7 Tweets 38 reads Jan 24, 2023
Optimising your echo windows:
Do you stop when you get something vaguely like what you think it should look like? Or do you try and find something better every time?
I’m forever telling my trainees “have you tried a rib space lower?” In apical 4 chamber.
Here’s why: 🧵
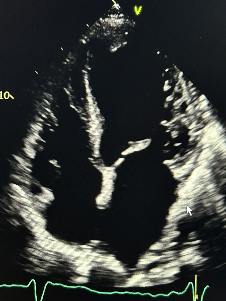
What do you think of this apical 4 chamber view? Doesn’t look terribly foreshortened. Would you both seeing if there’s anything better?
What about now you see it moving? Still confident you’re not foreshortened?
I agree there’s good endocardial definition and perhaps volumetric assessment won’t be too challenging here.
So why would I ask my trainee “have you tried a rib space lower?” Am I just being annoying?!
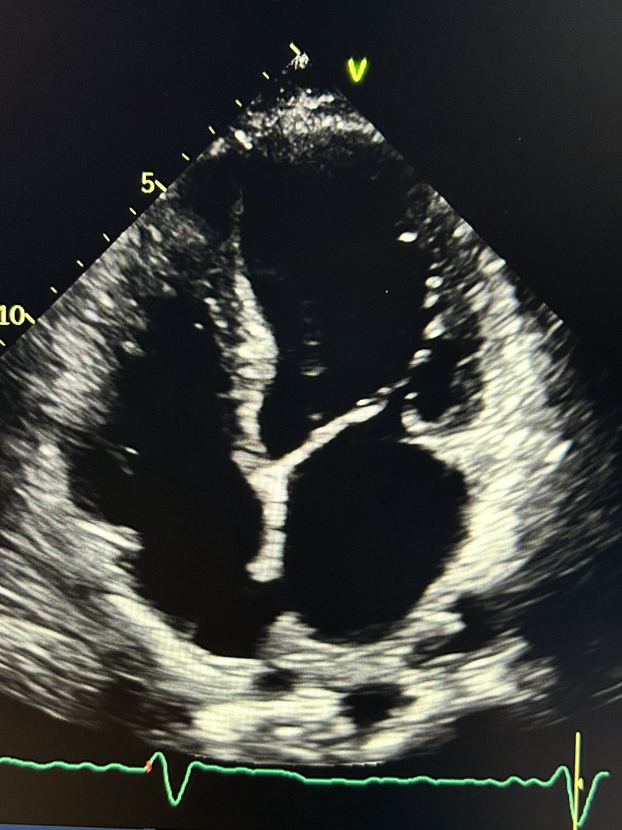
Well here is a rib space lower - from the still image you can already appreciate that the LV is more elongated. So now the previous image definitely looks foreshortened compared to this window… what about it moving?
Now in the one clip you appreciate the septum and apex are thinned and akinetic. Great environment for thrombus to hang out … oh what’s that flicking towards the apex?!
We would have missed that from the first foreshortened window wouldn’t we?
Ok, so let’s investigate.
Drop the depth, increase the frame rate, minor tilt … and what do you know?
A thrombus!
So the moral of this story is:
“have you tried a rib space lower?”
Don’t accept your very first window. Experience has taught me that there’s always better if you’re prepared to work for it.
Who knows what you’ll miss if you don’t!!

Loading suggestions...