22 Tweets 1 reads Dec 26, 2022
Chromosomes:
Here we will look at the concepts of Chromosomes.
1. The human genome is over 3 billion bases long in the DNA. This would be an unbelievably long strand of stranded DNA. The human genome is broken up into 23 chromosomes. Each chromosome contains specific parts of the overall genetic information.
2/ The first chromosomes are the largest and contain the most genes. As we go through the chromosomes, they get smaller and smaller except the last one. The first 22 are called the autosomes. They contain the exact same genes on each of these chromosomes.
3/ The last chromosome is called the sex chromosome and it determines the sex of the child. Each person gets a set of all 23 chromosomes from their mom and another 23 chromosomes from their dad for a set of 23 in total.
4/ If the 23rd chromosomes are both an X chromosome, the child is female. If there is an X and a Y chromosome for this set, the child will be male. The very last set of chromosomes actually determines sex in human genetics. This is because the Y chromosome carries those genes.
5/ The term ploidy is used in genetics to represent how many copies of each chromosome each species has. If a cell has only 1 copy of each like our germline cells, that is haploid. Often shown as (N).
6/ If a cell has 2 copies of each chromosome like our somatic cells its called diploid (2N). Some species have more chromosomes. The strawberry is octoploid with 8 copies of each chromosome.
7/ The understanding of the chromosomes and their structure is important in human disease. There can be chromosomal defects that can occur in the shape or even number of chromosomes.
8/ When cells end up with a wrong number in a specific chromosome, we call that aneuploidy. The typical cell gets 2 copies of each chromosome in humans. The term Monosomy means each cell only gets a single copy of a specific chromosome.
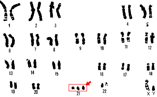
9/ Tuner Syndrome is an example of a monosomy disorder where the person gets only 1 copy of the X chromosome. Trisomy occurs when a person gets 3 copies of a specific chromosome.
10/ There are a few disorders that stem from a trisomy of a specific chromosome. The most commonly known is Trisomy 21 which leads to Down Syndrome. The number of chromosomes can change in specific cells during cancer genomic instability.
11/ Cancer can also lead to rearrangements of the chromosomes. These are called translocations. It occurs when a part of 1 or more chromosomes is cut off an placed on another chromosome. These can be reciprocal or nonreciprocal translocations.
12/ One of the most famous translocations in cancer is called the Philadelphia Chromosome. Its a reciprocal translocation where part of the 9 and 22 chromosome swap a section of their DNA.
13/ The next concept for chromosomes is the location of their Centromere. The centromere is a key part of the chromosome that plays a role in binding proteins to segregate the chromosomes during cell replication.
14/ There are 4 types of centromeres and they are named by their location in the chromosome. If the centromere is right in the center, its called metacentric. If its slightly off center, it is called sub metacentric.
15/ If the centromere is closer to the end of the chromosome, then its acrocentric. If its at the very end of the centromere, then its telocentric. There are no natural telocentric human chromosomes.
16/ You sometimes hear the term that a gene is located on the short or long arm of the chromosome. this refers to the smaller part of an acrocentric chromosome. The long arm would be the longer part of the acrocentric chromosome.
17/ The last part of the chromosome is the Telomere. This is the cap on the ends of each chromosome. It plays a key role in cell division. The telomere is there to protect the ends of the DNA strands.
18/ Each time a cell copies its DNA for mitosis, the telomere gets a little shorter. This is called the Hayflick limit and averages 40 to 60 times a cell can go through mitosis before it hits this limit.
18/ Once any cell hits this limit it goes into senescence which it will no longer divide which plays a role in many age related disorders. Stem cells express the gene for an enzyme that is called telomerase.
19/ The telomerase enzyme extends the telomere each time the cell divides making stem cells immortal. This leads to one of the hallmarks of cancer. Cancer cells turn on the gene for telomerase enzyme allowing them to become immortal.
20/ Next we will begin to look at more advanced concepts of molecular genetics with Polymerases, DNA synthesis and Transcription.

Loading suggestions...