7 Tweets 4 reads Aug 05, 2023
Diagnosis?
Findings?
Answer
Psoriatic arthritis
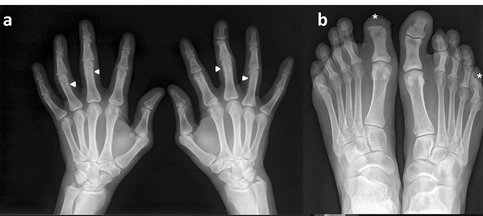
πŸ‘‰ characteristic patter of PsA is the coexistence of erosive changes and new bone formation as in this example where the same patient
πŸ‘‰(a, b) presented with fluffy periotitis in the proximal phalanges in both hands (arrow head)
πŸ‘‰ acro-osteolysis (*) in the distal phalanges of the first toe in the right foot and the fifth toe of the left foot
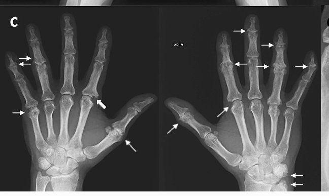
πŸ‘‰c.Polyarticular and asymmetrical PsA on hands with interphalangeal joints involved showing
πŸ‘‰articular space narrowing and erosions (thin arrows),
πŸ‘‰one of them is a Ξ© shaped erosion (thick arrow)
πŸ‘‰d
Subluxation and pencil-in-cup appereance in interphalangeal joint of the thumb in this particular case is another example of typical radiological changes in peripheral PsA.
Bony erosions narrowed the end of the proximal phalange as a β€œpencil” (thin arrows)
πŸ‘‰which rested in β€œcup” formed by the expanded base of the adjacent phalange (arrow head)

Loading suggestions...