🧵regarding some of the more novel *non-urologic* uses of Foley catheters.
It's been almost 2 years since I originally posted this, so many may not have seen this one (and I'll be doing reruns for a while...I need to spend April getting ready for #ASGBI2024 🧐.
(1/ )
It's been almost 2 years since I originally posted this, so many may not have seen this one (and I'll be doing reruns for a while...I need to spend April getting ready for #ASGBI2024 🧐.
(1/ )
Foley catheters have actually been used intracranially, believe it or not...😬
Yang et al (2019) used Foley catheters to fill the cavities left after brain tumor resection in order to decrease hemorrhage and other complications.
scholars.direct
Yang et al (2019) used Foley catheters to fill the cavities left after brain tumor resection in order to decrease hemorrhage and other complications.
scholars.direct
Foleys have been used to remove foreign bodies from the ear, nose, esophagus, and rectum:
emj.bmj.com
For rectal foreign bodies they are supposed to 'break the suction' to allow for removal (though in practice I think this is overrated and it rarely works).
emj.bmj.com
For rectal foreign bodies they are supposed to 'break the suction' to allow for removal (though in practice I think this is overrated and it rarely works).
Sansone at al described using 2 Foleys to control the SVC and IVC in a patient undergoing redo cardiac surgery.
This allowed for the case to proceed without having to do extra dissection around the SVC and IVC.
academic.oup.com
This allowed for the case to proceed without having to do extra dissection around the SVC and IVC.
academic.oup.com
Here we see a patient with an abdominal stab wound undergoing laparoscopic exploration.
A Foley catheter is used to seal the site of the stab wound so that pneumoperitoneum can be maintained.
(photo from @faga7 )
A Foley catheter is used to seal the site of the stab wound so that pneumoperitoneum can be maintained.
(photo from @faga7 )
The same concept can be used for bleeding from trocar sites during laparoscopic surgery.
Here, Gemici et al have controlled bleeding with a Foley that is then tightened and kept in place with an umbilical cord clamp.
ejgm.co.uk
Here, Gemici et al have controlled bleeding with a Foley that is then tightened and kept in place with an umbilical cord clamp.
ejgm.co.uk
Elmoghrabi et al (2016) used a Foley to provide temporary hemorrhage control in a patient with a penetrating traumatic injury to the root of the aorta.
(Article is open access) ncbi.nlm.nih.gov
(Article is open access) ncbi.nlm.nih.gov
Foley catheters have been used instead of chest tubes for routine thoracic surgical cases:
Lai (2018) reported using Foleys instead of chest tubes after pulmonary resection in 441 cases.
(generic pics only -- the paper didn't have photos)
sciencedirect.com
Lai (2018) reported using Foleys instead of chest tubes after pulmonary resection in 441 cases.
(generic pics only -- the paper didn't have photos)
sciencedirect.com
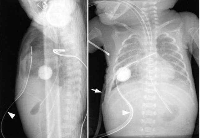
McElroy et al used a Foley catheter to control chest wall bleeding in a preterm infant that had a lacerated intercostal artery from prior chest tube insertion.
(article is open access)
jpeds.com
(article is open access)
jpeds.com
Foley catheters apparently are sometimes used to assist with labor induction. This is extensive enough to have a Cochrane review, and it’s not my specialty, so I won’t try to explore that in detail, but here is a representative article.
obgyn.onlinelibrary.wiley.com
obgyn.onlinelibrary.wiley.com
Finally:
In the time since I first posted the🧵there has since been a review article by Karmarkar et al on this topic. It is open access and covers many of these and other non-urologic uses of Foley catheters (and also has 50 references 😎)
⬛️
publishing.rcseng.ac.uk
In the time since I first posted the🧵there has since been a review article by Karmarkar et al on this topic. It is open access and covers many of these and other non-urologic uses of Foley catheters (and also has 50 references 😎)
⬛️
publishing.rcseng.ac.uk
Addendum:
As @lachicadeuro pointed out in the original thread,
let us not forget that in Alien, the character Ash's insides were partially made up of Foley catheters.
As @lachicadeuro pointed out in the original thread,
let us not forget that in Alien, the character Ash's insides were partially made up of Foley catheters.
Loading suggestions...