Daniel Gewolb, MD
Daniel Gewolb, MD

@daniel_gewolb

2 Tweets 5 reads Feb 11, 2024
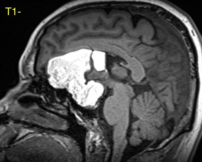
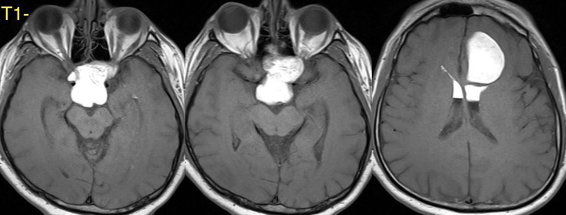
What is the most likely diagnosis in this 30 y/o patient with history of seizures presenting with severe headache?
More images in ๐Ÿงต
#neurosurgery #Neurology #radres #futureradres #MedEd #medicine
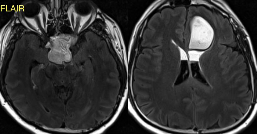
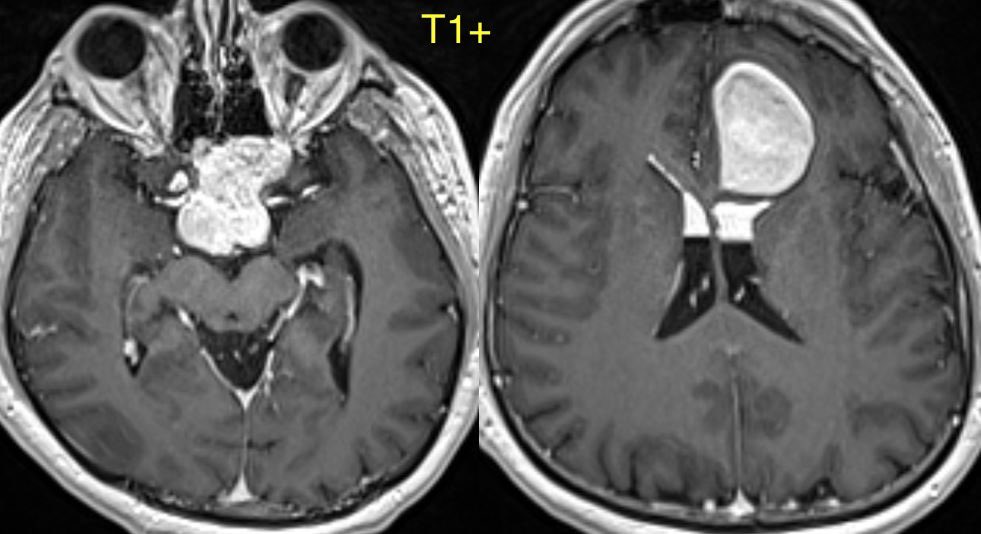
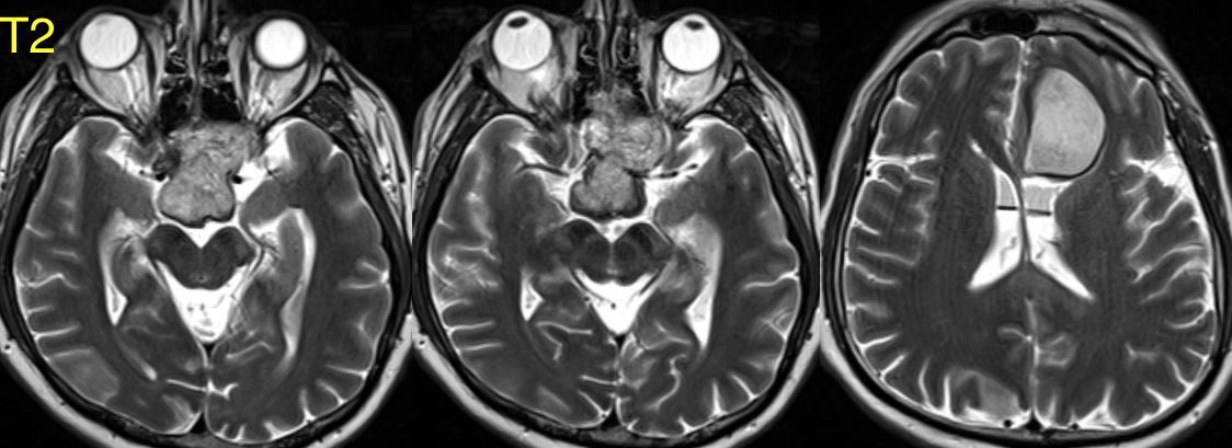
Additional images ๐Ÿ‘‡

Loading suggestions...