Zaven Sargsyan
Zaven Sargsyan

@sargsyanz

19 Tweets 4 reads Jan 17, 2023
Making a thread of some POCUS gifs from @thepocusatlas
Will be referring to these during a basic POCUS workshop where learners practice scans on normal volunteers.
Non-scanning learners can pull up and show some abnormal examples in parallel with live demo of normal findings
00 - Normal parasternal long-axis (PLAX) view
01 - LV dysfunction in PLAX
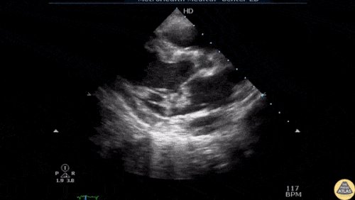
02 - RV dysfunction in PLAX
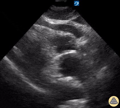
03 - Tamponade in PLAX
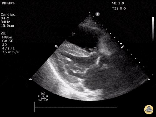
04 - Mitral valve vegetation seen in PLAX
05 - Descending aortic dissection seen in PLAX
06 - A-lines in lung, normal
07 - Normal pleural / lung sliding
08 - Pneumothorax (lack of pleural sliding)
09 - Pneumothorax with lung point
10 - B-lines
11 - Pleural effusion, likely parapneumonic
12 - Lung consolidation
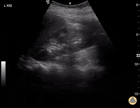
13 - Normal kidney
14 - Moderate hydronephrosis
15 - Distended bladder
16 - Ascites
All images above from thepocusatlas.com , an amazing resource.
Individual image attributions as below.
No modifications made.

Loading suggestions...