π©»π§ β οΈπ§΅ MRI Modalities & Their Key Uses in Neurosurgery
1/ MRI is essential for neurosurgical diagnosis, planning, and postoperative assessment.
β High soft-tissue contrast
β Non-ionizing radiation
β Multiple modalities for different pathologies
π MRI sequences & their role in neurosurgery! π
#Neurosurgery #NeuroRadiology #MRI
image: radiopaedia.org
1/ MRI is essential for neurosurgical diagnosis, planning, and postoperative assessment.
β High soft-tissue contrast
β Non-ionizing radiation
β Multiple modalities for different pathologies
π MRI sequences & their role in neurosurgery! π
#Neurosurgery #NeuroRadiology #MRI
image: radiopaedia.org
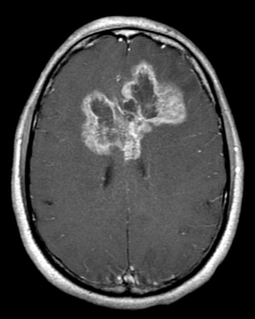
2/ T1-Weighted MRI β Anatomy & Tumor Enhancement
π₯οΈ Appearance:
β Gray matter = Dark
β White matter = Bright
β CSF = Dark
π Key Uses in Neurosurgery:
β Anatomical detail of brain structures
β Pre- & Post-contrast Imaging β Tumor enhancement after gadolinium injection
β Identifies fat-containing lesions (e.g., dermoid cysts, lipomas)
π¨ T1 + Gadolinium = Best for BBB breakdown (tumors, infections, inflammation)!
π₯οΈ Appearance:
β Gray matter = Dark
β White matter = Bright
β CSF = Dark
π Key Uses in Neurosurgery:
β Anatomical detail of brain structures
β Pre- & Post-contrast Imaging β Tumor enhancement after gadolinium injection
β Identifies fat-containing lesions (e.g., dermoid cysts, lipomas)
π¨ T1 + Gadolinium = Best for BBB breakdown (tumors, infections, inflammation)!
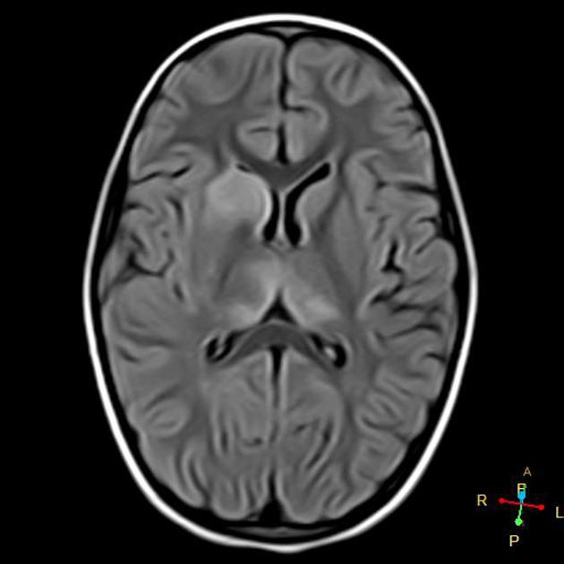
3/ T2-Weighted MRI β Edema & Pathology Detection
π₯οΈ Appearance:
β CSF = Bright
β Edema = Bright
β Gray matter = Bright, White matter = Dark
π Key Uses in Neurosurgery:
β Detects vasogenic & cytotoxic edema (brain tumors, strokes, infections)
β White matter demyelination (MS, PML, leukodystrophies)
β Cystic & necrotic tumor components
π¨ Best for detecting pathological changes!
image: radiopaedia.org
π₯οΈ Appearance:
β CSF = Bright
β Edema = Bright
β Gray matter = Bright, White matter = Dark
π Key Uses in Neurosurgery:
β Detects vasogenic & cytotoxic edema (brain tumors, strokes, infections)
β White matter demyelination (MS, PML, leukodystrophies)
β Cystic & necrotic tumor components
π¨ Best for detecting pathological changes!
image: radiopaedia.org
4/ FLAIR (Fluid-Attenuated Inversion Recovery) β Subtle Edema & Gliosis
π₯οΈ T2-based sequence but suppresses CSF signal!
β CSF = Dark
β Edema, demyelination, gliosis = Bright
π Key Uses in Neurosurgery:
β Detects peritumoral edema & gliosis
β Subtle cortical & periventricular lesions (MS, encephalitis, gliomas)
β Distinguishes CSF from pathological fluid (tumors, ischemia, infections)
π¨ Best for identifying lesions near CSF spaces!
π₯οΈ T2-based sequence but suppresses CSF signal!
β CSF = Dark
β Edema, demyelination, gliosis = Bright
π Key Uses in Neurosurgery:
β Detects peritumoral edema & gliosis
β Subtle cortical & periventricular lesions (MS, encephalitis, gliomas)
β Distinguishes CSF from pathological fluid (tumors, ischemia, infections)
π¨ Best for identifying lesions near CSF spaces!
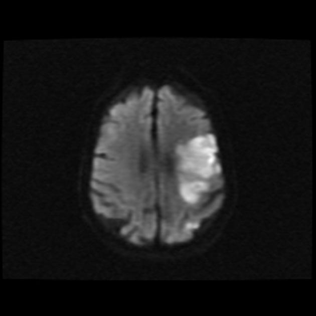
5/ DWI (Diffusion-Weighted Imaging) β Stroke & Abscess Detection
π₯οΈ Measures water diffusion in tissues
β Restricted diffusion = Bright signal (ischemic core, pus, dense tumors)
β Normal diffusion = Dark signal
π Key Uses in Neurosurgery:
β Acute Ischemic Stroke β Restricted diffusion in infarct core
β Brain abscesses β Pus has restricted diffusion
β Epidermoid cysts vs. Arachnoid cysts β Epidermoids restrict on DWI
β High-grade gliomas & metastases β Can show restricted diffusion
π¨ DWI + ADC (Apparent Diffusion Coefficient) needed for stroke timing!
π₯οΈ Measures water diffusion in tissues
β Restricted diffusion = Bright signal (ischemic core, pus, dense tumors)
β Normal diffusion = Dark signal
π Key Uses in Neurosurgery:
β Acute Ischemic Stroke β Restricted diffusion in infarct core
β Brain abscesses β Pus has restricted diffusion
β Epidermoid cysts vs. Arachnoid cysts β Epidermoids restrict on DWI
β High-grade gliomas & metastases β Can show restricted diffusion
π¨ DWI + ADC (Apparent Diffusion Coefficient) needed for stroke timing!
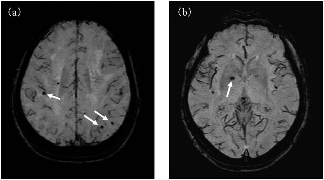
6/ SWI (Susceptibility-Weighted Imaging) β Microbleeds & Hemorrhage
π₯οΈ Detects paramagnetic substances (blood, iron, calcium)
β Microbleeds, Hemosiderin = Dark
β Iron deposition in neurodegeneration = Dark
π Key Uses in Neurosurgery:
β Microhemorrhages (Trauma, CAA, Hypertensive encephalopathy)
β AVMs, Cavernous Malformations
β Hemorrhagic transformation of stroke
β Detection of intra-tumoral hemorrhage
π¨ Best for detecting chronic & microscopic bleeds!
image: DOI: 10.1038/srep38561
π₯οΈ Detects paramagnetic substances (blood, iron, calcium)
β Microbleeds, Hemosiderin = Dark
β Iron deposition in neurodegeneration = Dark
π Key Uses in Neurosurgery:
β Microhemorrhages (Trauma, CAA, Hypertensive encephalopathy)
β AVMs, Cavernous Malformations
β Hemorrhagic transformation of stroke
β Detection of intra-tumoral hemorrhage
π¨ Best for detecting chronic & microscopic bleeds!
image: DOI: 10.1038/srep38561
7/ MR Angiography (MRA) & MR Venography (MRV) β Vessel Imaging
π©Έ Non-invasive imaging of arteries (MRA) & veins (MRV)
β Without contrast (TOF-MRA) or with gadolinium (CE-MRA)
π Key Uses in Neurosurgery:
β MRA β Detects aneurysms, stenosis, arteriovenous malformations (AVMs)
β MRV β Diagnoses cerebral venous sinus thrombosis (CVST)
β Preoperative vascular mapping for aneurysm & AVM surgery
π¨ MRA/MRV critical for neurosurgical planning!
image: radiopaedia.org
π©Έ Non-invasive imaging of arteries (MRA) & veins (MRV)
β Without contrast (TOF-MRA) or with gadolinium (CE-MRA)
π Key Uses in Neurosurgery:
β MRA β Detects aneurysms, stenosis, arteriovenous malformations (AVMs)
β MRV β Diagnoses cerebral venous sinus thrombosis (CVST)
β Preoperative vascular mapping for aneurysm & AVM surgery
π¨ MRA/MRV critical for neurosurgical planning!
image: radiopaedia.org
8/ MR Perfusion (PWI) β Tumor & Stroke Perfusion Analysis
π₯οΈ Measures blood flow dynamics in brain tissue
β CBF (Cerebral Blood Flow), CBV (Cerebral Blood Volume), MTT (Mean Transit Time)
π Key Uses in Neurosurgery:
β Distinguishes high-grade vs. low-grade gliomas (CBV β in aggressive tumors)
β Assessing penumbra in stroke (Mismatch between DWI & PWI)
β Pre- & post-surgical monitoring of tumor perfusion
π¨ Best for evaluating glioblastomas & ischemic strokes!
Image: doi.org
π₯οΈ Measures blood flow dynamics in brain tissue
β CBF (Cerebral Blood Flow), CBV (Cerebral Blood Volume), MTT (Mean Transit Time)
π Key Uses in Neurosurgery:
β Distinguishes high-grade vs. low-grade gliomas (CBV β in aggressive tumors)
β Assessing penumbra in stroke (Mismatch between DWI & PWI)
β Pre- & post-surgical monitoring of tumor perfusion
π¨ Best for evaluating glioblastomas & ischemic strokes!
Image: doi.org
9/ MR Spectroscopy (MRS) β Metabolic Tumor Analysis
π₯οΈ Analyzes chemical composition of brain tissue
β Differentiate tumors vs. abscesses vs. radiation necrosis
π Key Uses in Neurosurgery:
β Glioblastoma vs. Metastases vs. Lymphoma (Choline/NAA ratio differences)
β Radiation necrosis vs. tumor recurrence
β Lactate peak β Anaerobic metabolism (Abscesses, high-grade tumors)
Image: radiopaedia.org
π₯οΈ Analyzes chemical composition of brain tissue
β Differentiate tumors vs. abscesses vs. radiation necrosis
π Key Uses in Neurosurgery:
β Glioblastoma vs. Metastases vs. Lymphoma (Choline/NAA ratio differences)
β Radiation necrosis vs. tumor recurrence
β Lactate peak β Anaerobic metabolism (Abscesses, high-grade tumors)
Image: radiopaedia.org
10/ Functional MRI (fMRI) β Preoperative Brain Mapping
π§ Detects brain activity by measuring blood oxygenation (BOLD signal)
β Identifies critical functional areas (Motor, Speech, Vision, Memory)
π Key Uses in Neurosurgery:
β Pre-surgical mapping of eloquent cortex (Motor, Speech areas)
β Glioma & epilepsy surgery planning
β Localizing brain regions for neurostimulation therapy
π¨ Crucial for minimizing post-surgical deficits!
Image: biorender.com
π§ Detects brain activity by measuring blood oxygenation (BOLD signal)
β Identifies critical functional areas (Motor, Speech, Vision, Memory)
π Key Uses in Neurosurgery:
β Pre-surgical mapping of eloquent cortex (Motor, Speech areas)
β Glioma & epilepsy surgery planning
β Localizing brain regions for neurostimulation therapy
π¨ Crucial for minimizing post-surgical deficits!
Image: biorender.com
11/ Diffusion Tensor Imaging (DTI) β White Matter Tract Mapping
π§ Visualizes white matter tracts using diffusion-based MRI
β Fractional Anisotropy (FA) β Measures white matter integrity
π Key Uses in Neurosurgery:
β Brain tumor resection planning (Avoiding motor/sensory tracts)
β Traumatic brain injury (TBI) assessment
β Spinal cord injury evaluation
π¨ Essential for preserving functional pathways in surgery!
Image: DOI: 10.4236/jbise.2016.913052
π§ Visualizes white matter tracts using diffusion-based MRI
β Fractional Anisotropy (FA) β Measures white matter integrity
π Key Uses in Neurosurgery:
β Brain tumor resection planning (Avoiding motor/sensory tracts)
β Traumatic brain injury (TBI) assessment
β Spinal cord injury evaluation
π¨ Essential for preserving functional pathways in surgery!
Image: DOI: 10.4236/jbise.2016.913052
Loading suggestions...