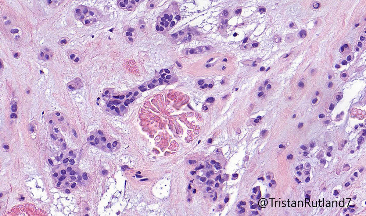
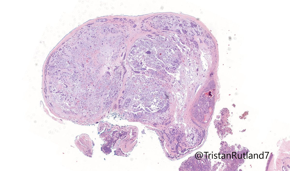
✏️External auditory canal nodule.
❓What type of tumour is this?
➡️For more questions, follow the thread or jump directly to the answer in the below link!
👇👇👇
kikoxp.com
#ENTpath #BSTpath #Dermpath #pathtwitter #pathresidents
❓What type of tumour is this?
➡️For more questions, follow the thread or jump directly to the answer in the below link!
👇👇👇
kikoxp.com
#ENTpath #BSTpath #Dermpath #pathtwitter #pathresidents
What is your favoured diagnosis?
Ceruminous*
Metastatic**
Ceruminous*
Metastatic**
Question.
These tumours are thought to arise from?
sebaceous
These tumours are thought to arise from?
sebaceous
Question:
True or false.
These tumours have the same immunohistochemical profile as there salivary gland counterparts?
True or false.
These tumours have the same immunohistochemical profile as there salivary gland counterparts?
Last question.
These tumours are more likely to affect the ANTERIOR wall of the external auditory canal
These tumours are more likely to affect the ANTERIOR wall of the external auditory canal
Diagnosis and discussion below in link!
kikoxp.com
kikoxp.com
Loading suggestions...