د. هيفاء حمد الراشد🇸🇦
د. هيفاء حمد الراشد🇸🇦

@Dr_Hayfaa

4 Tweets 216 reads Jan 24, 2022
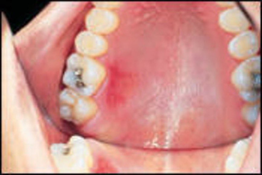
الحروق داخل الفم:
جيت جوعانة..
أكلت قطعة قرع حارة بسرعة.. انحرقت لهاتي (سقف الحلق) .. وش سويت؟
يكثر في فصل الشتاء حدوث ذلك ، موضوعنا شتوي 👍🏼
(يتبع)
#مساء_الخير #معلومات_عن_صحة_فمك #د_هيفاء_الراشد
حروق الفم تعتبر حروق من الدرجة الأولى، وغالبا تحدث بسبب المأكولات والمشروبات الساخنة جدا.
سرعة التصرف قد تقلل الضرر والألم..١/أكل المثلجات مباشرة سيخفف الألم كثيرا.٢/العسل مخفف للألم.٣/ الزبادي والحليب ٤/استعمال الماء الفاتر والملح..٥/ استعمال الو فيرا الخاص بالفم من الصيدليات
الجزء المحروق سيفقد الخلايا ويجددها خلال أسبوع وقد يستمر الألم خلال هذا الأسبوع أو يختفي تدريجياً.
حروق اللسان ستختفي أسرع لأن الأوعية الدموية فيه أكثر وفرة..#معلومات_طبية #د_هيفاء_الراشد
عادة يكون لكل بلد اكلات مشهورة تسبب الحروق، ونلاحظ أن أشهر شي من مسببات الحروق هي البيتزا لانها اصبحت تقريبا اكل سريع عالمي وليس فقط في #إيطاليا واذا تكلمنا عن منطقتنا فالأكثر شهرة في الحروق الشاي والمرقوق (اضيفوا تجاربكم)
#معلومات_عن_صحة_فمك #د_هيفاء_الراشد
#مرقوق #بيتزا

Loading suggestions...