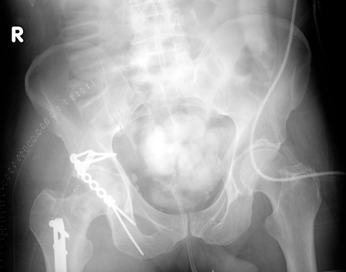
@drharpalselhi @centerofhip The hook name comes from the prongs that hold the reduced peripheral PW fragment-the spring name comes from the overcontou 
    @drharpalselhi @centerofhip The hook name comes from the prongs that hold the reduced peripheral PW fragment-the spring name comes from the overcontou