6 Tweets 9 reads Jun 29, 2023
74yo hypertensive (not on medications),sudden onset headache&dizziness while driving. He developed unsteady gait,dysphagia, hoarseness &diplopia within 2 hrs;BP-170/100. Loss of pain & temperature on the left side of face & right half of body. Diagnosis?
#MedTwitter #neurotwitter
2/n
Answer: Left Lateral Medullary/ Wallenberg/PICA syndrome βœ…
-Ischemia of lateral medulla due to occlusion of Vertebral or Posterior Inferior Cerebellar artery (PICA)
🧠nausea,vomiting,vertigo,gait instability are the usual symptoms of posterior circulation stroke
3/n
Causes of Lateral Medullary syndrome:
-vascular, atherosclerosis> dissection> embolism
-demyelination
-neoplasm
-trauma
-abscess,hematoma
4 lateral "S" will be affected.
4/n
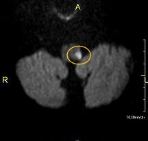
Features of Wallenberg syndrome:
In our case, the MRI shows left lateral medullary infarct. So it manifests as loss of pain & temperature over the ipsilateral face and contralateral half of the body.
5/n
Depending on the tracts/the structures involved in the lateral medulla, specific features are observed as shown below.πŸ‘‡
6/n
πŸ“Œ Hemiplegia is NOT a feature of Wallenberg syndrome.
Management:
-conservative
-physiotherapy
-Rx the underlying cause

Loading suggestions...