Nicole Schmidt
Nicole Schmidt

@NicoleSchmidt47

18 Tweets 8 reads Feb 24, 2022
1/18 Hello #Nephtwitter #Medtwitter, @aspneph radiology webinar topic for Dec 2021 was #Peritonealdialysis (PD) and complications.
But first, let’s have a poll. #Pedneph #ASPNFOAM
Why is PD preferred to hemodialysis (HD) in a child with end-stage kidney disease (ESKD)?
2/18 Ans: All of the above
Other advantages of PD:
📌decreased travel compared to HD
📌PD can be performed in comfort of home
📌decreased need for vascular access and related complications
📌gentle dialysis
📌being closer to a more physiologic process
PMID 34731538, 26256980
3/18 Complications can be split into infectious and non-infectious
Infectious complications include:
1. Exit site infection
2. Tunnel infection
3. PD peritonitis
PMID 32728843
4/18 Let’s focus on non-infectious complications.
What are the common non-infectious complications of PD?
PMID 32728843
5/18 Ans: All of the above
Mechanical complications lead to poor fluid removal and may be due to:
1. Catheter kinking
2. Constipation
3. Catheter migration
PMID 34731538, 31028108
6/18 Amongst all the complications, catheter malfunction appears to be the more frequent non-infectious complication
7/18 Risk factors for increased catheter malfunctions in patients:
📌less than 1 year of age
📌with lack of omentectomy
📌with immediate use/use of catheter before maturation
PMID 30203179, 23331815, 30217181
8/18 Management of non-infectious complications
1) Imaging-XR abdomen: can identify hydrothorax, perforation
📌Pros: widely available, cheaper, time-sensitive
📌Cons: less sensitive than CT/ MRI
📌CT abdomen is preferred if encapsulating peritoneal sclerosis (EPS) suspected
9/18
2)CT Peritoneography:GOLD standard->exam of peritoneal cavity
📌Method: 2L dialysate w/100mL nonionic contrast medium w/300mL iodine/mL. Ambulate for 1 hr & use prone position for images
📌Cons: exposure to iodinated contrast media &ionizing radiation
📌C/I:Contrast allergy
10/18
3) What about MR Peritoneography?
📌Method: Similar technique as CT, can be performed with just dialysate as the contrast media
📌Cons: More expensive than XR or CT, limited availability
📌C/I: metallic objects in the body
11/18 Metabolic complications like weight gain due to glucose load is another non-infectious complication
📌Icodextrin reduces this side effect to some extent, but need to take the cost and availability of icodextrin into account
PMID 26256980
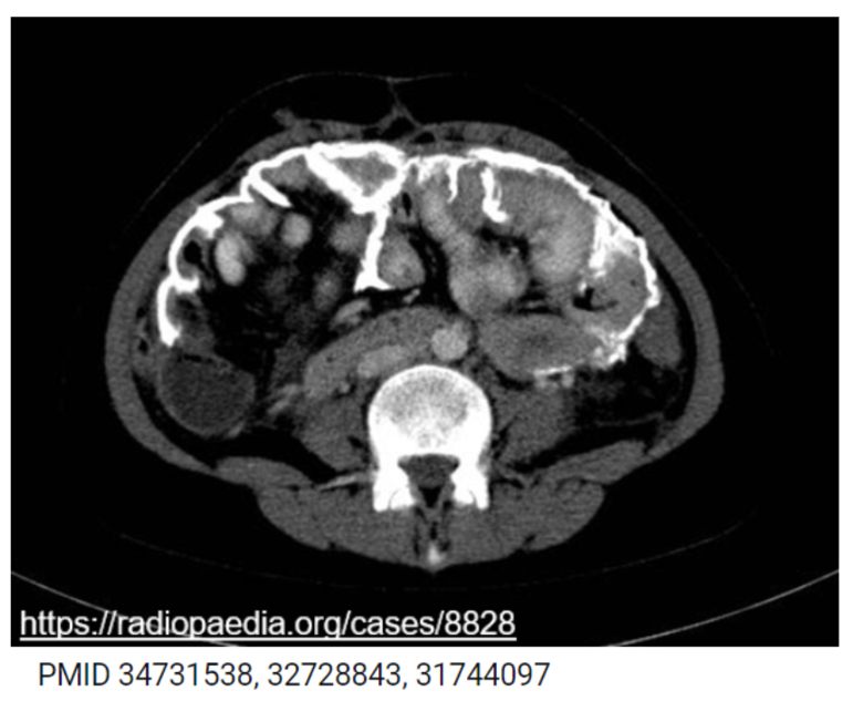
12/18 EPS is one of the most severe non-infectious complications.
Do you know how long it takes to develop EPS?
13/18 Ans: 5+yrs
Risk Factors:
📌long-term exposure to PD fluids
📌multiple/recurrent peritonitis bouts
📌genetic predisposition
📌meds: ex-practolol, chlorhexidine
Symptoms: severe abdominal pain, persistent n/v
Diagnosis: CT scan->cocooning of bowel & cystic fluid collections
14/18 Treatment of EPS: There is no standard treatment. PD is typically discontinued.
Early treatment with glucocorticoids, tamoxifen, immunosuppression may be useful
Symptomatic treatment: pain management, parenteral nutrition
PMID 31744097
15/18 Here is a stepwise approach to catheter malfunction by @bourneauguste
16/18 For children on PD, it is important to be aware of the non-infectious complications which could be as detrimental as infectious!! Here’s an infographic summarizing the various complications of PD in children!
17/18 For a case-based clinical discussion on non-infectious complications of #peritonealdialysis with a radiologist and an expert, login to @ASPNeph website, Dec 2021 webinar #Membereducation #NSMC2022

Loading suggestions...