Priya John🇮🇳
Priya John🇮🇳

@drpriyajohn

27 Tweets 3 reads Sep 26, 2022
Hello #NephTwitter #Renal #MedTwitter @aspneph radiology webinar for august was Autosomal Recessive Polycystic Kidney Disease (#ARPKD). Let's get started
#PedNeph #Transplant
2/ Clinical Presentation of ARPKD follows ‘ONE-THIRD RULE’
📌1/3 of the patients present during the first year of life,
📌1/3 present between 1 and 20 years of age, and
📌the rest 1/3 after 20.
📌The incidence of ARPKD is 1 in 20000 live births.
pubmed.ncbi.nlm.nih.gov
3/ ARPKD is an inherited hepatorenal disorder characterised by
♦️Cystic dilations of the renal collecting ducts &
♦️Congenital hepatic fibrosis due to developmental defects in ductal plates of the hepatobiliary system.
4/ Let’s talk genetics!
Which of the following is true about genes in ARPKD
5/ The ans is a.
♦️ARPKD is predominantly caused by mutations in PKHD1 located on chromosome 6p21 & DZIP1L genes (less common), which encodes fibrocystin and DAZ interacting protein 1 respectively.
♦️PKHD1-localized to the basal body of the cilia.DZIP1L- localizes to centriole.
6/ Prenatal imaging of ARPKD on ultrasound shows
🔷Bilateral enlarged kidneys with loss of corticomedullary differentiation,
🔷Subcortical hypo echoic rim with predominantly medullary cysts- “Snow Storm” appearance.
🔷Oligohydramnios and absence of urine in the bladder.
7/ In neonates, ARPKD presents with respiratory failure and kidney impairment.
🔷Respiratory failure - pulmonary hypoplasia (Potter Sequence) &/ or impaired excursion of diaphragm due to enlarged kidneys.
🔷HTN& ⬆️creatinine at birth -🚩possibility of severe renal impairment.
8/ Children who survive the neonatal period progress to infancy and childhood with-
📌some PLATEAU IN RENAL FUNCTION owing to the golden period of renal maturation in the first few years of life followed by
📌A steady decline in renal function later.
PMID: 25113295
9/ 📌 Biliary dysgenesis, congenital hepatic fibrosis, dilatation of the intrahepatic bile ducts (Caroli disease), portal hypertension, and cholangitis are prominent hepatobiliary presentations in children with ARPKD during adulthood.PMID: 24114580
10/ Specific diagnostic criteria of ARPKD are defined by
Zerres at al
11/ Imaging by Ultrasound is usually diagnostic of ARPKD.
📌Ultrasound shows enlarged kidneys with multiple tiny cysts of diameter < 3mm.
📌High-resolution ultrasonography shows medullary ductal dilations where medullary cysts are predominantly present.
PMID 20413436
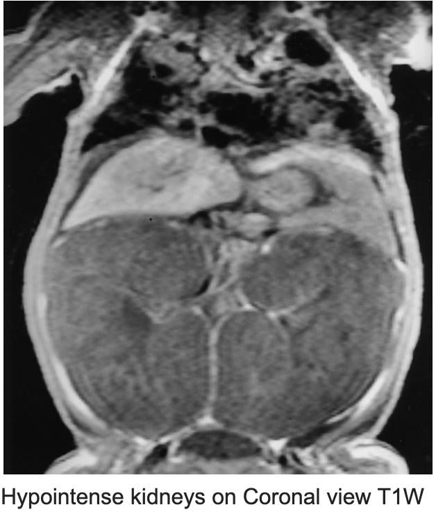
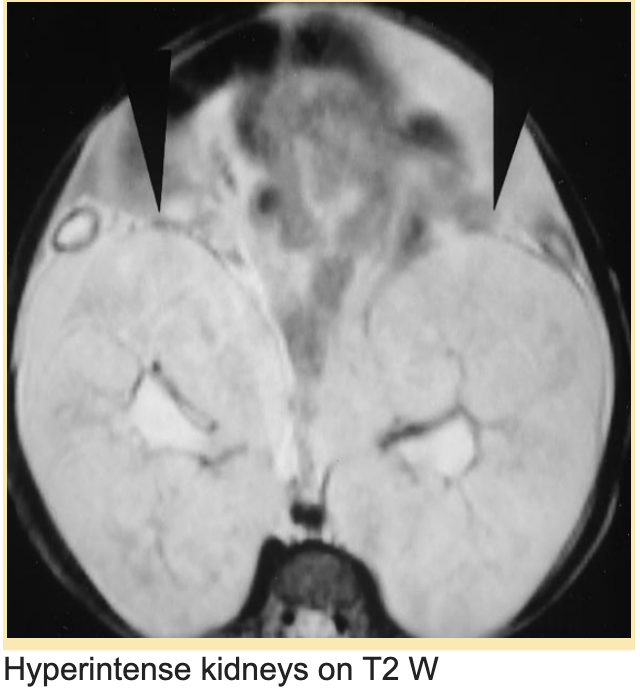
12/ In cases with ambiguous findings on ultrasound, MRI confirms the diagnosis.
🔶Hyperintense enlarged kidneys on T2W
🔶RARE-MRI (rapid acquisition with relaxation enhancement)- microcystic dilatation & hyperintense, linear radial pattern in the cortex & medulla.
PMID 10755752
13/ Histopathology of ARPKD shows collecting tubules dilation with cysts and flattened epithelium
14/ Genetic testing is not routinely done in ARPKD.
📌Indications include-
🔷Uncertain clinical diagnosis
🔷Preimplantation testing in parents who previously had a baby with ARPKD
🔷To identify the carriers in the family to facilitate genetic counseling.
15/ Indications and genetic testing methods are listed in the following infographic.
If you would like to know more about genetic testing and kidney disease, here is an excellent tweetorial by @swastithinks
16/ Management of ARPKD needs multidisciplinary approach more so during perinatal and neonatal period. The following infographic summarizes management of ARPKD according to the time of presentation
17/ What of the following is false regarding genetic counseling in ARPKD
18/ Yes, the correct ans is a.
🚩There is a 25% risk of inheriting both pathogenic variants & being affected
🚩50% risk of inheriting a pathogenic variant but a carrier
🚩25% chance of inheriting neither a pathogenic variant nor being a carrier.
Gene reviews Sweeney et al
19/ Long-term outcomes of ARPKD children who survive the first month of life have >80% chance of survival beyond 15 years.
📌 In a study of 164 children with ARPKD-renal survival was 85% at 5 yrs,70% at 10 yrs & 40% at 20 yrs.
📌HTN & ⬇️ liver function in future
PMID 15698423
20/ Which of the following is true with respect to peritoneal dialysis in ARPKD
21/ The answer is c.
📌IPPN( International Pediatric Peritoneal Dialysis Network ) studied 79 children on PD with ARPKD , congenital nephrotic syndrome(CNS) and CAKUT.
📌Survival in ARPKD 78% and CNS 73% was comparable and higher in CAKUT 95%.
22/ Overall PD is well tolerated in ARPKD with minor adaptations. A higher UF with lower glucose concentration was observed, likely due to portal HTN.
PMID: 31983502
23/ Big question- When Is nephrectomy advised in ARPKD-ARegPKD study with- comparing children with very early bilateral nephrectomies (<3 mo) (VEBNE) with nephrectomies done (4-15 mo) ;controls- children with very early dialysis (<3mo) without nephrectomy & those with ⬆️ TKV.
24/ Children with VEBNE developed neurological complications and severe hypotensive episodes compared to other study groups.
PMID: 32994492
25/ For further information on expert opinion for the diagnosis and management of ARPKD refer to PMID: 25015577
For a case-based clinical discussion on #ARPKD with an expert - login to @ASPNeph website, Aug 2022 webinar #Membereducation
Special thanks to #ASPNFOAM group @nefron1310 @SwastiThinks @drM_Sudha

Loading suggestions...