18 Tweets 14 reads Sep 02, 2022
Thread alert 🚨🚨🚨 - Medial knee pain!
What else should we be considering beyond OA & MCL sprains?
Here are some differentials to consider & their clinical presentation 🧐
1. Saphenous Nerve irritation
Direct impact, post surgery (eg scope / TKR)
Dislikes knee flexion, garment compression
Diffuse neuropathic Sx, P&N - medial knee, infrapatella, lower leg
🧐
+ive Tinels at Hunters canal
No motor loss, purely sensory
💉
SN block can diag & Rx
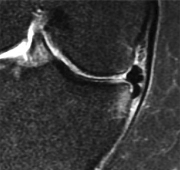
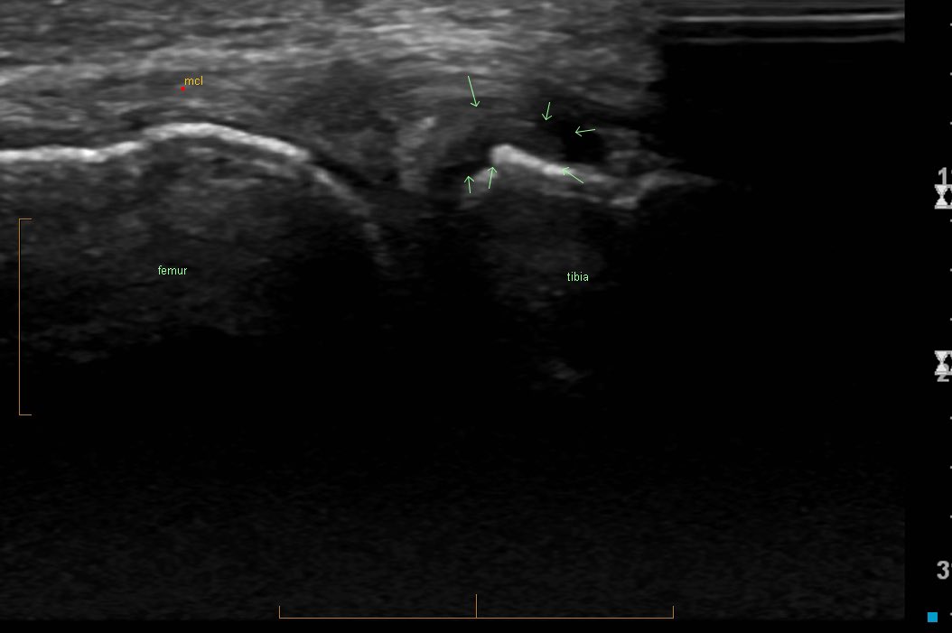
2. Meniscocapsular synovitis
Often seen in association with a meniscal tear or extrusion meniscopathy
If degenerate tear, incipient injury maybe unclear- sometimes just 🔼activity / load
"I need a pillow between my legs at night"
US- astericks = inflammation; PD hyperaemia
🧐
Focal joint line tenderness ++ is key
Effusion, cluster of meniscal tests variably +ive
External US guided CSi at meniscocapsular interface can be effective alongside 'standard' intra-articular injection ("inside & out")
3. Gutter fragment
A torn meniscal fragment can displace & sit in the medial gutter, causing stubborn joint line pain
Similar clinical pattern to 2.
Focal tibial lip bone oedema on MRI is the give away
Consider arthroscopy - chondral erosion can occur otherwise
4. Parameniscal cyst
Hx of meniscal injury; tender swelling that fluctuates in size ('barometer of joint mood'!)
Pain on lock out into extension (sometimes 'block' sensation)
Lump size may ⬆️⬇️ palpating on passive ROM
Can aspirate, but often recur - ? scope / open resection
5. Pelligrini-Stieda lesion
Hx of MCL tear - pt returns to play, then weeks / months later develops pain eg on change of direction, striking ball side foot
Calcification in prox ligament
Pain on valgus stress, focally tender at MCL origin
💉Shockwave therapy, barbotage & CS
6. Deep MCL insufficiency
Oft overlooked cause of chronic medial knee Sx after MCL trauma
Deep fibres check rotational forces
Pain or 'instability' on forceful side foot kick, getting 'around the ball', twisting
⬆️ rotation on anteromedial drawer test, ? valgus laxity
7. Pes anserine tendinitis / bursitis
Often symmetrical & pathobiomechanical
Change in bike set up / cleat; footwear; gym technique, fixed resistance equipment
🧐
Tender, puffiness along anteromedial tibia at pes
Pain on med ham & adductor resisted tests (+ rotational bias)
8. Subchondral insufficiency fracture (ex SONK!)
Older demographic, poor bone health risk factors, meds
? Hx of trivial injury eg step off steep kerb, turnstile
Typical to have meniscal tear associated
Effusion, deep bony pain on WB / impact
9. Osteochondritis dessicans
Adolescent condition (AVN/ inflammatory?) - most common medial femoral condyle
Hx of injury not typical, can be bilateral
Risk of serious chondral defect if injury not respected- realistic time frames & graded RTP
Swelling, catching, popping
10. Kids - hip joint referral
ALWAYS sceen an adolescents hip (quick FADDIR) if they have knee pain 👃
Refers medially usually
eg Perthes (5-10), SUFE (10+)
11. Radicular
L3 and L4 femoral nerve root pain can refer into medial thigh & knee
? high lumbar disc herniation (rare)
Be mindful that dermatomal pain patterns are extremely variable
tomjesson.substack.com
12. Red flag
Distal femoral & proximal tibial medial metaphyses are common sites for primary bone tumours
Unwell, weight loss
Night pain, unrelenting / progressive
relief with NSAIDs
Sx independent of sport & activity

Loading suggestions...