هديل 🕊
هديل 🕊

@Hadeel7m

18 Tweets 28 reads Apr 26, 2022
C-Shaped canal
#Dental_by_Hadeel
A C-shaped canal is very common on the mandibular molars especially among
Asians and those of Asian descent.
The main etiology of this
anomaly is the failure of Hertwig’s epithelial root sheath to fuse on either the buccal
or lingual root surface.
A C-shaped canal system can be observed in many variations
in root and canal morphology. It can vary along the root depth so the appearances of
the orifices are not necessarily good predictors of the actual canal anatomy.
🔴Fan et al in 2004 modified Melton’s method of classification into the following categories 🔴
1️⃣Category I (C1):
The shape is an uninterrupted “C” with no separation or division.
2️⃣ Category II (C2):
The canal shape resembles a semicolon resulting from a discontinuity in the “C” outline, but either angle α or β should be no less than 60°.
3️⃣Category III (C3):
Two or three separate canals and both angles, α and β, are less
than 60°.
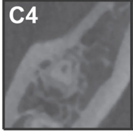
4️⃣Category IV (C4):
Only one canal, which is round or oval in cross section
5️⃣Category V (C5):
No canal lumen can be observed (usually seen near the apex only).
🔴Fan’s Classification (Radiographic
Classification)🔴
1️⃣Type I:
Conical or square root with a vague, radiolucent
longitudinal line separating the root into distal and mesial
parts. There was a mesial and a distal canal that merged
into one before exiting at the apical foramen (foramina).
2️⃣Type II:
Conical or square root with a vague, radiolucent
longitudinal line separating the root into distal and mesial
parts. There was a mesial and a distal canal, and the two canals appeared to continue on their own pathway to the
apex
3️⃣Type III:
Conical or square root with a vague, radiolucent longitudinal line separating the root into distal and
mesial parts. There was a mesial and a distal canal, one
canal curved to and superimposed on this radiolucent line when running toward the apex,
and the other canal
appeared to continue on its own pathway to the apex.
🔴MANAGEMENT🔴
🔴RESTORATION AND PROGNOSIS 🔴

Loading suggestions...