Eduardo R Argaiz
Eduardo R Argaiz

@ArgaizR

4 Tweets Mar 10, 2023
AKI consult:
Pt with heart failure on high dose diuretics that were titrated to achieve a normal IVC..
#POCUS
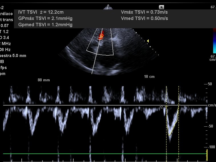
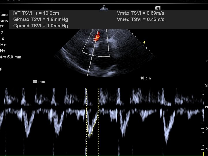
1) Right PLAx, 2) Short Axis TV inflow, 3) PLAx, 4) A4ch, 5) IVC LAx and 6)IVC SAx 1/3
Severe TR in rheumatic🫀 disease with mitral stenosis. Very dilated LA and RA (chronic elevation of pressures), and a small collapsible IVC. Normal Portal Vein (not needed). Average LVOT VTI (atrial fibrillation) = 12
Clear cut case of overdiuresis causing low stroke volume! 2/3
"In some individuals with pulmonary hypertension or tricuspid regurgitation, a high JVP is required to maintain adequate left-sided filling pressures, and normalizing JVP prior to discharge is not in the patient’s interest"
Same goes for IVC! 3/3
onlinelibrary.wiley.com
*And no, this was not permissive hypercreatinemia as pt developed hyperkalemia even in loop diuretics from reduced distal tubular flow!

Loading suggestions...