاول تحفزوا أطفالكم لأخذ الدواء بطريقتكم
هل يتكرر الالتهاب الرئوي؟
بالغالب لا ، وفيه حالات قابلة للالتهاب الرئوي المتكرر
- الي عندهم ربو
- فقر الدم المنجلي
- تعرض الطفل للدخان
- الي عندهم نقص المناعة
- الي عندهم أمراض عصبية
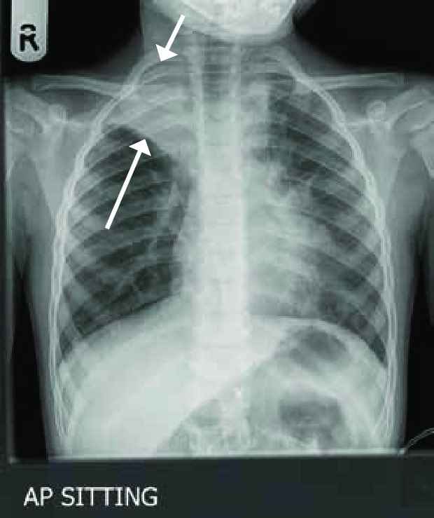
إيش هي المضاعفات؟
خراج الرئة
هواء بالرئة
ممكن بالكتيريا تروح للدم
** اذا الأزرق صديد نسميه خراج وإذا هواء نسميه الريح الصدرية
هل أعيد أشعة الصدر اذا تحسن طفلي؟
لا ما يحتاج لان كثر الأشعة مو كويس للطفل دام ان الطفل تحسن ولله الحمد
شكراً لقرائتكم ، ونستقبل اي سؤال بكل سعادة 💕👶💕
#تثقيف #اطفالنا #الالتهاب_الرئوي #ريتويت

Loading suggestions...