DR JAGADISH J HIREMATH
DR JAGADISH J HIREMATH

@Kaalateetham

12 Tweets 14 reads Dec 03, 2022
An elderly lady closely related to me had severe osteoporosis of knees.
We did TKR for both her knees. She went back home in 4 days. Came back for follow up in a week completely able to walk by herself & also climbing stairs with some support.
We thought all is well
However, that was not the end of story.
She was brought back to hospital with severe pain in her right leg after she fell down trying to get up by herself from a chair without assistance. She had undone herself due to her enthusiasm.
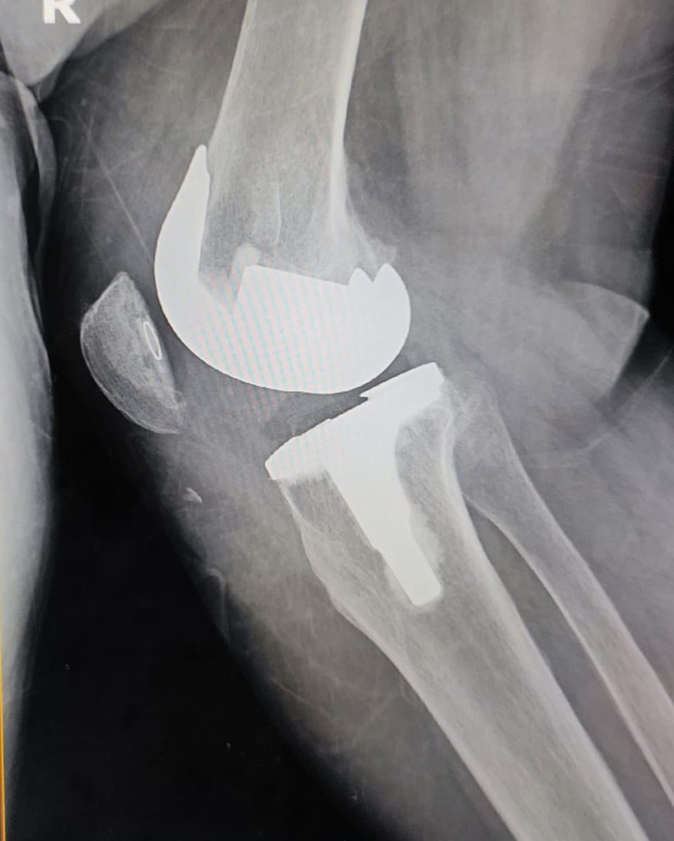
Her X Ray showed fracture inches above TKR
She was in great distress & we wheeled her in for emergency surgery.
Our Joint Replacement Surgeon & Trauma Surgeon got together to plan + execute her surgery & recovery from here.
They finally decided to use β€œless invasive variable locking plate” from Synthes for her.
Normally I am interested in knowing more about this kind of stuff so I started looking into it, trying to analyse how it is different from other implants.
These implants are of highest quality & pure physics in mechanism.
Surgeon can vary angle of entry for better results.
The end result was marvellous, with small 3 inch incision & few punctures to pass screws on proximal end of implant
This & a lot like this was unthinkable just few years ago
However, this was post op day one & we knew she had a long way for complete recovery & rehabilitation
Good surgery was just the beginning, she was put on long term physiotherapy.
We have a great team led by Rajesh. The team has given amazing results to our patients & continues to surprise us regularly with unbelievable outcomes.
Rehab of TKR patient with fracture is complex.
While we ask our TKR patients to walk & use stationary cycle, she was advised not to bear weight in the fractured limb.
And yet, the rehab team had to achieve complete range of movements in both the fractured & non fractured limb with Replaced joints.
This was by itself tough
She achieved 90 degree & a bit more flexion in the fractured leg while the other knee achieved full range of mobility.
She was put on parathormone injections for achieving better bone density & combat her osteoporosis. She started recovering well.
In fifty days this was the status. We allowed partial weight bearing but told her not to move around a lot.
Baby steps but good recovery in progress, she achieved near normal mobility of her knee joints.
Partial weight bearing & mobility helped her to start feeling independent
Exactly 80 days after her fracture & fixation we took another X Ray.
It showed good recovery, increasing bone density & some micro trabecular patterns.
We allowed full weight bearing & reiterated again to go slow no hurry.
I saw her again yesterday.
She is in great shape. Happy in life as she is going to be a great grandmother soon
Recovery & Rehabilitation from an injury like this in 8th decade is not easy!
People like her inspire us at AASRA
Her never give up attitude & work ethic is superb
I personally want to thank my team at AASRA for delivering when it mattered to her, me & our family.
Remember, she is closely related to me.
I want to thank her for never complaining & for being happy + patient through this difficult time.
Loads of gratitude πŸ™

Loading suggestions...