Cirrhosis is REVERSIBLE.
Don't let anyone, including doctors, tell you otherwise.
Don't let anyone, including doctors, tell you otherwise.
Alcohol related cirrhosis
Abstaining from alcohol reverses even severe liver disease in patients with alcohol cirrhosis
pubmed.ncbi.nlm.nih.gov
Abstaining from alcohol reverses even severe liver disease in patients with alcohol cirrhosis
pubmed.ncbi.nlm.nih.gov
Hepatitis C related chronic liver disease
Early and advanced fibrosis reversed and cirrhosis reversed with anti viral treatment
pubmed.ncbi.nlm.nih.gov
pubmed.ncbi.nlm.nih.gov
Early and advanced fibrosis reversed and cirrhosis reversed with anti viral treatment
pubmed.ncbi.nlm.nih.gov
pubmed.ncbi.nlm.nih.gov
Hepatitis B virus and cirrhosis
Cirrhosis due to hepatitis B virus infection reverses with anti viral therapy. After longer treatment, patients were deemed NOT to be cirrhotic!
pubmed.ncbi.nlm.nih.gov
pubmed.ncbi.nlm.nih.gov
Cirrhosis due to hepatitis B virus infection reverses with anti viral therapy. After longer treatment, patients were deemed NOT to be cirrhotic!
pubmed.ncbi.nlm.nih.gov
pubmed.ncbi.nlm.nih.gov
Non alcoholic fatty liver * cirrhosis
Min 10% weight loss from baseline reverses liver scarring in NAFLD
In stable cirrhosis, bariatric surgery can reverse chronic liver damage, completely reverse fibrosis
pubmed.ncbi.nlm.nih.gov
pubmed.ncbi.nlm.nih.gov
pubmed.ncbi.nlm.nih.gov
Min 10% weight loss from baseline reverses liver scarring in NAFLD
In stable cirrhosis, bariatric surgery can reverse chronic liver damage, completely reverse fibrosis
pubmed.ncbi.nlm.nih.gov
pubmed.ncbi.nlm.nih.gov
pubmed.ncbi.nlm.nih.gov
Similarly chronic liver damage due to autoimmune hepatitis and also primary biliary cholangitis was also reversed with treatment
ncbi.nlm.nih.gov
ncbi.nlm.nih.gov
Reversal of cirrhosis is real. Don't let anyone tell you otherwise. The option of reversal shud b discussed at first diagnosis in select patients (not transplant listed patients)
ncbi.nlm.nih.gov
onlinelibrary.wiley.com
aasldpubs.onlinelibrary.wiley.com
journals.sagepub.com
ncbi.nlm.nih.gov
onlinelibrary.wiley.com
aasldpubs.onlinelibrary.wiley.com
journals.sagepub.com
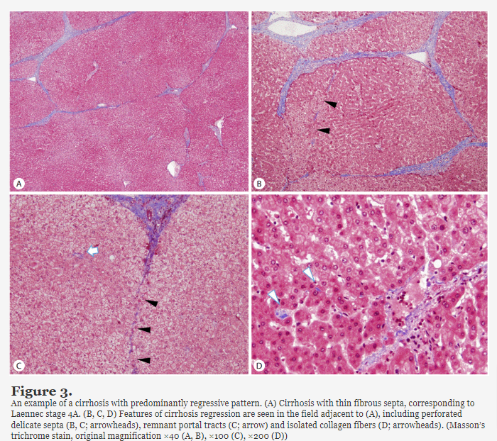
For those who still cannot believe it, here are some biopsy images showing reversal changes in cirrhosis
1/ aasldpubs.onlinelibrary.wiley.com
1/ aasldpubs.onlinelibrary.wiley.com
4/ This is from our own published study where we showed NAFLD cirrhosis was reversed using a drug called Pirfenidone (pilot study, needs more data) which an anti fibrotic agent.
xiahepublishing.com
xiahepublishing.com
Loading suggestions...