Richard Choi, DO, FNCS
Richard Choi, DO, FNCS

@rkchoi

13 Tweets 18 reads Mar 17, 2022
Wow, another neat case, #medtwitter #neurotwitter #FOAMed #tweetorial Middle aged human with both epilepsy and non epileptic seizures, depression who was noted to be lethargic, rigid, diaphoretic days after feeling bad with N/V. EMS called notes a GTC on arrival. 1/x
Arrives in ED with sonorous respirations and has abnormal movements, increased tone lowers>uppers, reflexes are 4/4 with sustained clonus. Their right pupil is dilated and non reactive, left is 2mm and reactive. 2/x
This person takes Keppra, Lyrica, Sertraline, trazodone, trileptal, zyprexa, ability amongst others. What is your diagnosis? 3/x
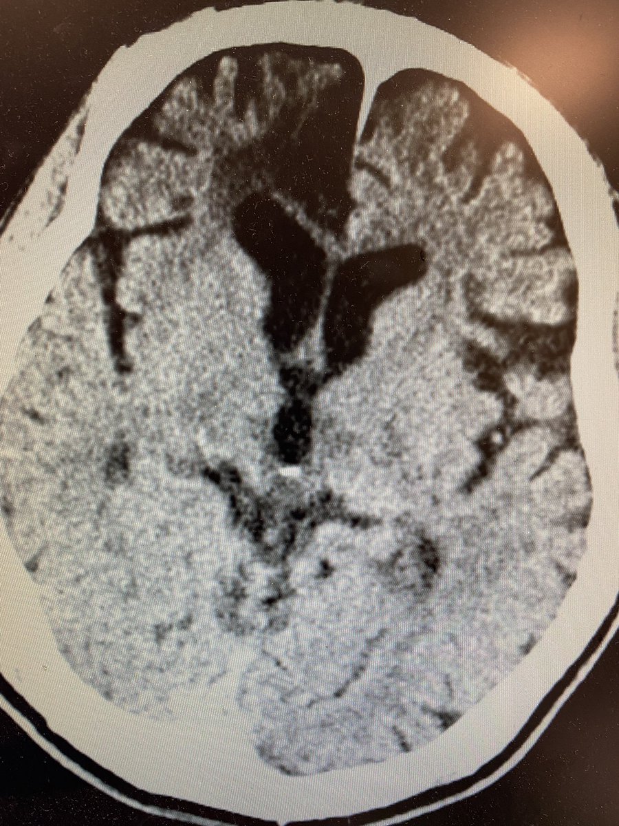
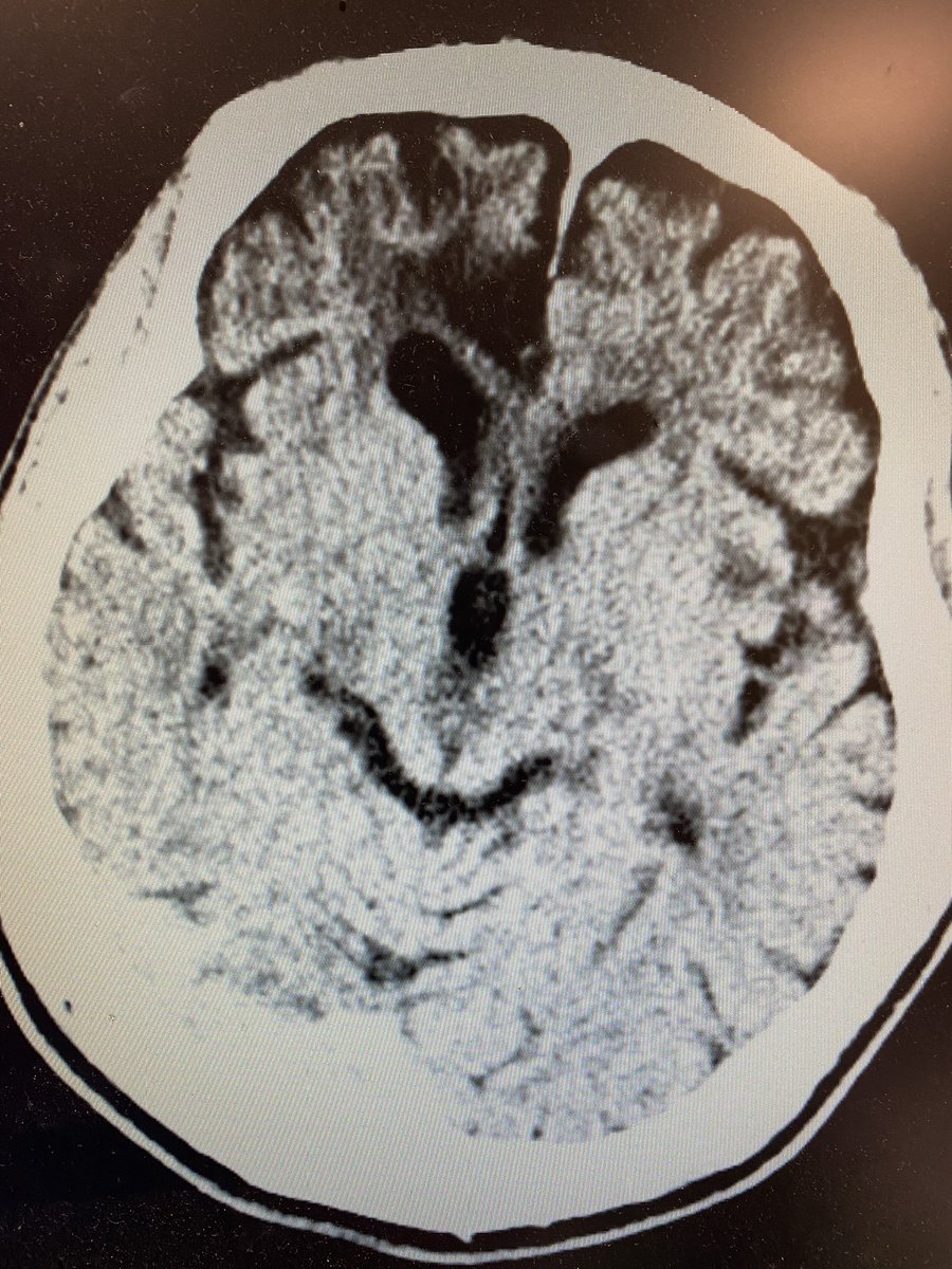
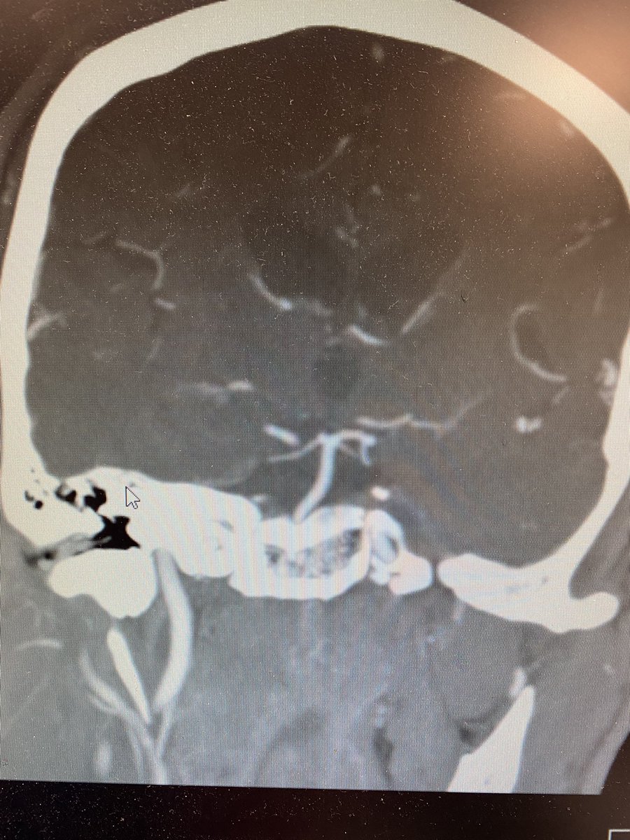
Initial CT head reveals prior right frontal encephalomalacia but no hemorrhage. CTA does not reveal any large vessel occlusion. EEG reveals slowing, generalized, excess beta, no epileptic Discharges or seizures 4/x
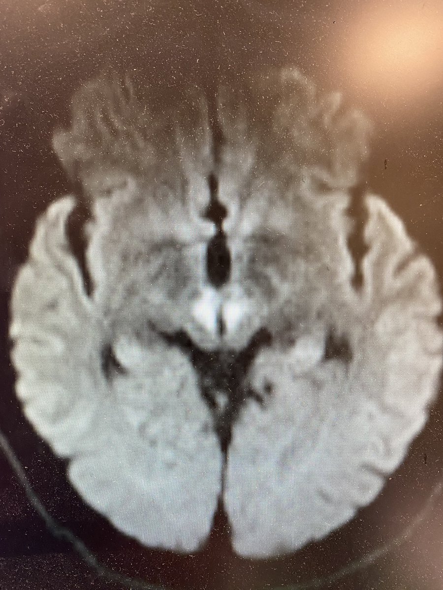
What is your diagnosis now? Only one left is serotonin syndrome which would fit except for the right pupil… Repeat ct now makes diagnosis clearer and mri confirms 5/x
What is your new diagnosis? 6/x
Yup! 7/x
You got it! Artery of Percheron stroke leading to depressed mental status and nuclear IIIrd nerve palsy! Here is a first reference bmcneurol.biomedcentral.com 8/x
AOP infarcts affect bilateral para median thalamus and may also affect the midbrain and/or anterior thalamus. Presentation often involves depressed mental status, EOM deficits, aphasia, dysarthria, amnesia, ataxia, dystonia, weakness and sensory changes 10/x
Incredibly, the patient woke up, was extubated and is following commands and talking! Their tone normalized and their hyperreflexia is resolved! 11/x
Mri also revealed other small embolic strokes and a cardio embolic source is suspected. Search for atrial arrhythmia will continue as an outpatient. 12/x

Loading suggestions...