๐๐๐ถ๐ผ๐น๐ผ๐ด๐ of Huntington's:
โ Autosomal dominant
โ ๐๐๐ trinucleotide repeat expansion in huntingtin (HTT) gene, chromosome 4
โ expression of altered huntingtin protein (CNS)
โ avg onset is ~40 yrs of age
What are trinucleotide repeats? โคต๏ธ
youtube.com
โ Autosomal dominant
โ ๐๐๐ trinucleotide repeat expansion in huntingtin (HTT) gene, chromosome 4
โ expression of altered huntingtin protein (CNS)
โ avg onset is ~40 yrs of age
What are trinucleotide repeats? โคต๏ธ
youtube.com
๐๐ป๐๐ถ๐ฐ๐ถ๐ฝ๐ฎ๐๐ถ๐ผ๐ป is seen in Huntington's disease:
โ ๐๐๐ repeats in subsequent generations
โ severity of disease and/or earlier onset of disease as Huntington's is passed from one generation to the next
โ ๐๐๐ repeats in subsequent generations
โ severity of disease and/or earlier onset of disease as Huntington's is passed from one generation to the next
๐ฃ๐ฎ๐๐ต๐ผ๐ฝ๐ต๐๐๐ถ๐ผ๐น๐ผ๐ด๐ of Huntington's:
โ neuron loss in the striatum (caudate, putamen, nucleus accumbens)
โ striatum normally functions to regulate movement through the globus pallidus (direct & indirect pathways)
A review of these pathways:
youtube.com
โ neuron loss in the striatum (caudate, putamen, nucleus accumbens)
โ striatum normally functions to regulate movement through the globus pallidus (direct & indirect pathways)
A review of these pathways:
youtube.com
๐ฃ๐ฎ๐๐ต๐ผ๐ฝ๐ต๐๐๐ถ๐ผ๐น๐ผ๐ด๐ (cont):
Indirect pathway is affected in early stages:
โ normally inhibitory
โ โ inhibition = โ cortical activation = hyperkinetic movements
Both pathways affected in later stages:
โ combined โ cortical activation = hypokinetic movements
Indirect pathway is affected in early stages:
โ normally inhibitory
โ โ inhibition = โ cortical activation = hyperkinetic movements
Both pathways affected in later stages:
โ combined โ cortical activation = hypokinetic movements
๐ฃ๐ฎ๐๐ต๐ผ๐ฝ๐ต๐๐๐ถ๐ผ๐น๐ผ๐ด๐ (cont):
It is hypothesized that excess glutamate โ excitotoxicity โ over-activation of N-methyl-D-aspartate (NMDA) receptors โ neuronal death
Resulting neurotransmitter changes:
โ GABA
โ ACh
โ Dopamine
It is hypothesized that excess glutamate โ excitotoxicity โ over-activation of N-methyl-D-aspartate (NMDA) receptors โ neuronal death
Resulting neurotransmitter changes:
โ GABA
โ ACh
โ Dopamine
๐๐น๐ถ๐ป๐ถ๐ฐ๐ฎ๐น ๐ฆ๐๐บ๐ฝ๐๐ผ๐บ๐ of Huntington's:
Early stages:
โ choreiform movements
โ athetosis
โ hyperreflexia
Later stages:
โ hypokinesia: dystonia, bradykinesia, rigidity
โ dysarthria, dysphagia
โ psychiatric: dementia, depression, psychosis, aggression, paranoia
Early stages:
โ choreiform movements
โ athetosis
โ hyperreflexia
Later stages:
โ hypokinesia: dystonia, bradykinesia, rigidity
โ dysarthria, dysphagia
โ psychiatric: dementia, depression, psychosis, aggression, paranoia
๐๐ต๐ผ๐ฟ๐ฒ๐ฎ: brief, involuntary, non-repetitive & arrhythmic 'dance-like' movements of the limbs, head, and/or face.
An example of Huntington's chorea:
youtube.com
An example of Huntington's chorea:
youtube.com
๐๐๐ต๐ฒ๐๐ผ๐๐ถ๐: slow, involuntary, writhing movements, often of the fingers, hands, toes & feet
An example of athetosis:
youtube.com
An example of athetosis:
youtube.com
๐๐ถ๐ฎ๐ด๐ป๐ผ๐๐๐ถ๐ฐ๐:
โ patient history & presenting symptoms
โ confirm clinical diagnosis w/ genetic testing
๐ง๐ฟ๐ฒ๐ฎ๐บ๐ฒ๐ป๐๐:
โ only symptomatic treatments: SSRIs (depression), atypical antipsychotics (psychosis), VMAT2 inhibitors (chorea)
โ PT, OT
โ palliative care
โ patient history & presenting symptoms
โ confirm clinical diagnosis w/ genetic testing
๐ง๐ฟ๐ฒ๐ฎ๐บ๐ฒ๐ป๐๐:
โ only symptomatic treatments: SSRIs (depression), atypical antipsychotics (psychosis), VMAT2 inhibitors (chorea)
โ PT, OT
โ palliative care
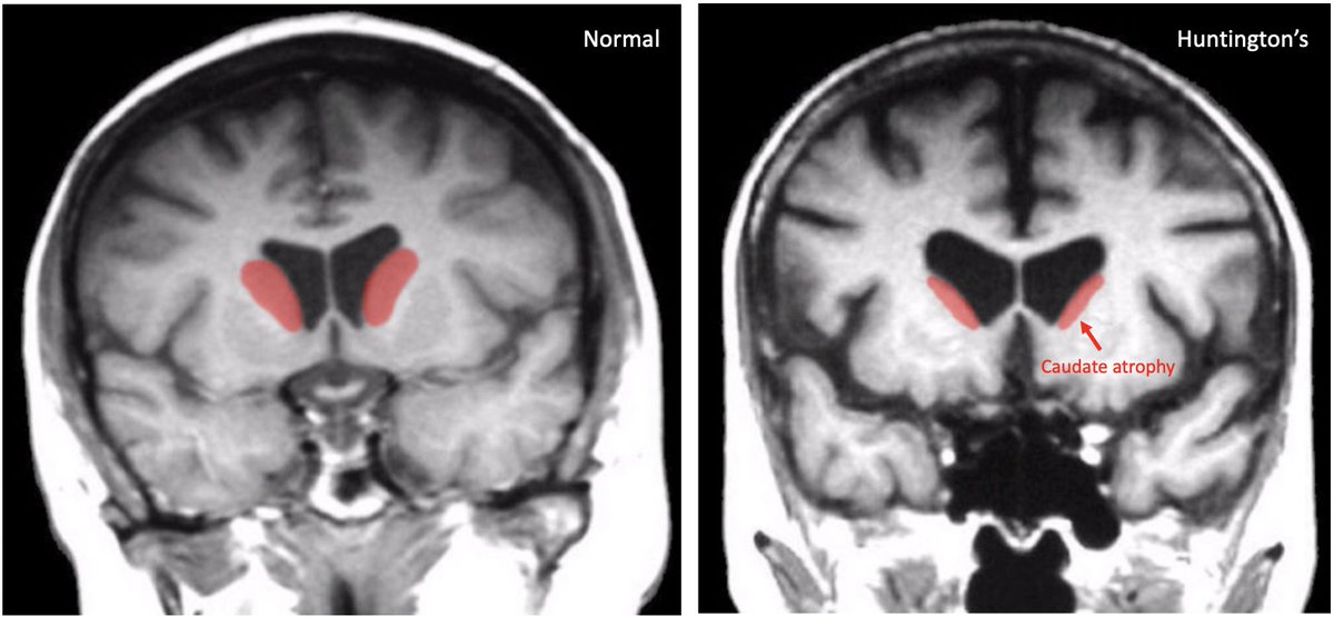
๐ฅ๐ฎ๐ฑ๐ถ๐ผ๐น๐ผ๐ด๐ of Huntington's:
โ not typically used for diagnosis
โ striatal atrophy may be evident on MRI years prior to clinically diagnosable HD
๐๐ง/๐ ๐ฅ๐: caudate atrophy & enlarged frontal horns of lateral ventricles
๐ฃ๐๐ง: hypometabolism in basal ganglia
โ not typically used for diagnosis
โ striatal atrophy may be evident on MRI years prior to clinically diagnosable HD
๐๐ง/๐ ๐ฅ๐: caudate atrophy & enlarged frontal horns of lateral ventricles
๐ฃ๐๐ง: hypometabolism in basal ganglia
๐ ๐ป๐ฒ๐บ๐ผ๐ป๐ถ๐ฐ:
In Huntington's disease, the ๐๐udate is ๐one (๐๐๐ trinucleotide repeats)
In Huntington's disease, the ๐๐udate is ๐one (๐๐๐ trinucleotide repeats)
If you like podcasts, this is an incredible episode about a patient with Huntington's disease:
thisamericanlife.org
thisamericanlife.org
That's all. Thanks for reading!
This is the second thread in my Step 1 review series. If you liked this, feel free to follow for more (but you will have to tolerate my memes).
All sources for images in alt text.
For more on Huntington's disease:
onlinelibrary.wiley.com
This is the second thread in my Step 1 review series. If you liked this, feel free to follow for more (but you will have to tolerate my memes).
All sources for images in alt text.
For more on Huntington's disease:
onlinelibrary.wiley.com
Loading suggestions...