#POCUS quiz of the day
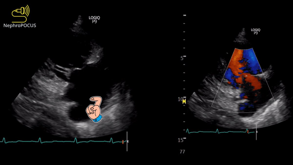
1⃣ What transthoracic #echofirst view is this?
2⃣ What is the structure indicated by 👈
#MedEd #FOAMed #Nephpearls
1⃣ What transthoracic #echofirst view is this?
2⃣ What is the structure indicated by 👈
#MedEd #FOAMed #Nephpearls
Loading suggestions...