10 Tweets 6 reads Feb 15, 2023
72-year-old man
๐Ÿ‘‰underwent arthroscopic repair of the rt shoulder
For postoperative pain, a supraclavicular catheter was placed for brachial plexus block
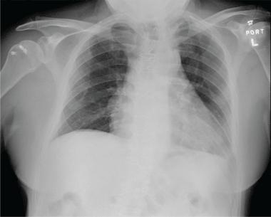
The next day๐Ÿ‘‰ right-sided chest pain and mild shortness of breath
Diagnosis?
Answer
Phrenic nerve palsy
A 72-year-old man underwent elective ambulatory arthroscopic repair of the right shoulder rotator cuff.
To manage postoperative pain, a supraclavicular catheter was placed for brachial plexus block
๐Ÿ‘‰he was sent home with a ropivacaine infusion pump.
The next day, he presented to the emergency department with right-sided chest pain and dysnea
Phrenic nerve paralysis induced by brachial plexus block
ccjm.org
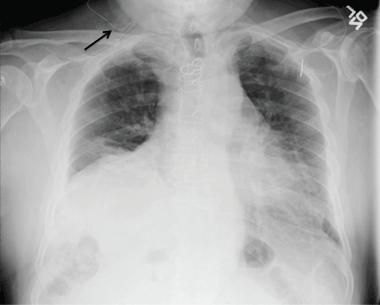
The ropivacaine infusion was stopped
๐Ÿ‘‰ the supraclavicular catheter was removed under anesthesia
๐Ÿ‘‰ over the course of 8 to 12 hours his shortness of breath resolved
๐Ÿ‘‰ lung examination normalized
Repeat chest radiography 24 hours after ๐Ÿ‘‡
The scenario described here illustrates
๐Ÿ‘‰ importance of recognizing symptomatic phrenic nerve paralysis as a result of local infiltration of anesthetic from supraclavicular brachial plexus block
Because these blocks anesthetize the trunks formed by the C5โ€“T1 nerve roots
๐Ÿ‘‰ infiltration of the anesthetic agent to the proximal nerve roots resulting in phrenic nerve paralysis is a common complication
Contraindications to brachial plexus block include
severe lung disease
previous surgery
interventions with the potential for phrenic nerve injury that could result in bilateral paralysis of the diaphragm
Phrenic nerve palsy

Loading suggestions...