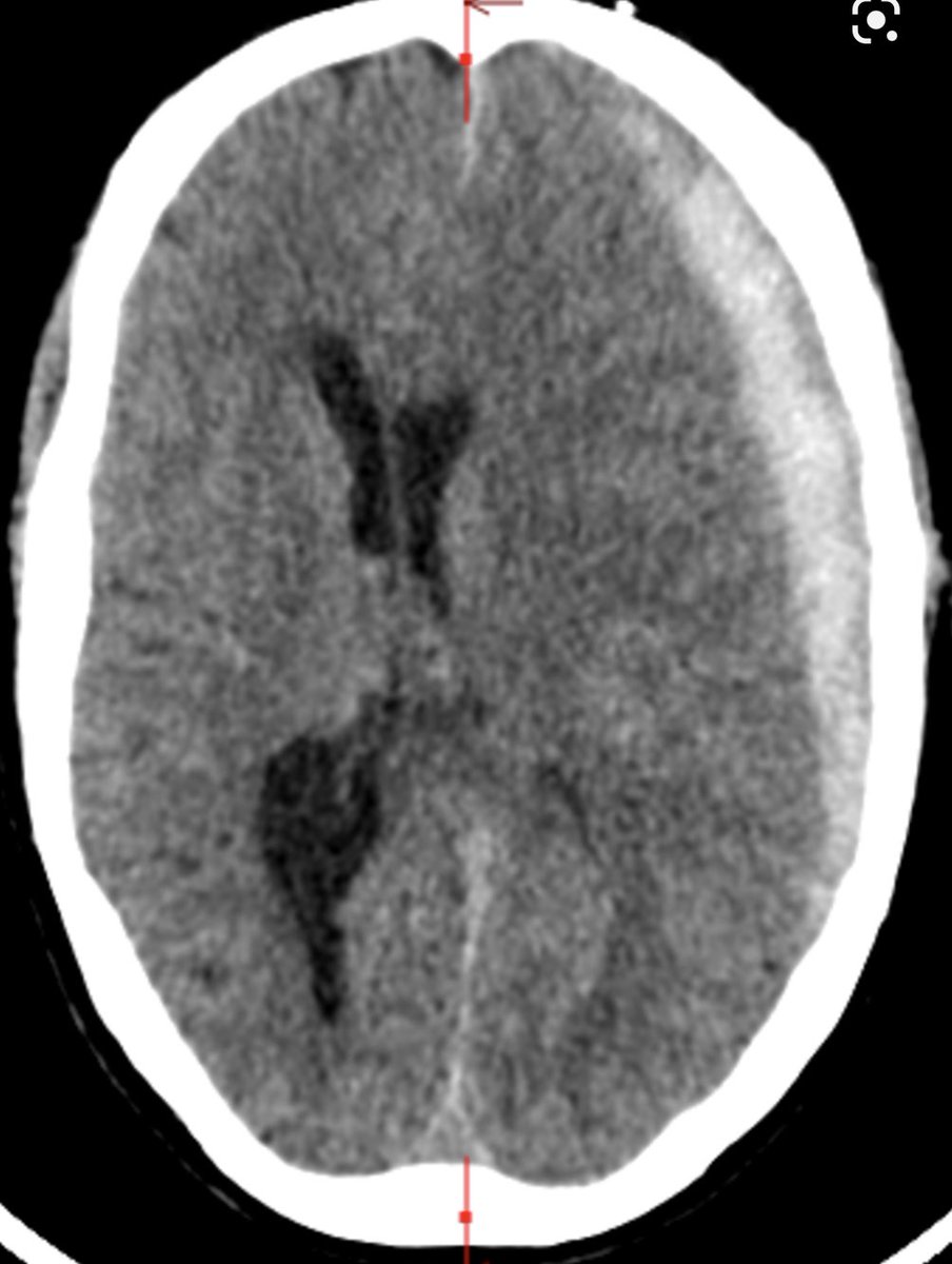
Middle aged person comes in with headache. CT (from cureus.com and for illustrative purpose only) with acute #SDH. GCS 15 and non focal exam. Patient on Xarelto. A 🧵on SDH:
1/
1/
Do you reverse anticoag? Last dose taken was this am.
2/
2/
Let’s start with some basics. Remember that as we age, our 🧠 atrophies and bridging veins dangle and a space is created (pic from: researchgate.net)
4/
4/
A note on anticoagulation: Anexxa-4 (nejm.org ) did not include surgical patients and we await the surgical arm of the trial, so no evidence to show it works. Do you still use it?
5/
5/
Guideline recommendations were made on weak evidence and now more evidence that maybe medical mgmt may not ↩️ outcome: thelancet.com. If you watch it, would you give hyoerosmotics?
6/
6/
In my mind, I only use hyperosmotics as a bridge to surgery, as my worry is that lowering 🧠 mass may lead to further SDH expansion 🤷🏻♂️
7/
7/
If you chose to wait, what about #MMAembo?
8/
8/
So far, the evidence only points to using MMA embo in chronic patients. The dura can become chronically inflamed and hyper vascular after SDH, and hence how an embo may reduce reaccumulation in chronic cases, but curious to see if anyone has used it acutely.
9/
9/
Now let’s say this person has no trauma. What caused it? A review showed cortical artery bleeding, vascular lesions, coagulopathy, neoplasms, spontaneous intracranial hypotension, cocaine, and arachnoid cyst as possible causes. Check vascular imaging! ncbi.nlm.nih.gov
10/
10/
Would this change your management? If so, how?
11/
11/
So let’s recap:
➡️Reverse anticoag
➡️Check vascular imaging if no trauma
➡️Indications for surgery of low quality evidence. 🛑 and 🤔 but if blown 👁 then go!
➡️Watch closely for deterioration if not going to OR
➡️🤔 before hyperosmotics/hyperventilation
12/
➡️Reverse anticoag
➡️Check vascular imaging if no trauma
➡️Indications for surgery of low quality evidence. 🛑 and 🤔 but if blown 👁 then go!
➡️Watch closely for deterioration if not going to OR
➡️🤔 before hyperosmotics/hyperventilation
12/
@christianacare @NeuroChristiana currently enrolling patients in a registry to assess outcomes @sudhakar_satti. More info coming!
13/
13/
Loading suggestions...