Fabio Andreozzi
Fabio Andreozzi

@HematoUptodate

8 Tweets 2 reads Jan 05, 2024
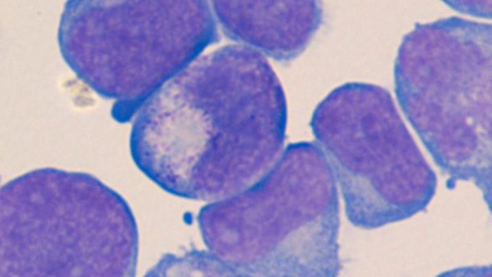
1/8 - What about these "Cup-like" blasts⁉️
Yes, it's NPM1 mutated AML😉
#AML #MedTwitter #MedX
2/8 -Nucleophosmine (NPM)-1 multifunctional shuttle protein
➡️ can moove from nucleus to cytoplasm
❗️ Predominant nuclear localisation❗️
3/8 -But Which is NPM-1 structure?
N-terminal domain drives cytoplasma export
Central domain allow histone binding and nuclear localization
C-termoinal domain essential for nucleolar localization (☑️Tryptophan )
4/8 -NPM1-mutations are heterozygous frameshift mut that determine loss of tryptophan of C-terminal domain🥶
As a consequence NPM1 exported in cytoplasm and ⛔️ to nucleus.
Magnific green fluorescence for NPM1 and NPM1 mut
5/8 -As a consequence of cytoplasmic localization NPM1 physiological role is loss😱
➡️uncontrolled centrosome duplication
➡️ uncontrolled proliferation
➡️defective DNA repair
➡️ additional mutation and leukemogenesis
6/8 -Prognosis in NPM1-mut AML depends on associated mutations:
- alone Good prognosis✅
- ➕FLT-ITD 🟰 int risk
- karyotype abn impact prognosis ❗️❗️❗️
7/8 -Ranieri et al Leuk 2022
Useful algorithm😎😎😎
8/8 -Future therapeutic options under development
- targetting NPM1
- CD123, CD33, NPM1 epitope expressed on Leukemic cells can be targeted by CAR T cells
- Acting on HOX pathway and MLL pathway
Exciting future for NPM1 mut AML treatment development 👍👍👍👍

Loading suggestions...