8 Tweets 28 reads Jan 16, 2023
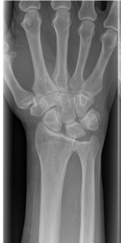
Fall onto an outstretched hand
A gap there...
What is the sign?
Gaptooth sign in scapho-lunate ligament rupture
Also called Terry-Thomas sign
Terry-Thomas sign
an increase in the scapholunate space on an AP radiograph of the wrist (or coronal CT)
πŸ‘‰ increased distance indicates scapholunate dissociation (often with rotary subluxation of the scaphoid) due to ligamentous injury
There is no consensus as to what measurement constitutes widening, but a cut-off of 3 or 4 mm is reasonable in most cases
The American orthopedic surgeon Victor H FrankelI named this sign after the well-known British comic Terry-Thomas (1911-1990)
πŸ‘‰ who had a frontal dental diastema (a visible gap between his two maxillary central incisors)
Terry-Thomas gave permission for his name to be used.
The comedian added the hyphen between his two names as he disliked being called Mr. Thomas, and it was more distinctive
In more modern times, the monikers David Letterman or Madonna have also been used for the sign, not least because many younger clinicians have never heard of Terry-Thomas.

Loading suggestions...