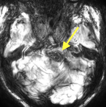
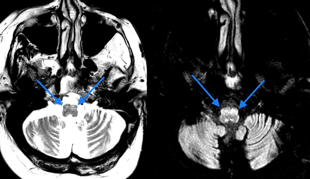
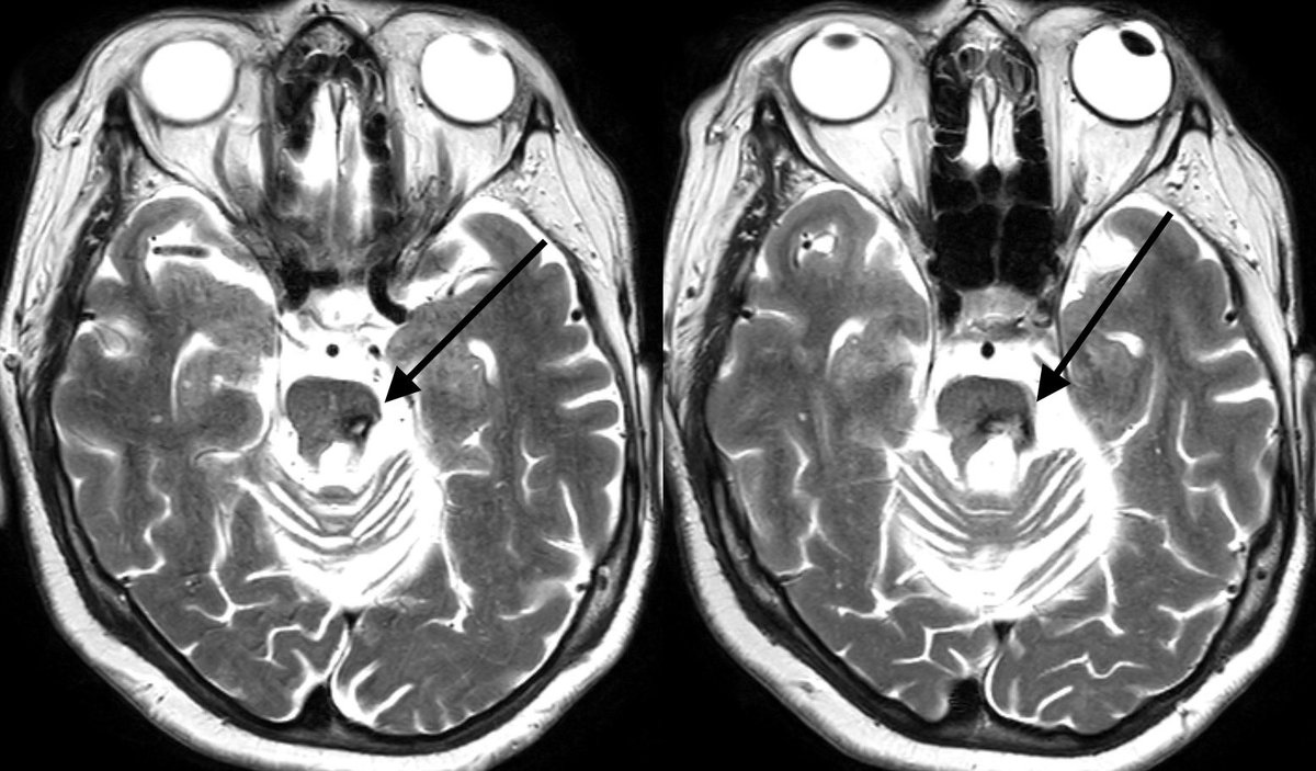
Hypertrophic Olivary Degeneration š§
Lesions that disrupt the triangle of Guillain and Mollaret (neural pathway connecting the red nucleus, inferior olivary nucleus, and contralateral dentate nucleus) can result in swollen inferior olivary nuclei
#Neurosurgery #neurology @RSNA
Lesions that disrupt the triangle of Guillain and Mollaret (neural pathway connecting the red nucleus, inferior olivary nucleus, and contralateral dentate nucleus) can result in swollen inferior olivary nuclei
#Neurosurgery #neurology @RSNA
Clinical: Classic presentation is palatal myoclonus (involuntary movement of soft palate, uvula and pharynx)
Imaging: T2/FLAIR bright and swollen inferior olivary nuclei w/o enhancement
š” Can be unilateral or bilateral if a lesions disrupts both pathways of the GMT
Imaging: T2/FLAIR bright and swollen inferior olivary nuclei w/o enhancement
š” Can be unilateral or bilateral if a lesions disrupts both pathways of the GMT
š” Be aware of HOD to avoid misdiagnosis of tumor, demyelination, etc.
š” Patients may develop palatal myoclonus
radiopaedia.org
š” Patients may develop palatal myoclonus
radiopaedia.org
Loading suggestions...