Dr Khaled Ahmed Abuzeid
Dr Khaled Ahmed Abuzeid

@khaledzeid

4 Tweets 37 reads Apr 10, 2023
Hypersensitivity pneumonitis HP is not uncommon even if absent exposure history. Newly classified into non fibrotic and fibrotic by ATS/JRS/ALAT 2020. Each subclassified into typical and compatible. Indeterminate for HP confined for fibrotic type.
HRCT plays important role in diagnosis of HP and surgical biopsy could be avoided in management. Proper interpretation requires familiarity of HP features according to the new classification, typical or compatible or indeterminate for HP
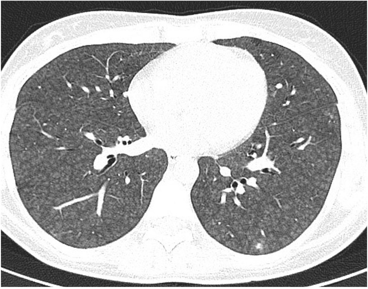
Typical HP either fibrotic or not has 2 presentations. Profuse centrilobular nodules of ground glass density and three density sign (formerly headcheese sign) with bilateral lobular air trapping in 3 lobes at least, in case of absent features suggesting alternative diagnosis
Full description of the new classification of HP in video lecture
youtu.be

Loading suggestions...