6 Tweets 44 reads Aug 23, 2022
Features of Normal Pressure Hydrocephalus:
1/🧵
Evans Index >0.3 (x/y)
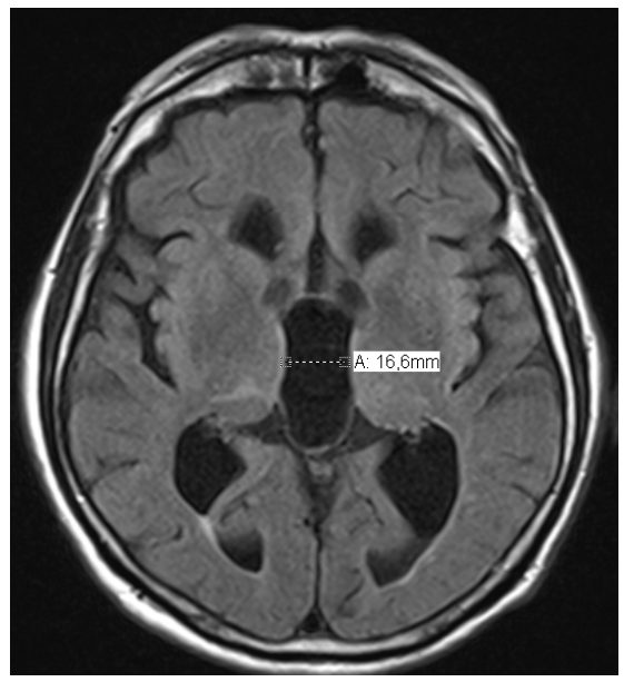
2/🧵
Callosal angle <90°
3/🧵
DESH ( disproportionately enlarged subarachnoid space hydrocephalus): Flattening of the cortical sulci in high convexity with widening of the sylvian fissure and ventricular dilation.
4/🧵
Dilatation of the third ventricle
5/🧵
Bulps in lateral ventricles
Sources:
1.- Arq Neuropsiquiatr. 2022 May;80(5 Suppl 1):42-52. doi: 10.1590/0004-282X-ANP-2022-S118.
2.- AJNR Am J Neuroradiol. 2016 Oct;37(10):1831-1837. doi: 10.3174/ajnr.A4838.
3.- AJNR Am J Neuroradiol. 2014 Dec;35(12):2311-8. doi: 10.3174/ajnr.A4046.

Loading suggestions...