د.مهند القرشي Dr.Mohannad AlQurashi
د.مهند القرشي Dr.Mohannad AlQurashi

@DrMohannadAlQu1

8 Tweets 119 reads Apr 17, 2022
في هذا الثريد شرح مبسط لأطباء العيون عن كيفية قراءة تقرير فحص المجال البصري..
First step
1) make sure the patient's name and age is entered right in the machine.
Name for accurate identification. And age for proper choice of database for the patient's age.
2) Check test type:
30-2 for neurological patients
24-2 for glaucoma patients
10-2 for tunnel vision patients ( advanced glaucoma)
3) Check strategy
SITA standard or SITA fast
(Better to use same strategy every time for better comparison)
4)check refractive lens used if needed
5) Check reliability indices:
Fixation losses should be <15%
False positive should be <30%
False negative should be <30%
If those are above this level the test is not reliable
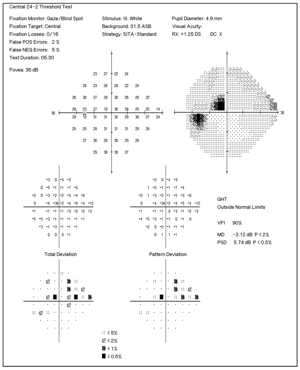
This is the Total deviation map:
Gives you the real deviation of each point from normal. The solid black points means it can be found in only 0.5% of normal people. So its most likely pathological decrease in sensitivity of this point specially if it has adjacent points.
Pattern deviation map:
The most important because the machine removes generalized decrease in sensitivity (which is usually caused by cataract or corneal desease or..) from the total deviation map and keep only focal loss of sensitivity which is caused usually by glaucoma
GHT:
(glaucoma hemifield test) which compares superior and inferior hemifields and if there is certain amount of deference this goes with the diagnosis of glaucoma.
VFI:
Visual Field Index is an index that assigns a number between 1% and 100%, 100% being a perfect visual field.
MD:
(Mean deviation) of -2.00 or less could indicate glaucoma
PSD:
(Pattern standard deviation) A high PSD indicates localized sensitivity loss (ie, not due to diffuse depression from cataract or vitreous hemorrhage).
If increasing usually means glaucoma is progressing.
كان هذا شرحا مختصرا عن كيفية قراءة تقرير فحص المجال البصري.
ويسعدني الرد على كافة استفساراتكم عن هذا الموضوع..

Loading suggestions...