dr. Akhada Maulana, Sp.U
dr. Akhada Maulana, Sp.U

@akhadam77

13 Tweets 32 reads Dec 07, 2022
Bismillaah...
Pernah suatu ketika sy dikonsulkan pasien ibu2. Ibu ini habis operasi cesar karena melahirkan anaknya yg pertama. Kmd pas operasi ditemukan adanya kecurigaan tumor besar d perut dan dikonsulkan k dr bedah di rs tsb. Ternyata benjolan tsb berasal dr kedua pinggang.
Tumor tdk diapa2kan karena tdk ada rontgen sblm operasi shg tdk bs diketahui dr mana asalnya dan seberapa luas. Y karena ibu ini k rs dgn niat melahirkan dan harus cesar.
Singkat cerita kmd ibu ini dikirim k sy (d rs yg berbeda). Dan stlh CT Scan Abdomen ditemukan :
Yg diduga tumor tsb adalah kedua ginjal yg membesar. Yg satunya karena penyempitan saluran kencing (ureter). Yg sebelah karen ada batu ginjal banyak. Akhirnya stlh diperbaiki kondisinya karena pasien infeksi dan Hb kurang; sy lakukan operasi.
Yg sebelah sy pasang selang dr pinggang langsung k ginjalnya (nefrostomi). En ternyata keluar urine campur nanah (mungkin 90 % nanah) 1 liter lebih.
Yg sebelah sy bedah.. dan keluar tuh batu2 ginjal yg buanyak campur nanah juga tentunya.
Kedua ginjal tentu saja sudah gak bagus.
Karena ginjal melar jadi besar dan dikira tumor tadi.
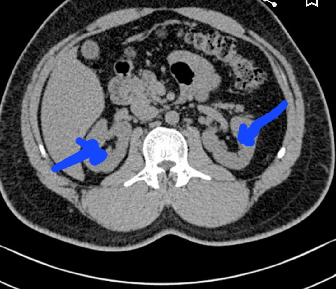
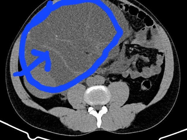
Seperti pd gambar di kiri bawah yg sy lingkari biru adalah ginjal yg bengkak hampir sama kayak kasus ini. (Ini bukan ct scan pasien sy)
Bandingkan dgn gambar kanan. Panah menunjukkan kedua ginjal yg normal (kanan & kiri).
Ginjal yg segede gaban tsb tentu saja fungsinya sudah jauh berkurang. Apalagi ditambah ada nanah lagi d dlmnya. Operasi lancar. Alhamdulillaah. Pasien sadar selama operasi.
Kmd 5 jam pasca op sy ditelpon dr jaga. Dikatakan kondisi pasien memburuk. Kesadaran turun drastis.
Sudah tdk sadar. Sesak. Saturasi turun dan tensi turun. Akhirnya sy datang k rs beserta tim operasi sebelumnya. Singkat cerita stlh kita usaha hingga RJP pasien tdk bs diselamatkan. Beliau meninggal dunia.
Ya tentu saja. Karena kondisi beliau infeksi berat. Habis operasi cesar.
Kmd operasi besar lagi. Kondisi tubuh gak bagus. Sementara selama 9 bulan makanan dibagi antara beliau & janin.
Nah pertanyaannya kok bs?
1. Ginjal yg bengkak dan rusak tdk mungkin tjd dlm waktu singkat. Pasti prosesnya sudah berbulan2. Tanda paling ringan y pegel d pinggang.
Dan perut beliau yg besar mungkin dikira hanya dr kehamilan. Padahal ada juga ginjal yg bengkak. Shg tersamarkan.
Dgn kondisi ada nanah. Kemungkinan besar pasien akan ada keluhan meriang. Yg mungkin bs sj hilang dgn obat penurun panas.
2. Batu dan sumbatan ureter tdk ada kaitan dgn kehamilan. Kemungkinan besar tjd sebelum beliau hamil.
3. Beliau tinggal d daerah sabuk batu. (NTB tmsk daerah sabuk batu. Shg setiap hr pasti ada op batu ginjal di rs sy). So kudu waspada. Karena saat hamil akan gampang dehidrasi.
Namun dibalik kabar sedih ini sebenarnya ada yg membuat gembira.
Beliau wafat masih dlm rangkaian proses melahirkan. Semoga beliau insya Allah syahid. Sebuah akhir hidup yg harus diinginkan oleh setiap muslim. Karena bs masuk surga tanpa pengadilan d akhirat.
Dan yg kedua. Beliau wafat di hari jum'at. Allah akan melindungi beliau dr adzab kubur.
Prosesnya begitu cepat. Saat beliau minta minum k ibunya. Beliau kmd pamit mau tidur. Stlh itu beliau tdk sadar. Dan kmd wafat.
Betapa kita harus iri kpd beliau.
Allahummaghfirlaha warhamha wa'afihi wa'fuanha..
Semoga anak beliau dijadikan anak yg shaleh/shalihah. Aamiin yaa Rabbal 'alamiin.
Akhirul Kalam

Loading suggestions...