Residents Medicina Interna Hospital Vall d’Hebron
Residents Medicina Interna Hospital Vall d’Hebron

@internavalle

16 Tweets 227 reads May 20, 2021
Urgencias. 3 de la mañana de una noche de Julio, el primer turno se ha ido a descansar. Los residentes se encuentran acabando de escribir informes. Suena el busca en el despacho, la residente mayor lo coge; el SEM avisa que en 5 min traen un chico de 28 años. No está bien.👇
El paciente llega sudoroso, taquipneico. Su pareja ha llamado al 061 porque ha empezado a ahogarse y tiene fiebre. Ahora satura al 92% aire ambiente, pero cada vez se cansa más, nos habla con la voz entrecortada.
Se encuentra hemodinámicamente estable, con TA 105/67 mmHg y una frecuencia cardíaca a 73 lpm sin soplos. A la exploración física sólo se escuchan sibilantes aislados.
Nos cuenta que hace 5 días empezó a encontrarse mal, tenia fiebre con escalofríos, y apareció tos herrumbrosa. Hace 3 días aparecieron vómitos y diarrea, así como cefalea, mialgias y fotofobia. Esta noche después de cenar ha empezado a ahogarse.
No explica antecedentes médicos relevantes. Natural de Barcelona. Fumador habitual. Trabaja como abogado. No toma ningún fármaco. Tiene dos gatos.
¿Qué le solicitaríais?
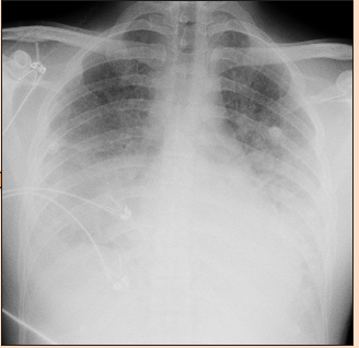
Hay que moverse rápido. Se realiza una gasometría arterial que muestra insuficiencia respiratoria (paO2 de 55mmHg) y una acidosis metabólica.
La analítica sanguínea muestra unos lactatos de 3,5 mmol/l, una leucocitosis de 22000, una creatinina de 1,37 mg/dL y trombocitopenia (125x109L). Se recogen hemocultivos. Se solicita una radiografía portátil👇
El paciente empieza a empeorar respiratoriamente. Cada vez las necesidades de oxígeno son mayores.
¿Qué opciones diagnósticas te plantearías?
Se solicitan antigenúrias en orina para Legionella pneumophila y Stretococcus pneumoniae. Además, se solicita una serología para VIH urgente y un test de antígenos para virus respiratorios. Se inicia antibioterapia empírica con ceftriaxona y azitromicina.
Se realiza un ecocardiograma a pie de cama que muestra una fracción de eyección disminuida, así como una hipocinesia del ventrículo izquierdo.
Todo va cuesta bajo y sin frenos, a las dos horas, se encuentra saturando al 85% con una FiO2 50%. El adjunto de urgencias, decide intubarlo. Llamamos a la familia, queremos informales y que nos ayuden un poco más, no sabemos qué le esta pasando.
Nos cuentan lo mismo, pero destacan que hace 7 días vino de Nepal, de un viaje con un amigo. Estuvieron en hostales, donde las condiciones higiénicas no eran óptimas, con ratones y mosquitos, además cruzaron ríos y estuvieron en el campo.
Toca pensar.
Se trata de un chico joven, sin antecedentes, que tras la aparición de sintomatología fiebre, tos y diarrea, empieza con fallo respiratorio rápidamente progresivo con disminución de la fracción de eyección del VI.
Ha viajado recientemente a Nepal, y ha estado expuesto a múltiples antecedentes epidemiológicos como ratones y mosquitos. Nos encontramos en el año 2018 por lo tanto el COVID no cuadra…
¿Qué etiología podemos sospechar con todo lo que sabemos?

Loading suggestions...