Daniel Gewolb, MD
Daniel Gewolb, MD

@daniel_gewolb

2 Tweets 69 reads Apr 12, 2023
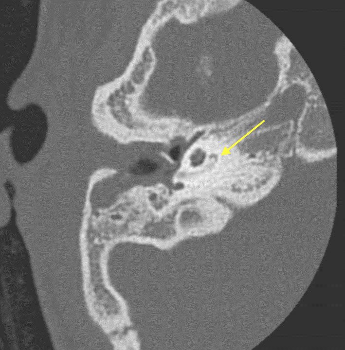
Imaging of Labyrinthitis Ossificans
Etiology: Sequelae of chronic inflammation typically 2/2 meningitis or prior surgery, otomastoiditis, or trauma
Clinically: Sendorineural hearing loss
#ent #Neurosurgery @ASHNRSociety #radres #MedTwitter #neurotwitter @RSNA #Neurology
Imaging:
▶️CT: High density ossification of the membranous labyrinth (ignore the operative change from mastoidectomy)
▶️MR: normally the membranous labyrinth should be high signal on T2 (normal left side with arrows) but the right side has lost the high signal due to ossification
💡 Labyrinthitis Ossificans MUST be described as COCHLEAR or NON COCHLEAR
💡 Cochlear ossification may preclude treatment with cochlear implant! 👂 🎧

Loading suggestions...