For a more comprehensive and visually pleasing review of this issue, check out our video on the topic that just released: youtu.be
A paper published in one of the top scientific journals, Nature, discussed how the issue is politicized and how people questioning the narrative have effectively been censored. Sound familiar?
nature.com
nature.com
One common argument from the pro-fluoridation crowd is that it's just "a little bit of fluoride" and "the dose makes the poison"
Well, that logic doesn't apply when you understand that fluoride ACCUMULATES in your tissues...
Well, that logic doesn't apply when you understand that fluoride ACCUMULATES in your tissues...
For example, the most recent analysis found that drinking so-called "low" levels of fluoride in the water has resulted in a staggering 70% of children and adolescents having dental fluorosis (pictured), a sign of tissue fluoride overaccumulation.
sciencedirect.com
sciencedirect.com
We can also see that developing children in the womb whose mothers drink fluoridated water ALREADY start accumulating fluoride in their bones and their BRAINS.
osti.gov
osti.gov
Additionally, plasma levels of fluoride in humans exposed to fluoride in drinking water tend to be right in line with the levels induced in animal models. Fluoride has also been found in cerebrospinal fluid in adults…
journals.sagepub.com
ncbi.nlm.nih.gov
journals.sagepub.com
ncbi.nlm.nih.gov
Several studies have shown fluoride to increase TSH, a marker of hypothyroidism, in a dose dependent manner in people exposed to various levels of the toxin. Some papers:
jech.bmj.com
#t0015" target="_blank" rel="noopener" onclick="event.stopPropagation()">sciencedirect.com
jech.bmj.com
#t0015" target="_blank" rel="noopener" onclick="event.stopPropagation()">sciencedirect.com
Many hormones, but especially thyroid hormones, are key in regulating mood and cognition since they govern energy metabolism.
One study showed that fluoride can induce depression in animals, and caused a drop in the energy production in the brain. pubs.acs.org
One study showed that fluoride can induce depression in animals, and caused a drop in the energy production in the brain. pubs.acs.org
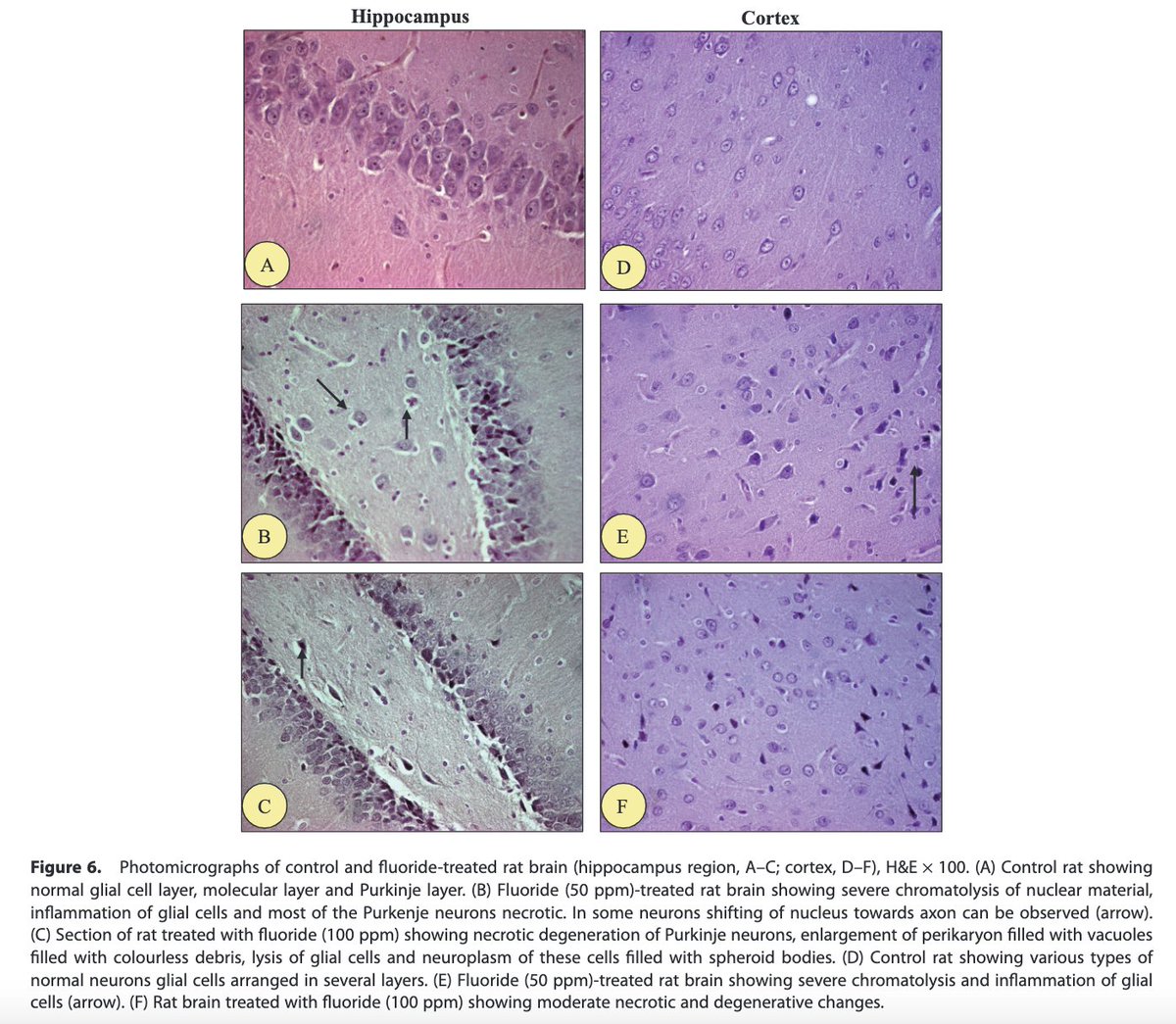
Fluoride also tends to change the amounts of proteins in the brain that are produced. In this study, fluoride administration decreased a protein known as SYP. Mutations in SYP are considered a cause of mental retardation.
sciencedirect.com
ncbi.nlm.nih.gov
sciencedirect.com
ncbi.nlm.nih.gov
Fluoride tends to preferentially accumulate in the pineal gland, and is highly associated with its calcification, a degenerative change which inhibits its function.
researchgate.net
karger.com
researchgate.net
karger.com
The pineal gland’s primary role is to produce melatonin, a highly protective and important compound, from its precursor serotonin. Fluoride exposure is thus associated with sleep disorders and higher serotonin levels.
ncbi.nlm.nih.gov
ncbi.nlm.nih.gov
ncbi.nlm.nih.gov
ncbi.nlm.nih.gov
Serotonin is NOT the happy chemical pharma wants you to think it is, see our video on the topic for more info on that.
youtu.be
youtu.be
It has been proposed that many of fluoride’s neurotoxic effects are mediated by increased serotonin
link.springer.com
ncbi.nlm.nih.gov
link.springer.com
ncbi.nlm.nih.gov
Pineal gland dysfunction and calcification, which can be mediated by fluoride, has been related to several cognitive disorders such as ADHD, Alzheimer’s and Autism.
ncbi.nlm.nih.gov, ncbi.nlm.nih.gov
ncbi.nlm.nih.gov, ncbi.nlm.nih.gov
ncbi.nlm.nih.gov/pmc/articles/P…
Pineal gland dysfunction in Alzheimer’s disease: relationship with the immune-pineal axis, sleep disturbance, and neurogenesis
Alzheimer’s disease (AD) is a globally common neurodegenerative disease, which is accompanied by alt...
ncbi.nlm.nih.gov/pmc/articles/P…
Updated View on the Relation of the Pineal Gland to Autism Spectrum Disorders
Identification of the biological features of autism is essential for designing an efficient treatmen...
One study looked at fluoride concentrations in Scotland in relation to Alzheimer’s disease, and found that those consuming the most had nearly 3 times the risk of developing this kind of dementia! This was a far higher risk than even that of aluminum.
pubmed.ncbi.nlm.nih.gov
pubmed.ncbi.nlm.nih.gov
Scotland doesn’t even fluoridate their water! The fluoride concentration in their water is less than 5% the concentration the WHO recommends for tap water.
“This suggests that there may be no safe levels of these substances when it comes to dementia risk.”
“This suggests that there may be no safe levels of these substances when it comes to dementia risk.”
Fluoride has also been linked to ADHD, a disorder commonly attributed to dopamine insufficiency. In addition to increasing serotonin, fluoride tends to decrease its opposing neurotransmitter, dopamine.
pubmed.ncbi.nlm.nih.gov
pubmed.ncbi.nlm.nih.gov
Animals whose mothers were exposed to fluoride in the womb exhibited hyperactive traits, while animals drinking fluoride after being born were characterized as having cognitive deficits.
pubmed.ncbi.nlm.nih.gov
pubmed.ncbi.nlm.nih.gov
There’s also been human association with fluoride exposure and ADHD prevalence…
ehjournal.biomedcentral.com
ehjournal.biomedcentral.com
Here's another study, in humans, administering fluoride:
“Subjects who received concentrated doses of fluoride appear to suffer from what might be termed tunnel vision, paying more attention to the lights on the left side of their visual field”
pubmed.ncbi.nlm.nih.gov
“Subjects who received concentrated doses of fluoride appear to suffer from what might be termed tunnel vision, paying more attention to the lights on the left side of their visual field”
pubmed.ncbi.nlm.nih.gov
“two chemicals found in municipal waters (sodium fluoride and nitrate) produce reliable changes in sensorimotor performance. It is worth noting that individuals also absorb fluoride when they brush their teeth.” The amounts of fluoride are similar to those in most toothpastes.
Now on to the biggest issue: IQ
One 2012 review pooled together **27** studies, and all of them found decreases in relative IQ, resulting in an overall decrease of just about 7 IQ points for living in a fluoridated area relative to a non-poisoned one.
ncbi.nlm.nih.gov
One 2012 review pooled together **27** studies, and all of them found decreases in relative IQ, resulting in an overall decrease of just about 7 IQ points for living in a fluoridated area relative to a non-poisoned one.
ncbi.nlm.nih.gov
This study has been scrutinized by the mainstream media (for obvious reasons), though their claims have been incorrect…
Since then, at least 15 more studies have looked at the question, and once again, all of them showed a negative association between intelligence metrics and fluoride exposure.
ncbi.nlm.nih.gov
ncbi.nlm.nih.gov
Critics will say that the amount of fluoride in these IQ studies is too high to be relevant. This is blatantly false. The US EPA sets the limit at 4 ppm fluoride, and the WHO 1.5 ppm. It is estimated that over a million Americans’ tap water exceeds the EPA limit.
Another study looked at prenatal exposure to fluoridated water, and the offspring exhibited a dose dependent decrease in IQ score. For every half ppm increase in urinary fluoride concentration, a 2.5 point decrease in IQ was predicted!
ncbi.nlm.nih.gov
ncbi.nlm.nih.gov
Public “health” organizations all recommend adding fluoridated water to infant formula, but even “optimal” levels of fluoride exposure for mothers is associated with a near 10 point drop in pIQ in children if they were fed formula with tap water.
pubmed.ncbi.nlm.nih.gov
pubmed.ncbi.nlm.nih.gov
Several analyses have sought to answer the question of how much fluoride could we have in the water without suffering loss of IQ, with them agreeing that a conservative estimate would put the limit at just above 0.2 ppm. (EPA limit: 4.0 ppm, WHO: 1.5 ppm)
ncbi.nlm.nih.gov
ncbi.nlm.nih.gov
The animal and human epidemiological data is consistent in showing that fluoride has negative effects on various aspects of cognition. This would be sufficient to label other substances (like arsenic and lead) as toxins, but for some mysterious reason fluoride gets glossed over.
Be sure to check out our previous thread and video on why fluoride ended up in the water to begin with.
Loading suggestions...